Второе посещение орта после установки
Вот уже прошло почти 2 месяца с момента установки БС на ВЧ. Сегодня была на втором приеме у орта. Поменяли лигатуры и поставили новую дугу, еще подключили 7-ки. Без приключений не обошлось, вечно со мной что-то случается
Когда стали подключать 7-й зуб, отвалился брекет и улетел в горло. И на фразе орты "Только не глотай" я им давлюсь и проглатываю
Видимо, завтрака мне показалось мало, потому решила побаловать желудок брекетом... Пришлось клеить новый ![]()
Назначили дату установки БС на НЧ. Я очень хотела зафиксировать низ в этот раз, но у меня еще не сделана вестибулопластика. Делать мне ее будут в эту субботу (Страшно-то как! Причем боюсь я не самой операции, а того, что потом не смогу говорить и буду ходить с раздутой губой). Зато орта сказала, что, может, оно и к лучшему, что зуб удалили, у меня внизу скученность большая. Кстати, добавила орту в ВК в друзья, какая же она красивая, с какой потрясающей улыбкой. Я ей просто восхищаюсь ![]()
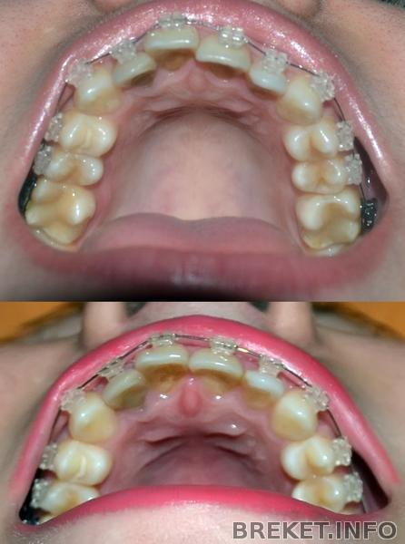
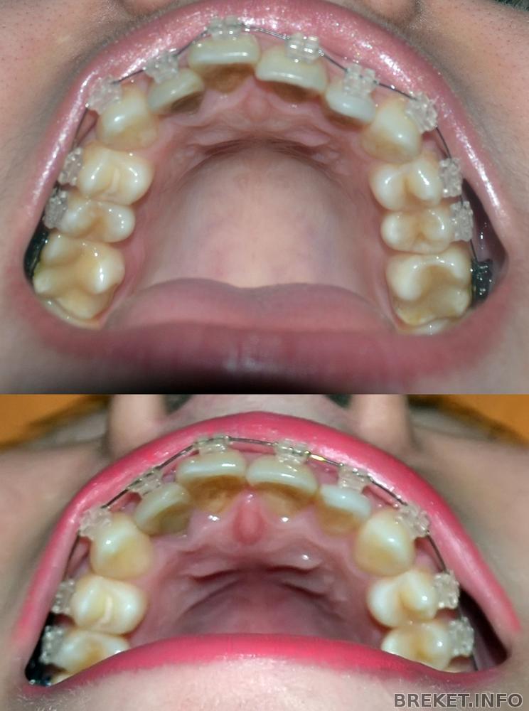
За 2 месяца верхние зубки уже очень хорошо подвинулись. Прилагаю коллажи. Ракурсы немного разные, я криворук
![]()
Забыла даты подписать - 28.12.14 и 28.01.15. К сожалению не догадалась так сфоткать в день установки...
Кроме того с ношением БС несколько изменилось мое мировоззрение и поведение. Во-первых, я стала всем заглядывать в рот. Иногда мне хочется подойти к кому-нибудь, оттопырить губы и внимательно рассмотреть зубы
Во-вторых, я стала пастоманьячкой. Часами стою у прилавков, дома ящичек в ванной забит разными тюбиками. А еще я заметила, что ершиками орал-би очень хорошо причесывать брови
Ну и немного о личном. Я выхожу замуж
И хочу сказать, спасибо всем форумчанам, вы оказываете мне большую поддержку!
Комментарии
ой ой ой)))) поздравляю от всей души!!!!!!!!
Катя, поздравляю! До августа совсем чуть-чуть ) Начинай готовиться ))
С приключениями, зато тебе будет что вспомнить )
Про ершики, я бы не додумалась, чес.слово
Кошак отдувается за всех)))
Поздравляю! Какие тут зубы, если такие грандиозные новости про замуж!
Хотя зубы, бесспорно, молодцы!))
Спасибо, девочки! Кажется новость про замуж перечеркнула все мои ортодонтические успехи ![]()
Честно говоря, я еще не осознала и нахожусь в благостном пофигизме ![]()
ЗЫ кот не мой. Нашла картинку в инете. Но когда я такой жест с женихом проделала, и сказала, что ему надо двойку поправить, он офигел
Кстати,брекет со временем можно вернуть и держать,как запасной)
Какие приятные новости! ![]()
Точно перечеркивают все зубное движенье)))
А смотреть зубы - это да, это у многих... На счет коллег своих я уже раз 20 "приговорила" (мысленно, правда), кому стоит исправить, а кому и так можно пожить... Так что теперь интересуюсь в основном зубами случайно увиденных людей.
И как же приятно увидеть еще одного "такого" среди окружающих!
С такими брекетами - можно и замуж! ![]()
У меня тоже отвалился брекет на 7-ке через 3 минуты как его установили! Там плохо держится, вроде форма зуба такая неровная чтоль...
Только спустя месяц подключили 7-ки ВЧ и 6,7-ки на НЧ.
Уж очень я ныла по этому ортофее, что она сдалась!)) А может это был ее план!
Поздравляю!
Planeta, ахаха вы серьезно?
Про ёршик очень любопытно, как вам такое в голову могло прийти?
зубки и брекеты очень красивые, они будут как дополнительные украшения на вашей свадьбе! Поздравляю!
Ершик-это лайфхак какой-то
Поздравляю!! Движение есть!
А перед свадьбой, это да, начинай уже сейчас готовиться)
Мы в прошлом году свадьбу делали, начали готовиться за 3 месяца, катастрофически не хватило времени) Последние недели не спали, все доделывали)
Ах, эта свадьба, свадьба, свадьба..... Катя, поздравляю!!!
Какая отличная новость! Зубы молодцы, точнее зубки (что это я
)! К свадьбе то уже красота будет, все ровненько
Спасибо, девочки ![]()
Annet_ved , ко мне можно на ты )) как пришло в голову - не знаю, меня иногда посещают странные мысли
Поздравляю!!! ![]()
Уже очень красивая улыбка!
Про ершики насмешила ![]()
Женщины вообще очень изобретательный народ. Многие волосы закручивают в гульку и фиксируют карандашом, если заколки или резинки нет, а волосы надо убрать. Я так делала, нормально)))
А еще я не люблю жирные карандаши для бровей, поэтому беру цветные карандаши для рисования у своих детей (из качественных, мягких) и выбираю любые оттенки коричневого, многие подумают, что я чокнулась))) Но я не сама это придумала, помню мы на уроках с девчонками красили себе брови обычным простым карандашом))
Лайма , за улыбку спасибо! А карандашом у меня бабушка брови рисовала, причем самым обычным, ей почему-то по цвету подходило
какой позитивный пост, приятно с утра почитать )
поздравляю!!! ![]()
мне в этом году предстоит то же, вот только я не хочу большого празднования, поэтому то, что в брекетах - пофиг )
Яна92 спасибки
и я тебя поздравляю!!!
Лайма, я с карандашом для бровей тоже так делаю! Только предпочитаю сепию - она еще мягче =)
Lyer, фуух, слава Богу, я не одинока
Супер улыбка и замечательный результат





Аууууфффф!!!! Поздравляю!!!! Какие планы грандиозные!!!!
Зубки заметно подвинулись