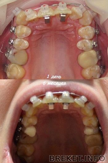
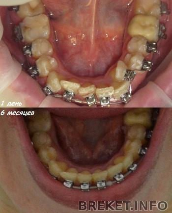
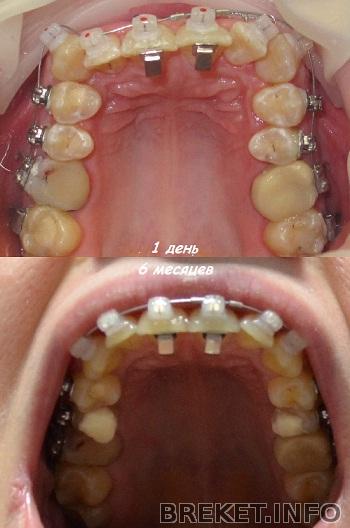
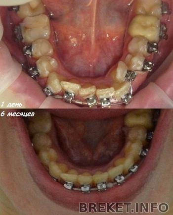
Ух, ты! Уже пол года! + ФОТО
Только к вечеру осознала, что моей БС сегодня стукнуло 6 месяцев!
Время просто пролетает! Даже как-то удивительно!
Ничего не буду писать о том, что было и что еще предстоит.
Фото выложу чуть позже. Дочу спать уложу и сфотаю.
Комментарии
Поздравляю, Танюша! Первая серьезная дата
Время ужасно быстро летит)
Мои поздравления! Желаю, что бы дальше лечение протекало без проблем и преград.
У меня уже вторую неделю дурацкие заеды не проходят. Особенно справа. Чем лечить кто знает?
Красотища!
Поздравляю! Раньше в аптеках продавался рибофлавин (таблетки) - волшебное средство, заеды пропадали за несколько дней. А теперь он куда-то делся
Ооо! Небо и земля! =))))
отличный результат за 6 месяцев!
А заеды - это логично, пора авитаминоза настала.. надо витаминок попить (А, Е и т.д.)





Тань, поздравляю с полугодием!!!
Всего полгода?
Такое ощущение, что ты всю жизнь на сайте