дело сдвинулось!
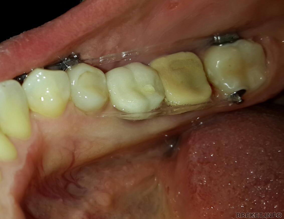
С праздничком всех! Сегодня был прием. Очень я его ждала. Решился мой вопрос по поводу передвижения восьмерки на место семерки. Приклеили мне брекет на нижнюю левую восьмерку. И с внутренней стороны лингвальную кнопку. За все это зацепили два чейна. Будем тянуть потихоньку! Орта поворчала, но согласилась. Проблема в том, что шестерка у меня имплант и за него тянуть нельзя. Так что это будет эксперимент. Я очень надеюсь, что все получится! У меня семерка идет под удаление. На ее корне образовалась трещина. Семерку еще не удалили. На ней временная коронка. Орта ее подпилила немного, чтобы освободить место для движения. А восьмерка здоровая. И вместо удаления ее решили подвинуть. Если все получится, я буду оооочень рада. А если восьмерка не захочет двигаться и завалится, то ее тоже придется удалять и ставить имплант на место семерки. Но это самый крайний вариант, которого очень хочется избежать!!! Ну и фото!
Комментарии
Какие перемещения интересные
MayaArt, на сколько я знаю, восьмерки полноценные жевательные зубы. А не долго они служат, потому что находятся далеко и чистить их сложно. Я здесь, на сайте много дневников перечитала с передвижением восьмерок и вроде все хорошо у всех. Именно эти истории подтолкнули меня на такую мысль, которую я и предложила орте. Она довольно долго думала и согласилась))
lenka-penka, не то слово! главное, чтобы все получилось.)))
ого, вот это у тебя обновления)) круто накрутили))
твоя история подтверждает утверждение "доверяй, но проверяй") а то тут часто пишут, что орт всегда прав и ему надо 100% доверять. Доверять-то надо, но и контролировать процесс тоже)) если бы ты не предложила такой вариант, то имплант тебе был гарантирован. А так, взяла ситуацию в руки, убедила врача и делаешь все возможное, чтоб сохранить свои зубы. А вставить всегда успеешь)) Я ооочень хочу, чтоб у тебя все получилось)) не забывай отписываться))
Крутая конструкция! Удачи тебе в передвижении!
Марточка! Спасибо! Я просто не хочу в 30 лет второй имплант! Что же тогда дальше будет!? Отчет буду обязательно писать)))
Катюш, спасибо!
Интересный процесс! Пишите, очень хочется посмотреть что получится, и как все пройдет!
У меня тоже был вариант притянуть 7 и 8 на место 6 (она была проблемной и не было ясно, удастся ли ее сохранить). Но потом я поняла, что процесс этот небыстрый, и довольно, судя по всему, тяжелый для пациента, хотя орт в принципе была согласна. Но, почитав что меня ждет, и на сколько времени затянется, я приложила все усилия (и финансы), чтобы ее спасли. Так что пока она на месте... но и 8 пока тоже на месте, на всякий пожарный.
Желаю успеха!
Спасибо большое!



Здорово! Интересно сколько времени это движение займет.... у меня 5-ки на нч не хватает.... попробую тоже подкинуть идею с восьмеркой орту. Единственное, что меня смущает - это недолговечность этих самых восьмерок, они же вроде разваливаются быстрее других зубов.