ГОД!
Ровно год назад я шла к своей орте с трясущимися руками и ногами в предвкушении исполнения своей мечты. Усадили меня в кресло, приклеили брекеты, вставили дугу, дали в руки зеркало. Они казались такими большими, как будто второй ряд зубов мне вставили. Улыбаться с закрытыми губами стало невозможно. Когда я вышла из клиники, позвонила маме, она ждала, что дикция моя испортится, но нет, все осталось как и было.
Я работаю преподавателем и на несколько месяцев глаза учеников поселились у меня во рту. Пара из них подробно расспрашивали, интересовались, остальные просто глазели. Взрослые коллеги только хвалили, что молодец, следишь за здоровьем и красотой. Спрашивали только сколько мне носить.
Сначала срок ставился год. Но сейчас он увеличивается на неопределенное время. Мы решили передвигать нижнюю левую восьмерку на место семерки, от которой остались только корни свои. На корне появилась трещина и моя семерка идет под удаление. Как сказала орта, нижние зубы плохо двигаются. По-этому срок ношения увеличивается до полу-года. Я готова потерпеть! Заодно доделаем мелкие недочеты. За это время мне только дуги меняли. До начала передвижения восьмерки никаких других девайсов у меня не было.
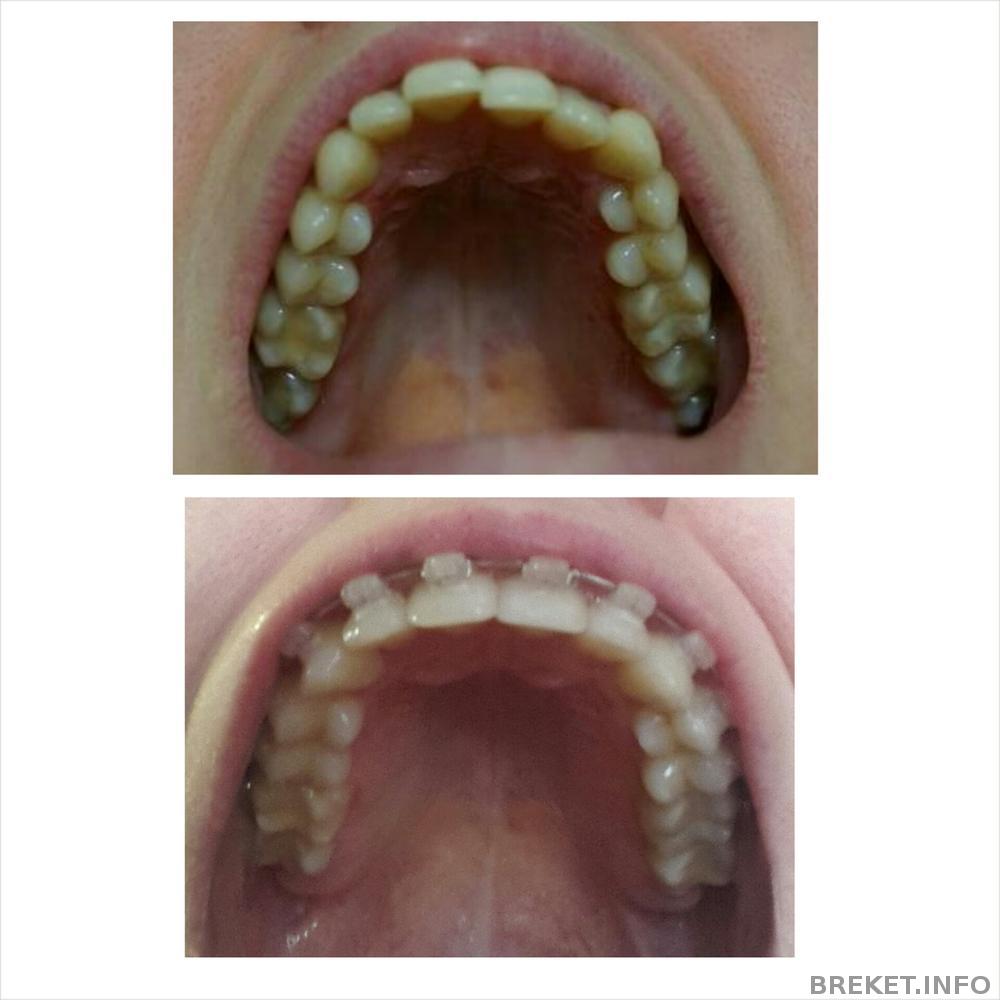
Ну и фото для сравнения!
Комментарии
какая красивая улыбка
Спасибо, Девочки!
Вот это деткам правильный пример! Очень здоров все выглядит!
Поздравляю с Годовщиной!
Отличнейший результат ведь!
Эх, жалко, конечно, что восьмерка процесс затягивает...
Ура! С праздником
Про учеников забавно )
Поздравляю, улыбка получается очень красивая, зубки класс )
Мне нравится результат, здорово!!!
А что с наклоном?? Такой устраивает?? Это я к чему: не получится так, что уберете бреки, а наклон не нравится как у Pingvina...
Спасибо, девочки!
Annachka45, про наклон да! Мне не нравится! В последний раз не получилось спросить, я опоздала на прием. В следующий раз (через 2 недельки) обязательно спрошу! Пусть делает мне красоту! С таким наклоном я естественно не сниму!
.
Сепарация в таком случае поможет, я думаю (у Анетки (у меня в подписках есть) так же было, сепарацией исправили)
Поздравляю с годовщиной! ![]()
Результат вырисовывается прекрасный... да что уж, и сейчас красота ![]()
Остается только пожелать довести до идеала)))
Леночка, я как всегда восторгаюсь твоими зубами!)) Очень красиво выглядят, если бы не передвижение восьмерки- можно снимать!)) А по поводу наклона интересно получается: правая сторона вроде в порядке, а слева виден наклон
Да, Ань, хочу ей предложить в следующий раз. Я уже думала над этим.
Марго! Спасибо! Будем доводить до идеала!
Марточка, спасибо, дорогая! Вредная левая двойка никак не хочет опускаться(((
Какие же красивые зубки
Поздравляю с годовщиной!
Спасибо, Юльчик!
Согласна с девочками, что улыбка просто шикарная!!! Красивые, крупные белые зубы и широкая улыбка! Вот где голливуд будет нервно покуривать))))
Спасибо, Кристиночка! На пути к голливуду я замучаю свою орту))
Леночка!!! Поздравляю, старичок))))
Очень красивые зубки и ты!!!
Спасибо, Лаймик!!!
Вот и я стала старичком! "Бывалый" брекетоносец
Лена, да ты теперь дембель)))
Да, Анют! Только до демобилизации мне далеко!)))
Восьмерка моя сегодня начала активное движение. Тянет-потянет. Я ждала этой боли после смены чейнов неделю назад, но ничего не было((( прям уже садомазо! О, как я рада этой боли! Даже рот больновато открывать.








Замечательный результат !!! Очень красивые зубы