Прошу оценить степень готовности
Время летит незаметно, и моим брекетам уже больше года.
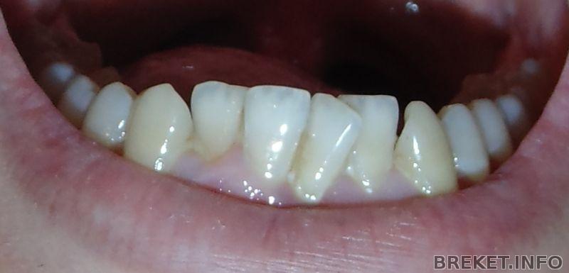
Сразу делюсь результатами на сегодняшний день.
Орт говорит, что в принципе уже можно снимать и идеального результата ждать не стоит. И брекеты, если их долго носить, могут как-то навредить. Но я его упорно жду, хочется симметрии какой-то. и чтобы зубы все-таки уже встали по идеальной дуге. Конечно, по сравнению с тем, что было, то, что сейчас - это очень круто, но...
Друзья, оцените, пожалуйста, в комментариях состояние дел..и прав ли я в своих ожиданиях.. Или все-таки в моей ситуации лучше уже не будет?
Всем заранее спасибо.
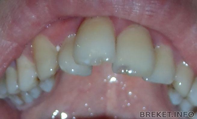
А вот так у меня было до лечения
Комментарии
Наверху я жду что единичка отойдет назад, ну и двойка тоже поменяет свое положение - для этого и изгиб сделан.
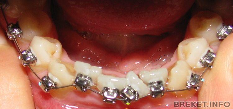
Внизу щель затягиваем, потихоньку там становится лучше. Но внизу большие щели из-за отсутствия десны..да и наверху тоже есть щели такие.
А что с прикусом и наклоном?
наклон есть. прикус нормальный.
shinoda, отличный результат!
По сравнению с тем, что было, сейчас идеально.
Форма зубов очень красивая)
На НЧ единичку надо к двоечке тянуть... такая щель между ними...
А что за изгиб на верхней дуге?
А мне кажется, что тут вполне реально довести результат до идеального.
Согласна с Марусей, работы осталось совсем чуть-чуть, может орт разленился, раз хочет снимать уже? Срок-то совсем небольшой. Над верхними резцами нужно поработать и щель на НЧ закрыть.





Из-за изгиба на дуге на ВЧ не могу сообразить, что цепляет глаз, то ли изгиб, то ли 2ка. А на НЧ щель между единичкой и двойкой. С ней орт что-то делать собирается? Как бы щель во фронтальном отделе оставлять