Золотая середина! надеюсь....
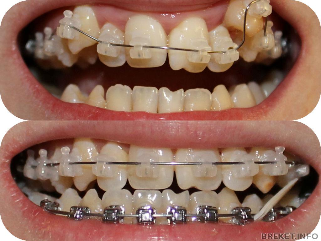
Всем привет! Давно меня тут не было... Вот хочу поделиться результатом, на мой взгляд удачным) Прошло уже почти 7 месяцев выпрямления моих ужасно кривых зубиков и исправления прикуса. Зубки почти все встали на место, я довольна, даже с брекетами приятней сейчас улыбаться, чем теми зубами что были до них!!!)))) Сейчас лечение на этапе исправления прикуса, выдали тяги (на фото только одна), ровняем центр, т.к. нижняя челюсть немного "съехала" - с одной стороны норм, с другой выпирает, так сказать) С тягами немного было проблематично, пару дней очень сильно воспалялась десна около 8-ки, сейчас вроде терпимо) Про сроки орт мне ничего не говорит, только что-то бубнит "не меньше 2-х лет, не меньше 2-х лет..." Неужели правда мне предстоит 2 года их носить?(((
Фото на суд
Всем спасибо за внимание, и ровных зубов!))))
Комментарии
Отличные результаты!
Спасибо!!! Нет, без удаления не обошлось, к сожалению, и спасибо тебе за советы, без них бы я наверно не согласилась на удаление... уж очень было жалко здоровый зуб) Пришлось удалить 5-ку с одной стороны, и поэтому центр уехал, но надеюсь тяги все исправят. А если нет, то не сильно расстроюсь, т.к. моя основная цель-выровнять верхнюю челюсть) Везет тебе, поздравляю, может мне тоже неожиданно скоро скажут - "пора снимать"! Моему счастью не будет предела)))
Шикарный результат!
Супер быстрые зубки!
Ну а что такого в двух годах) лечение только началось можно сказать , прикус дело такое
Мне тоже результат очень нравится. А насчет двух лет с брекетами не переживайте - это ещё что, вот потом года 4-5 с ретейнерами предстоит... Так что всё только начинается
Красивый результат! ![]()
Что-то в последнее время слишком много на сайте слов про 2 года... я вон второй месяц только ношу и все предсказания или отзывы людей о том, что "уже 2 года ношу" на меня наводят грусть..... эхххххх, как же хочется через год иметь идеальные зубки и забыть про всё это.... печалити.
Зубки загляденье, такие ровненькие!))) С прикусом работы еще очень много, поэтому срок нормальный
По-моему, красота!!! Любоваться хочется! Прикус исправят, а зубки очень красивые уже сейчас!
хорошие результаты!!!
Мне даже показалось, что центр не так уж и сильно съехал, у меня сильнее центр уехал)
А мне уже мой орт говорит, от плана отклоняемся на 4 месяца (((( Так что, что поделать сколько придется носить столько и будем....Сейчас расстраиваться смысла нет) Выше нос
Всем большое спасибо, приятно читать) Как хорошо, что нас МНОГО



Женя, я рада, что у тебя нет такого перекоса, как у меня тогда)))Поздравляю) Все у тебя встанет на место со временем, не переживай. Обошлось без удаления? Я тоже сейчас тяги ношу, уже ровняем прикус, орт обещает верх снять в марте)