13)
Вчера был 13ый плановый прием у орта. Плюс, через неделю будет 1 год и 1 месяц БС, так что объединю эти посты, чтоб не писать лишнего))
Это были адские 40 минут
. Я вообще забежала, как обычно, на 5 мин, а в итоге почти час сидела там умирала)
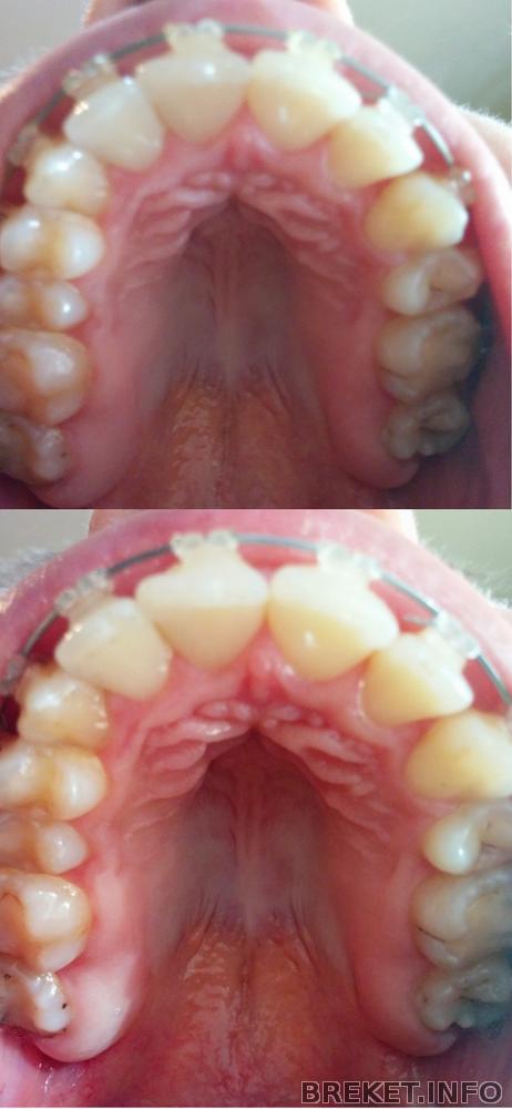
Соорудили мне орудие пыток во рту)) Одели две пружины: одна между 6ой и 7ой, толкает семерку назад; а вторая от микроимпланта до клыка
Тоже тянет зубы вправо. ЭТО ВСЕ для центра) не зря, года пол назад, орт говорил мне, что ставить центр- самое сложное. Теперь, я ощущаю все эти прелести на себе.
Я вам никак словами не смогу передать, насколько сложно было дотянутся до микроимпланта и поставить эти долбанные пружины. Раз пять орт говорил «Потерпи еще немного, через три секунды заканчиваю» ииии пружина слетала. И все начиналось заново. Болели губы, шла кровь, временами даже в глазах темнело от боли. Но орт таки соорудил эту конструкцию)
А почему все это произошло? Да потому, что резиновый чейн, прикрепленный, к микроимпланту, за месяц не сделал НИЧЕГО. Орт был в шоке и сказал, что на этот раз он применил такую силу, что больше не куда. И если это не поможет- снимаем микроимплант, толку не будет. И центра тоже. Так что, эти пружины, этот месяц и мои теперешние мучения- последняя надежда на положительный результат.
Очень режет губу (ротовую
) маленькая пластинка, которая соединяет брекет клыка и пружину. Уж очень острая эта маленькая зараза.
Плюс, половина губы в ранах и дырах, после вчерашнего, и это все тоже болит(( А так, боль от пружин была, но не адская, бывало и хуже. Я в героиню-страдалицу не играю и сразу, как боль стала причинять дискомфорт выпила обезболивающие. И спокойно продолжила ходить с мамой по магазинам) щас ноет, но все терпимо)
Больше с зубами ничего не делаем, т.к. все внимание сейчас центру и микроимпланту. Хоть работы, на мой требовательный взгляд, еще вагон
.
Сейчас на ВЧ, не понятно по какому поводу, появилось несколько мелких щелей между некоторыми зубами: между единицами, между правой единицей и двойкой, между двойкой и тройкой
. А не понятно потому, что к этим зубам никакая сила не прикладывается) Хотя, за год, я уже перестала удивляться постоянно то возникающим, то исчезающим щелям между зубами)))
Слева на ВЧ за седьмым зубом стала болеть десна, при жевании или надавливании. Говорила орту, посмотрел, сказал, что десна там немного воспалена, но ничего плохого он не видит
. Странненько)
Комментарии
ты , кажется, немало денег отвалила за микроимплант. и как он теперь может не помочь? а ну давай помогай, гад.
мне все эти манипуляции у ортодонтов, пружинки-резиночки-кнопочки, честно говоря, кажутся какими-то не то чтобы извращениями, но чем-то очень похожим. ну почему нельзя таблеток прописать и все порешается?
Марта, что с единичками? брекеты стоят ровнехонько, а зубы вроде как нет.
Омг!!! Мое сочувствие, сил и здоровья. Проси у ортодонта мазь, пружинки такие коварные - натирают иногда
Ты еще умудряешься считать приемы?) Я сбилась со счета на 3м или 4м))) Очень надеюсь, что пружина сработает, а то столько сил и средств. Она просто обязана сработать
пружинки творят чудеса! стоят-стоят, а потом за одну ночь всё толкают! проснулся - и куча места! так у меня было... надеюсь, 15 января хоть одну снимут, они не трудные, привыкаешь, просто они у меня в центре стоят уже 4 месяца: надоели... так что не зря их поставили, они работают! успехов!
Какие ужасы ты тут описываешь... Терпения тебе! А микроимплант вообще страшная штука, на мой взгляд
Страшнее только аппарат как его там... С не менее страшным немецким названием ![]()
Терпения тебе!
Miragem, спасибо)
Саш, я целую кучу денег отвалила за этот микроимплант) 2300 грн. А он какой-то бесполезный
Единички стоят косо-криво уже несколько месяцев. Мы переклеивали брекет на одной из них, чтоб поставить их нормально, убрать ступеньку. А вышло только хуже(( теперь орт сосредоточен на центре и похоже в ближайшее время вообще ничем другим заниматься не будет( вот так и буду ходить, как кроль недоделанный
. Мне вообще кажется, что здесь сепарация нужна.
lenka-penka, спасибо))
у моего ортодонта особо ниче не попросишь, итак лечит меня практически за "спасибо") у меня за годик накопилось всякого: воск, мазь, Стоматидин... так что, чувствую, пришло их время))
Kristisha, а у меня приемы раз в месяц, не собьешься)) хотя в последнее время начала задумываться, какой же все-таки по счету)))
я тоже надеюсь, что хоть что-то из этого выйдет, а то это будет просто эпик феил((
ЮлияHowes, мне, кстати, стало казаться, что между 6ой и 7ой появилась щель
посмотреть не получается- далеко, ниче не видно, но вот языком чувствуется щель. Раньше ее не было. Или я уже самовнушением занимаюсь)) Но если и так, то это ж сколько времени уйдет, чтоб по одному зубу весь зубной ряд сдвинуть
короче, придумала я себе проблему на голову) надо было не парится с центром, сняла бы в течении полугода((( эх, надо лечить перфекционизм)
Reflection, спасибо))
аппарат Дерихсвайлер называется)) я иногда так выхожу с приемов и думаю, чего у меня только не было за год...и сразу вспоминаю Дерихсвайлера)) мне орт при установке БС говорил, что если места мало будет- придется ставить. Я настраивалась на него, но, тьфу-тьфу-тьфу, вроде пронесло)))
Удачи вам с вашим выравниванием центра, надеюсь пружинки помогут...я тут на счет микроимпланта хотела узнать, его больно ставить? Мне сейчас поставили так же как у вас пружинку между 6кой и 7кой, чтоб 7ку назад толкала и если это не поможет в выравнивании центра мне поставят микроимплант...очень боюсь
Я тоже свои уже сбилась считать ![]()
По теме: терпения тебе, терпения, и еще раз терпения! Вот не понимаю я врачей, людей и прочих, кто говорит, что брекеты это безболезненно))) Тут до дуга новая, то чейн, то пружина, то микроимплант, хоть на стену лезь
Но мы девчонки не промах, все вытерпим и снимем только когда у нас будет все идеально на наш "скромный" и "невзыскательный" взгляд))) Удачи тебе огромной с центром!
Martinss нет уж! не бросай на полпути дело! всё будет красиво и правильно, и не в перфекционизме дело! потом будешь жить с мыслью о том, что надо было потерпеть полгодика, зато и центр бы был... всё встанет, не торопись! а про пружинку не кажется, они работают... сначала тихонько и медленно, а потом бац! и за одну ночь всё отодвигают!
katesome, ставить не больно, но ооочень не приятно. Эти звуки сверления, и ощущения, как в кости ходит туда-сюда сверло...
ну и место микроимпланта у меня не удобное, очень рот растягивали, чтоб долезть. Потом еще неделю губы болели. Плюс, у меня с ВНЧС проблемы, так что они тоже страдали при установке) и я вместе с ними) но в целом, все терпимо. Удалять ретинированные восьмерки гораздо хуже) а здесь просто не приятно. Потом чуууть-чуть поныло, пару дней, и все стало ок) Но на ту сторону не жую уже месяц, боюсь повредить микроимплант и боюсь, что еда запутается. Орт просил по возможности не лазить туда. Так что не бойтесь, если до этого дойдет) главное, чтоб помогло, а не как у меня))
А у вас за счет вытягивания в ряд двойки не выровняется до конца центр? там вроде не много осталось)
Juls128, ахахах))) это точно)) мы девочки такие, нам "много" не надо))) просто, чтоб все было идеально)))
спасибо, Юль))
ЮлияHowes, вот я с таких побуждений и ставила микроимплант: чтоб потом не жалеть, что не сделала все возможное)) буду надеяться на лучшее, а то будет дико жаль, если затея провалиться))
Вот читаю я твое сообщение и понимаю, что все что у меня сейчас происходит с зубами - просто цветочки
Какой срок вообще пророчится?
Rosalin, 100%, все познается в сравнении!!!
Марта, пусть пружинки сделает свое дело! Буду держать за тебя кулаки!
Как я погляжу, вопрос центра и для тебя и для орта имеет первостепенное значение! ![]()
Если честно, видно, что центр не на месте только на первом фото, где челюсть изнутри и то по отношению к носу.
Но ты двигайся к полной симметрии и терпи!
Rosalin Wind, мои сроки менялись уже сто раз) в день установки (13.12.2013) орт сказал, что к следующему НГ сниму) то есть к этому) через пару месяцев он говорил, что медленно дело движется и срок 2 года. В сентябре этого года сказал, что к 8му марту снимем)) а из-за микроимпланта теперь еще год-полтора
Ennelyne, спасибо))
раньше я вообще не парилась по поводу центра)) тем более, что в самом начале орт предупреждал, что его в итоге может не быть. Потом время шло и он меня стал раздражать, захотелось, что все было красиво. И вот теперь, раз уже занялись этим, то надо постараться сделать все возможное)
Мартуль, так так оно и бывает - возьмешься за что-то, аппетит приходит во время еды ![]()
У меня такой опыт с ремонтом на кухне получился - купили готовые шкафчики - закончилось все покупкой холодильника и полным капитальным ремонтом с дверью, подвесным потолком и вытяжкой. ![]()
И все это кще и в кредит)
Вот так настигает перфекционизм!
ахахах))) прекрасно понимаю, мы так кровать в комнате решили поменять, а в итоге полноценный ремонт с подвесным потолком, выравниванием стен, обоями и полностью новой мебелью))) ![]()
кстати, тогда я так намучилась с этим ремонтом, плакала, уже ничего не хотела. Куча денег, сил, нервов, времени. А щас, спустя полтора года, лежу на новой кровати, смотрю на красивый ремонт и так уж приятно) вообще не жалею, что тогда так намучилась)) надеюсь, так и с зубами будет)) хочу, чтоб все было не зря))
Martinss, тоже держу за тебя кулачки. Может просто чисо 13 - дурацкое, а на 14 все будет ок. Буду болеть за твои положительные изменения, не унывай, ничего не зря. Просто у всех у нас про разному зубы двигаются, ну не помог чейн, значит просто он не подошел к твоему лично случаю. Ждем, что сделают пружинки.
Химия, спасибо большое)) я держусь и надеюсь на хорошие результаты)) а если нет, то я хоть буду знать, что сделала все возможное)) плюс, центр ВЧ от нижнего не очень далеко убежал, а с центром лица думаю никто замерять не будет))
Привет Марточка!
Во- первых, поздравляю тебя уже с Годом и почти тремя месяцами.
( я всегда вовремя,да)
А во вторых.. То то жаловалась, на то,что орт не предпринимает никаких активных действий
Терпи,дорогая, скоро все будет красиво-красиво. Здорово бы было и снять бс в один день, да?
привет, Марго))) наконец-то ты появилась))
спасибо!)) даааа, было бы круто снять в один день)))) но мне пока никак не светит)) так что скорее будем отмечать твое снятие)) я уже посмотрела твой пост, мне все нравится!)) остались детали))) от смыкания я вообще в восторге))
Крепись, Марта! Будет тебе центр! Сильно хочешь - сильно получишь))) На счет щелей - это и вправду непредсказуемые события. У меня тоже так - работаем над наклоном, а щели появляются (видимо неправильно работаем)! Какого черта? Я уже перестала удивляться вдруг образовавшимся щелям, наклону, внезапной зубной боли и т. д. Мы, брекетоносцы - мазохисты, каких еще поискать нужно)
Привет! Оо какая у тебя уже солидная дата!! Круто!!!
А я все свои приеме, записываю в тетрадочку, что мне делали, какого числа ))) А то память у меня девичья, точно что-нибудь упущу и забуду )))
ale4ka, записывать в тетрадочку тоже хороший вариант)) я как-то начала сюда все приемы записывать, вот пока стараюсь так продолжать, хоть часто бывает ооочень лень))







Удачи тебе, твоим зубкам и ротовой губе)