Зубы, которые гуляют сами по себе
Решила тут сравнить КТ сразу после оп. по рассечению нёбного шва, сразу после расширения и после снятия аппарата.
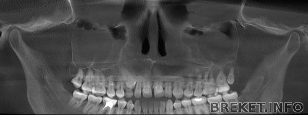
тут уже есть небольшая диастема, которую раскручивают во время операции
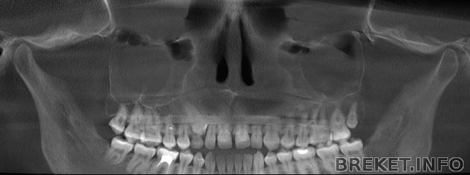
тут расширение видно во всей красе
а здесь уже можно видеть стремление зубов встретиться((( но корни не пускают их (почему-то)
Вид сбоку
Вывод один - скорее бы операция
Судя по сайту Комитета по здравоохранению СПб, процесс получения квоты почти не изменился, это дает надежду.
Комментарии
AminoTabs, никуда не делся, просто в разрез не попал))) Там каждый раз дугу выстраивают по-разному в программе, чтобы этот вид получить. Вообще странно, что мне эту малышку не сказали удалить, может, потом....
27.02.2015 - 15:26
У меня на всех снимках 8-ки тоже как горошины выглядели, я уж надеялась, что они без корней вообще, но нет - корни были и еще какие))
Я не поняла, правда, насчет операции...Вам ее уже делали или еще только предстоит?
27.02.2015 - 17:48
Striges, была, рассекали небный шов, будет остеотомия челюсти
27.02.2015 - 18:12




там справа восьмерка-горошина. куда у нее корень делся ?