Блудный сын
Привет всем!
Наконец у меня выходной, есть время и почти не лень.
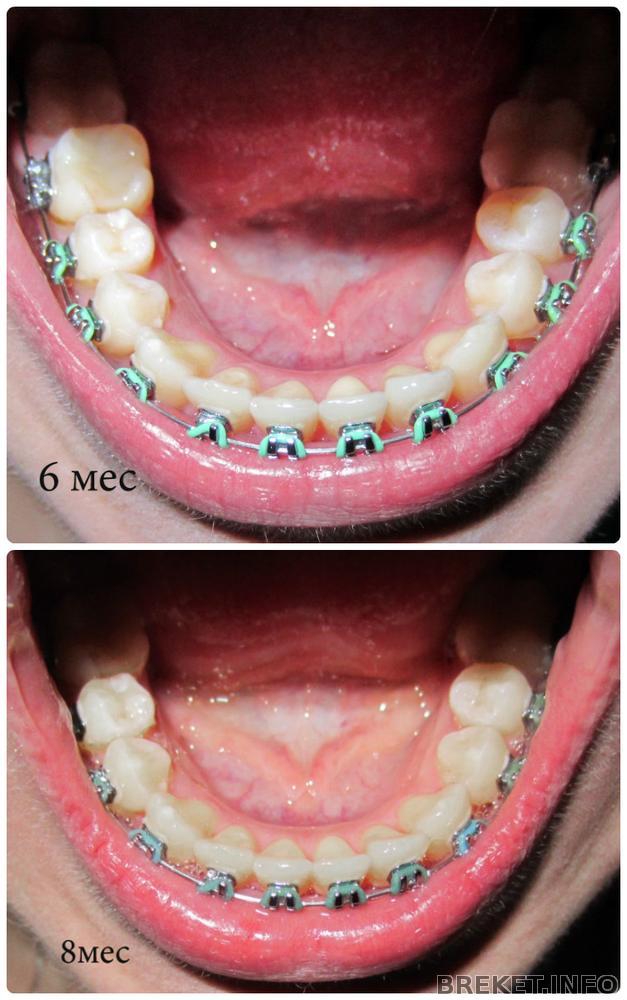
Моими брекетам уже больше года. Почти 1г 2 мес. Все возможные отчеты пропустила. Да и ладно- изменени то не много, а если есть-то незначительные.
Очень сомневаюсь,что снимем в ближайшее время, на мой взгляд работы еще много. И как орт это все исправлять будет-ума не приложу...
На последнем приеме отменили тяги,но поменяли схему чейна.Вот уже 2 мес ношу его от 6ки до 6ки на вч. Затянули щели между клыками и 2ми. И все)
На нч ничего не трогали,кроме лигатур. Там мне все непонятно. Уходит наклон, не уходит. Сломался один брекет. причем очень странно- отлетели ушки сверху и снизу. Теперь лигатура держится на 2 ушках всего. Буду просить,чтоб поменял, тк зуб немного уехал.
Как и некоторые привереды старички в итоге оставила всего одну зубную щетку и купила обычный колгейт-довольна как слон ![]()
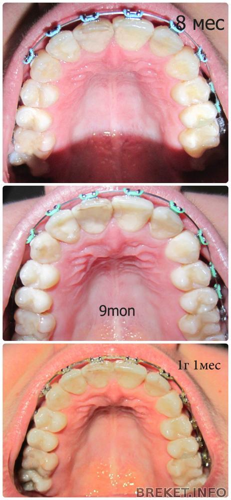
Вот фото отчет результата за год и 2 месяца ![]()
все таки улыбка немного кривая у меня, но и небольшой перекос по правой стороне зубного ряда присутсвтует ![]()
С этих ракурсов ничего особо не изменилось
С прикусом вроде лучше, но меня напрягает правая сторона, думаю, что все же надо настаивать на переклейке брекета и опускать клык ниже
право
Ну и щель саггитальная.. не пойму,почему она не убирается? да и единица здоровая как-то повернулась непонятно. Что за мрак то ![]()
Из хороших новостей: В декабре у меня появилась машина, о которой я даже и не мечтала, и вот вчера я закрыла сессию.
В последний прием нацепила синие лигатуры,под цвет машины
![]()
Заметила,что на сайте просто огроооомное количетво новичков! Друзья, вы не представляете, как изменится ваша жизнь, и какой правильный шаг вы совершили! Заинтриговала? ![]()
А старичкам: Не унываем, надеемся на лучшее и не ленимся чистить зубы как раньше
Комментарии
Lemon
Спасибо! Да уж, я не представляю себя без них, чего уж там, я не помню,как это "без брекетов".
Настроение точно повторяет мое)) Тоже год прошел, а работы еще.. Ну да ничего, терпения и все получится)!
Крутяк! Хорошо бы у нас (новичков) внезапно тоже появилась такая обалденная машина
)) Поздравляю с обновкой!
Привет, Mairead! Результат отличный. Осталось только немножко единичку вытянуть.
У меня с ними такая же беда(
Машина суперская, поздравляшки)
Поздравляю с машинкой! Пропащая душа! Как приятно видеть старичков на сайте, да с хорошими новостями!
.
Люда
Да настроение нормальное) я заранее себя настраивала уж точно не на год- год пару месяцев, как говорил ортодонт. Так что пока ждем. Прием вот 28 числа после перерыва в полтора месяца,очень интересно что врач скажет.
Zubr
Самое главное - это захотеть. Все мечты,о которых мечтаешь по-настоящему, а главное веришь в них - сбываются. Мысли материальны, уже много раз в этом убеждалась =)
Спасибо!
Улыбашечка
Привет,дорогая ![]()
Результат хороший, да, спасибо! А вот единицы.. Волнуюсь за них. Одна изначально была отреставрированной и кривоватой, держу кулачки, чтобы она до снятия дожила, а вторая-здоровая что-то учудила, встала как то странно под конец срока
Самые заметные зубы, а так себя ведут( ну ниче, орт их перевоспитает, надеюсь =)
Спасибо, машина и правда классная, радуюсь каждый день
Leno_op4uk
Благодарю!
Да уж, пропащая - это точно. Сама не рада,что тут так редко бываю. Столько новых людей, как будто сайт новый вообще.
А раньше ведь,пропадала тут днями и ночами, ээээх
омг, какииие люююди))) не прошло и сто лет)) я тебя все жду, жду, жду))) наконец-то ![]()
смыкание просто суупер)) мне оочень нравится)) тоже хочу себе такое ![]()
с машиной вообще сюрпрайз))) я тебя поздравляю))) это нереально круто))) красивенькая такая)) а я все мечтаю-мечтаю и пока никак не светит(
а новеньких действительно миллион, я все боялась, что пропущу твой пост в куче "почему у меня не болит?", "прошла неделя-ничего не поменялось", "зубные щетки, пасты", "какую БС ставить" и т.д.)))))
вообщем, с возвращением)) надеюсь будешь появляться чаще!))







Поздравляю с машиной и закрытой сессией. Осталось только брекеты снять