Снятие-неснятие
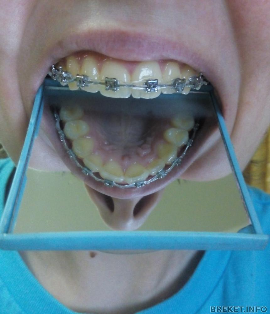
Всем привет! Пишу тут впервые. Наверное,потому что хочется поделиться с теми,кто уж точно поймет) В общем,ношу я брекеты 10 месяцев. И последние месяца 3-4(точно уже и не помню) орт крутит мне верхние единицы и то одна вылезет вперед,то вторая! Надоело это ужасно. Вот в прошлый раз погнул дугу,вылезшая единица залезла на место и вылезла другая единица.Пришла я сегодня,он опять погнул,теперь опять другая единица вперед вылезла.Сам орт вообще уже о снятии говорит. И сегодня сначала все было ровно-красиво и радостно, и я реально думала,что снимаем,ура,а сейчас ,к ночи,зуб опять вылез вперед. И какое тут снятие,если они так и не ровняются,я не понимаю. Назначил прием через 2 недели и сказал звонить,если встанет зуб не так.Вот придется звонить и ехать опять к нему. Понимаю,что тут люди носят годами,но мне брекеты эти так надоели уже)) Особенно вот сейчас,когда два этих зуба туда-суда мыкаются! Да и орт изначально обещал год лечения. Добавляю фото до-3 месяца и то,что сейчас.
Комментарии
А где вы тут в принципе увидели прикус,если на всех фото открыт рот?
вы и сами пишите в своём посте, что снимать рано! терпения вам!
Вы не обижайтесь, но исходя из положения челюстей в открытом положении (если, конечно, вы специально не смещаете их), совсем не тяжело представить, как они будут смыкаться.
И как же?)) я не обижаюсь,просто интересно стало,как понять прикус,когда рот открыт? Прикус у меня был немного глубокий,а сейчас нормальный. Могу завтра фото до/после показать,с компа зайду
Хотя,вот. С телефона за грузила
Эт совсем другое дело
!!! Я о таком прикусе сейчас могу только мечтать
Я помню ваш ник
Если зубы так ходят туда-сюда,то снимать ещё рано. Корни врядли встали устойчиво и крепко. Может ещё с ретейнером пару месяцев походить без дуги?
Yuliia.Smoll ну мечты сбываются,тем более,вы уже в брекетах)
Planeta орт говорит,что после снятия зубы будут немного подвижны. Да у многих они слегка шатаются после снятия,как я заметила.
aussie_girl я ваш тоже)



Вы меня конечно извините: но либо фото не совсем удачное, либо с прикусом беда. Можно фото зубов в сомкнутом состоянии?