Результаты томографии + фотосессия
В очередной раз сегодня посетил ортодонта. Носить железки на зубах придется 3 года. Три!!! А затем лет шесть ретенции. После таких цифр попытки врача хоть как-то меня подбодрить были тщетными - я был в ступоре. Говорит, что кость уже сформировалась, поэтому такие длительные сроки. По стоимости полный курс лечения "под ключ" обойдётся примерно в 53 т.р, плюс к этому на ВЧ поставят какую-то дополнительную железку за 3 т.р (оплата за неё будет отдельно, т.к. изготавливаться она будет в сторонней лаборатории). Прайс пока не изменился, по всей видимости из-за того, что гос.поликлиники не вправе повышать цены на материалы, которые ещё есть в наличии на складе. Повышение будет уже на новые партии брекетов, мне это не грозит. Вновь сделали слепок, но уже только верхней челюсти - для изготовления железяки. После чего между зубами сверху просунули резиновые сепараторы. Ах да, к тому же на томограмме подтвердилась необходимость удаления зубов, поскольку для исправления скученности не хватает костной ткани. Всё-таки не напрасно я расстался с нижними 4-ками, осталось ещё удалить две верхние 4-ки, после чего на освободившиеся места будут перемещаться тройки. Следующий визит назначен на следующую неделю, будет установка железной фигни на ВЧ.
Теперь делюсь фотоснимками, как и обещал.
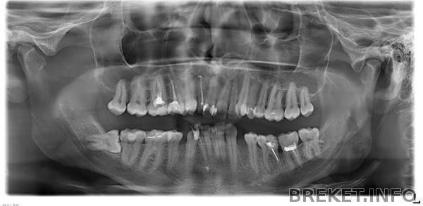
Это панорама до удаления лежачей 8-ки, но уже после удаления нижних четвёрок:
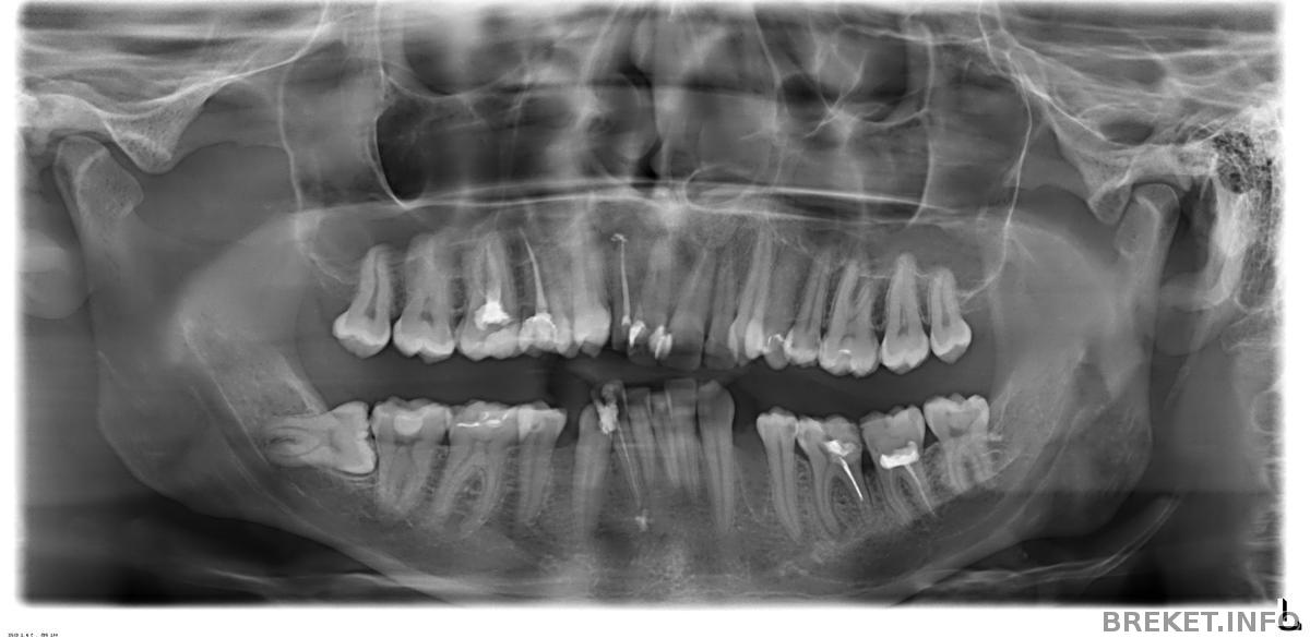
Панорама после удаления 8-ки и перелечивания каналов депульпированных зубов:
Скриншоты томографии верхней челюсти:
Скриншоты томографии нижней челюсти:
Так мои зубы выглядят при разомкнутых челюстях.
А так - если сомкнуть
Верхняя челюсть (видны сепараторы)
Нижняя челюсть (заметны промежутки из-за удаленных 4-ок)
Комментарии
eugene, мой срок перевалил за три года. С этим живут! Я уже так привыкла, что даже не знаю, как буду жить, когда ничего нет во рту.
Случай у тебя непростой - природа почудила конкретно ![]()
Радует то, что все исправимо и зубки сами по себе красивые. Расставят тебе все как положено - и будет красота!!!
Не думай о сроке, думай о результате!
не факт, что лечение три года займет) сроки всегда приблизительны) некоторые орты преувеличивают, некоторые преуменьшают. Может у вас все шустро пойдет) та и лет вам не особо много)
3 года - не самый большой срок, и он стоит того! Ваш ортодонт грамотный, не многим назначают столько снимков. А 6 лет ретенции - это капы? Я собираюсь всю жизнь носить несъемный ретейнер.
У меня примерно в такую же сумму обойдется все лечение и это очень немного! Повезло)
кстати, Март, мне срок в плане 12-24 мес. по факту 37
Джемма
Спасибо. Да, это за все материалы, установку, снятие и наблюдение в ретенционный период.
eugene да 3 года это тьфу ) Мне столько же скорее всего носить, в сравнении с тем что ранее мне предлагали только операцию, то я рада и этим 3-м годам. Как вариант я могу согласиться на операцию и тогда срок уменьшится существенно, но мне не надо быстрее. Так что вперед и с песней ![]()
Зы: тут есть девушка, которая 6 лет БС носила
Наташа, мне тоже предвещали 12-15, а по факту 24-26 светит)) хотя, я уже ничего не загадываю, как будет, так и будет) кстати, не забудь, что мы ждем твоего снятия и потом
за это дело))
шшшшш! это не сюда
(в феврале по планам сниму!)
Где вы за такую сумму лечение нашли( или высокие цены беда только Московских брекетоносцев?(
Джемма, да, в Москве наверное самые высокие цены.. Я за установку чуть больше 20 тыс. отдала и каждый месяц еще плачу по 1000-1500. При том что у меня орт одна из лучших в городе. Но у меня и брекеты самые обычные металлические)
Джемма у меня БС 54000, это металл, на ВЧ 8 брекетов керамика, плюс ежемесячные активации 3000, орт - лучший в Нижнем Новгороде, а может и не только в Нижнем )
Обычная ульяновская городская поликлиника. Я думаю, если учесть разницу в уровне оплаты труда в столице и в провинции, то всё закономерно. Я на этом сайте видел рассказы о ещё меньших ценах. В каждом регионе РФ по-разному.
Бурудундучок, мне даже грустно стало от таких цен, но вы просто счастливчики. У меня тоже был вариант делать в Твери, но и цена ненамного ниже была и я не хотела каждый месяц мотаться. Только что смотрела твои фото, у меня похожая ситуация, хотя твои зубки ну просто лапочки, у меня помимо диастемы еще и тремы( Скажи, как быстро началась стягиваться щелочка?
Вот это случай у Вас) Желаю удачного лечения , главное что оно уже началось , а эти три года пролетят быстро )) А потом в Голливуд ))
Джемма, грустить тут нечего, ведь ровные здоровые зубы - это бесценно!
Спасибо за лапочек
У меня не было диастемы изначально, она появилась из-за того, что зубы перемещаем на место удаленной 4-ки. А через неделю мне наденут чейн и диастему начнут закрывать.
Почитай дневник Lyer, у нее диастема была до установки
Бурундучок это ты права, я была согласна на что угодна, только бы не стесняясь улыбаться!
ааа, все не так поняла
Нууу очень красивая улыбка!
Джемма, ты наверное так подумала из-за последнего фото, это еще весной ![]()
Спасибо большое! Уверена, ты скоро начнешь улыбаться широко, у тебя и проблем-то особо нет, зубки ровно стоят. В этом тебе повезло!
Бурундучок да, самое обидное что и зубы здоровые и сидят ровно, а нет, все же наградила природа щелками) При чем у меня это наследство! Меня все отговаривали от брекетов, мол как так, твоя изюминка. Как по мне так нафиг такую изюминку!
Терпения, сил, мужества! будем следить за Вашими успехами все три года
Джемма, такое вообще часто встречается! Люди любят найти "изюминку" непонятно в чем. Как по мне, изюминку надо искать в достоинствах. Приятный голос, шикарные волосы или красивые губы гораздо привлекательнее, чем забор во рту) А у нас одной из изюминок будет красивая улыбка
Какой у вас случай, однако ![]()
Не переживайте, все будет хорошо! Цены действительно очень низкие, у нас в Питере таких цен нет.
Орт у вас наверняка хороший, столько снимков! Я таких томографий и не видела ни у кого
Бурундучок "дай пять"!)
Джемма,
Reflection я пропустила, что ты из Петербурга! Хэээлооооу!!
aussie_girl
Ммм не одной мне 2,5-3 предсказали
60 тыс за все лечение??))и это учитывая непростой случай!Радуйтесь!я заплатила в три раза больше, хотя ситуация с зубками у меня совершенно другая!
Девочки- москвички, у вас и зарплата наверное не такая как у нас в регионах )
К сожалению, не у всех)









Желаю вам удачи и терпения! Время быстро пролетит, и ведь лучше 3 года потратить на лечение, чем всю жизнь стесняться улыбаться!
У меня вопрос о стоимости, порядка 55 тысяч за всё всё?!