14 месяцев)
Начну с наболевшего)) Брекет инфо превратился в захломленный лишней информацией сайт
То какие-то путешествия, то ДР Тимберлейка, то куча тем про какую-то книгу (не важно хорошая она или плохая), то (временами) полит.темы… Куда смотрит админ? Это же сайт про брекеты… Как мне этого не хватает((( Когда открываешь его утром, а туууут – куча тем про БС, пломбы, зубы, пружины...)) Тогда было заходить сюда- одно удовольствие. Я даже скучаю по постам новеньких, с их вечными вопросами «почему ничего не болит? Это значит, что не двигается? Прошло три часа, почему зубы еще не ровные???»
А щас, пришло время писать ежемесячный отчет, плюс прием был полторы недели назад, и вот сижу и думаю: а в тему ли теперь будет ли мой зубной пост?)) Потому что сайт теперь- собрание шопопало тем, некорректного выражения своих мыслей и наездов друг на друга, если мнения отличаются. А ведь еще год назад все были такими милыми и добрыми
Вот и щас я уже в предвкушении разъеденной толпы, бросающей в меня камнями)) Я не хочу, чтоб в комментах начались баталии на счет того, как круто, что Брекет инфо теперь ЖЖ, просто выразила свое скромное желание видеть побольше зубных тем))
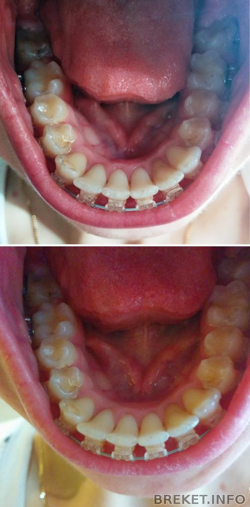
Так вот. У меня миллион новостей))) кто не помнит- щас основная работа с центром) микроимплант, пружины.
На НЧ ничего не трогаем уже очень давно. А зря, она меня всегда больше, чем ВЧ волновала, т.к. была очень проблемной. До сих пор четверка слева стоит под наклоном, правая пятерка выше всех, клык справа наклонен внутрь. Вообщем, из месяца в месяц ничего не меняется и меня это периодами очень расстраивает ![]()
На ВЧ удивительное событие: центры наконец-то сошлись!)) И знаете, это реально достижение)) столько сил было приложено, чтоб достичь этого. Когда-то, я говорила, что мне не важно будут ли они сходиться или нет…Но шло время, перфекционизм крепчал)) эту пару миллиметров мы доставали как могли: несколько сепараций, чейны-чейны-чейны, микроимплант+чейн, микроимплант+2 пружины, опять чейн. И вот он результат:
Косые-кривые единички изрядно портят картину, надеюсь орт не оставить все так. НО!) Центры сошлись)) На это приятно смотреть, с учетом тех усилий, которые прилагались)) Ура ![]()
Зубы тянем частями, так что щас огромная дырень с левой стороны между единицей и двойкой. Муж говорит, как-будто мне кто-то зуб выбил) Хорошо хоть там) я просила орта, чтоб не между единицами) хватит, ходила так уже при первой попытке работы с центром
Знаете, меня удивляет, но после того, как центр стал на свое место, многое слегка поменялось. Казалось бы- всего пара мм)) Но губы стали симметричнее и равномерно пухлыми) лицо из-за этого тоже вроде лучше стало)) смыкание улучшилось)) я даже не ожидала такого результата, тем более, что у меня не парное количество зубов на ВЧ)
Так что даже если Вам не хватает одного зуба- можно добиться хорошего результата, имея огромное желание)) главное- не сдаваться)) я шла к этому год и постоянно слышала, что "это не реально, идеала не будет". Даже на прошлом приеме, я орту сказала "очень хочу видеть центры НЧ и ВЧ вместе", на что он ответил, что у меня слишком оптимистическое желание)
Из плохого- большой кариес на верхней левой семерке( будем лечить на след.приеме(
Сегодня вечером испробую Сплат Лав))) уже открыла, понюхала)) пока- в восторге
но посмотрим, что будет в процессе чистки)) А завтра утром попробую литовскую пасту Экодента, тоже впервые)) так что я в ожидании))
Комментарии
Ооо, даааа, точно))) спасибо большое)))
Привет! Наконец-то дождалась твой пост)
Это же такая замечательная новость, что центры НЧ и ВЧ у тебя совпадают! Мои поздравления!))
Ты молодец, что настояла на этом и добилась результата!)
А сплат лав - вкусненькая, если так можно сказать о зубной пасте)) (нет, я ее не ела))
Я ей пользуюсь под настроение, ибо чистить постоянно отбеливание пастой - не рискую.
Мартуля! Ну наконец-то дождалась я твоих новостей!
Старички все реже пишут.((
Ооооооооочень рада за твой прогресс с центрами! Наконец-то они сошлись!
Это очередная победа над непослушными зубами.
А на сайте, согласна, стало много посторонних тем. Год назад такого не было. Про админов недавно вспоминали. Забыли они про нас видимо...
Martinss, ахаха, я поржала, спасибо! ![]()
Даже как-то обидно, что я пропустила ДР Тимберлейка
Оу, щет ![]()
А новички пусть поменьше пишут! ![]()
Прошло три часа, почему зубы еще не ровные???
![]()
Я за лимитную стистему постов для новеньких, да-да ![]()
Для чего тэги?! Для чего люди несколько лет пишут - стараются?!
![]()
А для того, чтобы новые-зеленые-крикозубики находили старые посты и набирались инфы и опыта!!! ![]()
Меня раздражают бесконечные темы: "нам 2 месяца" ;
"почему я проглотила лигатуру" и прочие милые бессмысленные записи
И еще, милая Мартачка
безумно радуют твои успехи!
Это вау
Завидушки
![]()
Оч крутые результаты))) Скорее снимай и уходи ![]()
Если ты понимаешь, о чем я
Поздравляю с победой в борьбе за центр!
это очень-очень круто! На самом деле, так часто бывает - вроде 2мм, а изменения фантастические... Желаю, чтобы и с НЧ все скоро решилось!
Хорошие результаты, поздравляю! Особенно с центрами, у меня тоже совсем недавно центры сошлись, разделяю радость.
Про новичков: мне иногда кажется, что люди здесь часто путают гугл с кнопкой "добавить запись в дневник", имею в виду всякие там "что такое чейн" и проч.
Марта, здорово, что центры сошлись!
А вот мне такого не видать (нет единички на НЧ, будет 3 резца)... Сначала, я думала, ну и ладно, а теперь читая такие посты, хочется тоже, что было идеально... Эх... Ну хоть у кого-то будет красиво! Сколько еще носить БС пророчат?
Каааатяяя)))) ну наконец-то ты появилась))) как там у тебя дела??)) как зубы?)) я очень часто о тебе вспоминаю и все боюсь пропустить твой пост в ленте бесполезных тем))
спасибо большое)) ох, эти центры)) главное, чтоб не разбежались обратно)
я пасты часто чередую, надеюсь все будет ок))
Леночка, спасибо тебе, больше)) это действительно маленькая победа)) а может и не маленькая)) я надеюсь и у тебя восьмерочка шустренько поползет на новое место))
и да, я тоже скучаю по старичкам((( очень(( хоть ты не пропадаешь, это радует, спасибо)))
Халва, огромное спасибо))) надеюсь все мы тут быстрее снимем и уйдем))))))
про новичков ты абсолютно права)) меня раньше тоже раздражали эти темы и хотелось послать их всех в поисковик))) но теперь, когда про зубы почти не пишут, я даже скучаю за этим)) сама в шоке, что такое возможно)))
Lyer, спасибо)) и не говори)) это ж надо, как меняется иногда ситуация при каких-то минимальных передвижениях))
кстати, поздравляю тебя с установкой на НЧ)) теперь ты полностью укомплектована))) думаю твоя НЧ быстренько красиво в ряд станет))
StacyJohn,люди здесь часто путают гугл с кнопкой "добавить запись в дневник"- ахахах))) просто все ленивые какие-то стали)) помню, когда я обнаружила сайт- вдоль и в поперек его перерыла, перечитала невероятное количество постов, пересмотрела ВСЕ страницы с фотографиями)) вообще не вылазила от сюда)) а теперь людям проще в сотый раз спросить одно и тоже, чем полистать дневники или вбить в поисковик)
и, конечно, тоже поздравляю тебя с центрами)) это приятненько))
Reflection, спасибо))) вот и я, читая подобные посты, мечтала когда-то написать, что и центрами все ок)) сколько носить не знаю(( в сентябре говорили, что к 8 марта сниму, но потом я настояла на центре и все поменялось. Так что пока о снятии речь вообще не идет( очень надеюсь, к двум годам ношения снять))
По поводу такой ситуации, как у тебя, я когда-то тут читала)) у девушки тоже не было единицы на НЧ и чтоб все смотрелось гармонично, ей сделали центр между единицей и двойкой)) вышло круто, на первый взгляд и не скажешь, что одного резца не хватает)) может и у тебя так получится)) это хороший выход, если так можно))
Поздравляю с центрами! Очень-очень за тебя рада)))) Вот читаю твой пост и мой перфекционизм подгрызает меня за мои не центральные центры ![]()
А мне даже нравятся флудо посты. Иногда вечером зайдешь и комментировать ничего нет желания, т.к. вопросы типа "почему не болит" и все уже перечисленные выше немного надоели, да и как правило на такие вопросы уже пара-тройка комментов есть, а так обязательно зацепишься и ввяжешься в разговор. Хорошо отвлекает от действительности простая болтовня на пустые темы))))
Мартуля! Спасибо за теплые слова! Я мысленно подталкиваю восьмерку на место.)) И все жду удаления семерки. Орта пока только 2 раза подпилила коронку, говорит если сразу удалить, то места будет очень много и 8 может завалиться.
Идем к победе! Медленно, но верно!
Да! Разглядела твои фотки! Смыкание-то на сколько лучше стало! Я с наклоном передних зубов свою орту буду тормошить в понедельник, они совсем не сходятся. А она говорит, если не восьмерка, то сняли бы совсем скоро!...
Я тут находила историю, где центр приходился на середину одного оставшегося резца. В принципе не критично, смотрится хорошо. Но ты молодец, но настояла на центрах!!
поздравляю с отличным результатом в плане эстетики ![]()
не думала, что наш флэшмоб с красной помадой вызовет такой негатив, и что плохого в постах про 1, 2, 5, 10 месяцев? все с этого начинали, в том числе. Не скатываться же к диагнозам по фото "удалять-не удалять"
Я тут каждый день бываю на самом то деле) Читаю, читаю, но ничего не комментирую...
Дела мои неплохо) Закончились 1,5 месячные каникулы в универе, первая неделя учебы прошла.
За это время успела немного попутешевствовать во Львов и Карпаты) Не без приключений) Началось все с того, что мы в Харькове чуть на поезд до Львова не опоздали)) Закончилось почти так же)
А как твои дела, не касательно зубов?)
Зубы движутся оооочень медленно. С верхом мы ничего не делали с мая. С МАЯ!((
Занимаемся сейчас только низом.... уже который месяц пытаемся развернуть этот вредный клык. Очень надеюсь услышать заветные слова от орта на следующей неделе: " Да, он развернулся и мы можем менять дугу ". Ведь пока не будет новой квадратной дуги - не будет тяг и работы над прикусом. .. В полтора года не укладываем совсем. Уже почти год и три. Хоть бы к концу лета сняли. Стараюсь не унывать и в это верить)
Еще на НЧ есть заваленная после накусочных пломб внутрь шестрека, которую мы не трогаем в принципе. Да и дуги внизу только до 6. Мне самую первую обрезали так из-за того, что вылетала постоянно. А остальные такой же длины ставили.
С потемневшей двойкой - ничего нового, зуб здоровый, но не белый... Скорее всего где-то в районе снятия придется внутриканально отбелить.
Щель между ВЧ и НЧ есть, однако теперь я постоянно задеваю верхними единицами брекеты на нижних. Не знаю, нормально ли это...
Из всей этой ситуации не понимаю лишь одного: почему нельзя работать над верхом и низом одновременно? Сначала 7 месяцев - верх, а потом еще 8 - только низ. Как-то время потеряли просто....
Надеюсь, что через недельку все таки заставлю себя сделать пост, как от орта вернусь. А то совсем давно коллажи не делала)
Kristisha, спасибо))) у тебя и без центров результат хороший)) может еще есть варианты, чтоб немного его пододвинуть к нужному месту?))
когда таких постов не много, то это и не плохо) а когда их больше, чем на профильную тему- то это перебор)) зубы мнееее, побольше зубов)) интересно читать что-то новенькое) вот про многопетлевые дуги не знала, к примеру))
Леночка, у тебя действительно дело шло к снятию)) все уже обалденно выглядит)) но ты приняла правильное решение) тем более, что пол года не так уж и много, в сравнении с тем, чтоб сохранить свой зуб))
lenka-penka, спасибо)
не поняла про негатив к флеш мобу) о нем тут речи не было) да и в постах про "1, 2, 5, 10 месяцев" тоже нету ничего плохого) где вы вообще все это тут прочитали?)) мы с девочками говорим о банальных вещах типа что такое чейн и почему не видно моментального результата) и что ответы на эти вопросы элементарно находятся в поисковике)) но да ладно, сама не буду повторяться и цитировать девочек тоже, и так все ясно написано, можно перечитать, если что)) да и никакого особенного негатива абсолютно не было))
ой, Кать, я работаю-работаю... в последнее время столько дел, что даже выходные не спасают( мечтаю отдохнуть, просто ничего не делать) скоро еще коллега в отпуск идет и в моей жизни настанет коллапс))
а ты реально уже сто лет коллажи не делала)) ай йай йай)) вон столько всего у тебя!))
внутриканальное отбеливание звучит очень интересно)) не слышала о таком)) знаешь как оно делается и в каких случаях?
вообще, главное говорить орту о том, что тебя не устраивает. Пусть знает о чем ты переживаешь. По поводу сроков ношения БС- я стараюсь не думать, а то иногда такие сюрпризы бывают, что пусть все идет себе чередом, а снять всегда успеем))) но задевать брекеты явно не очень хорошо(( надо и об этом тоже орту сказать. Странно как-то, что так выходит ![]()
я ждуууу, все ждуу от тебя фоток, новостей))
Martinss, уже центр трогать не будем точно. Там вариант только микроимпланты на обе челюсти. А мне и по деньгам не очень выходит, особенно по нынешнему курсу, и по времени тоже боюсь затягивать. Орт отменила тяги, смотрим как зубы себя поведут и если не разъедутся, то уже ничего с ними делать не будет. Буду ходить закреплять результат, пока не приживется имплант, а потом коронка и снимаем.
Спасибо, дорогая! Бреки я не сниму, пока орта не доделает все до идеала. А то мой внутренний перфекционист страдать будет.
Работа это вообще зло! Она затягивает по страшному! Мечтаю о выходном, чтобы спать, пока не подурнеет! Но в ближайшее время его не ожидается((
lenka я думаю, что скорее другие вещи имелись в виду, например, обсуждение книги или итоги года
а флешмоб был как раз классной темой! Все познакомились друг с другом ![]()
Martinss поздравляю с прогрессом!
Оууу, центры - молодцы!
Я же говорила )))
Кристина, мне до сих пор кажется, что пружины в выравнивании центра помогли больше, чем этот микроимплант.
Но в твоей ситуации действительно слишком много факторов, которые перевешивают ровные центры. Плюс, хоть и говорят, что микроимпланты ускоряют процесс лечения- все-таки нет. Срок ношения БС реально увеличивается. У меня до полу года где-то, например. И, опять-таки, с такой ситуацией, лучше уже основное доделать, а без ровных центром можно жить, если все остальное в порядке))
ой, Лен, и не говори... я тоже мечтаю лежать и спать, пока пролежни не появятся)) и тоже пока не предвидится((( наоборот, впереди несколько тяжелых рабочих недель((
aussie_girl, спасибо!))
kalomira, даа)) встретились таки, наконец-то)))
Хорошие результаты! еще чуть чуть и снимать можно!))
Поздравляю с водой над центром!) Всегда приятно, когда двигается именно то, чего ты больше всего ждешь!)))
Martinss, очень рада за такие хорошие передвижения и выравнивание центров!! Отличный пример того, что если очень захотеть, то можно своего добиться ![]()
И "вид снизу" теперь очень хорош, ровненький)))
Очень интересно, как в итоге будет выглядеть твое лицо в плане симметрии - я в такой же ситуации (отсутствии одной 5-ки) согласилась с симметричным удалением, вот думаю, зря или не зря... Но у меня асимметрия была все-таки заметна (на фотографиях), надеюсь орта сделает все красиво
Брекет инфо превратился в захломленный лишней информацией сайт
Поддерживаю! Тоже порой тоже, заходя сюда, расстраиваюсь от обилия флуда... Пост "про зубы" приходится искать по одной, а то и по нескольким страницам. Но иногда в этом обилии попадаются интересные с психологической точки зрения обсуждения, я такие люблю))
Поддерживаю - много оффтопа. Совершенно лишние обсуждения книг, просьбы о подарках в виде книг и добила танцем запись о проведенном 2014 годе и достигнутых успехах. Whatafuck?!? И конечно вопросы - что такое чейн, и какую систему посоветуете, и удалять/не удалять можно и в старых сообщениях, или в гугл, или у врача спросить. Я этот сайт почитываю с 2010 года. Вопросы в основном одни и те же. А вот в ЖЖ это превращать не стоит, потому как ЖЖ на месте и ждет своих фанатов.
Jusya69, ахахаха
Но, совсем без флуда скучновато бы было, а здесь веселье, бурное обсуждение... Даже сейчас мы по сути флудим, так как надо меньше флудить
Про флуд на посторонние темы согласна, ник чему они здесь. А вот насчет одних и тех же вопросов - не совсем. Медицина стремительно развивается, и что было актуально в 2010 году, сейчас уже просто история. И хочется обсуждать наболевшее с теми людьми, которые сейчас проходят лечение и спрашивать у них сейчас- в реальном времени. Информации в интернете немыслимое количество, но что может быть ценнее мнения человека, который проходит лечение сейчас?
Марта, я в восторге от того, как круто затягивается саггитальная щель! Ведь как здорово выходит, а! Порадовалась прям как за себя.
Марта, Оля, да я сегодня чет ворчу целый день. Все ок. Про незубные книжки темы, конечно лишние. А вот 100 оттенков эмали можно обсудить
lolly, спасибо большое)))
liholetka, спасибо))) и вдвойне приятно, когда длительное время слышишь, что ничего не получится)) а вот оно как иногда выходит))
SunFloweR,спасииибо)) вообще, я никогда не обращала внимание на асимметрию своего лица... но когда что-то поменялось- сразу в глаза бросилось) долго думала, что же все-таки поменялось и почему)) потом связала это с центром, т.к. эти изменения произошли именно когда он выровнялся и нижним)
я думаю, раз твоя орта выбрала симметричное удаление- значит так надо и в конце будет шикарный результат)) хотя мне уже и сейчас нравится, как у тебя все получается))) очень красиво))
Jusya69, я рада, что не одна такого мнения)) а читать сайт с 2010 года- это мощно))
Annachka45, " сейчас мы по сути флудим, так как надо меньше флудить"- ахахах))) вот это ты завернула)))
Ольха, да, в чем-то я с вами согласна. Но когда попадается на одной странице по три одинаковых темы- как минимум странно))
Саш, спасибо))) как там твоя каппа?) привыкла?
lenka-penka, ооо, 100 оттенков эмали- это круто
лучше говорить о них, чем про итоги года и т.п.





Поздравляю с выходом из знаменитого клуба)))