8 месяцев и 4 раза урааа!!! (ТЯГИ!)
Парам-пам-парам-там-там! Была сегодня на очередном приеме! Счастья и радости полные штанишки. Потому что начали с того, что
1. Спилили мне ненавистные надкусочные пломбы, теперь сижу плююсь их остатками. Урааа.
2. Далее я снова нажаловалась орту - мол все красиво, а вот единички на ВЧ бесят. На что мне тут же скусили левый брекет и переклеили его, а потом я 40 минут сушилась в коридоре без дуги. Урааа, неужели они будут ровные.
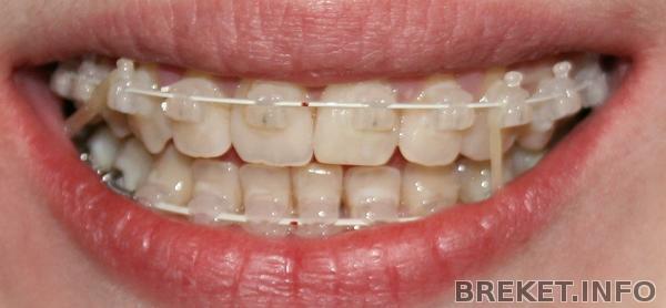
3. Далее мне поменяли дуги на ВЧ и НЧ - они обе белые, Ураааа!
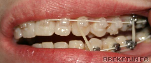
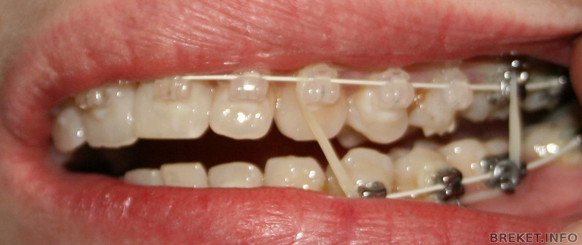
4. И нацепили мне две тяги - правая от верхнего клыка до нижней 6-ки, и левая от 3-6 сверху 4-6 снизу ураааа! Правда тяги у орта кончились, остались только эти две. Так, что я пока не знаю что это - бобры, троли...., во вторник иду к нему за пакетиком.
Уже поела, потом с пинцетом и зеркалом минут 10 пыхтела надевая тяги обратно, одна отскочила и куда-то улетела! Я с криком: "всем стоять!" кинулась на пол искать тягу (у меня же их всего 2-ве!" Даже Боня покорно замерла на месте. Мама заметила ее на белом кафеле и торжественно мне вручила. Вот сколько всего мне сделали, времени мало, побежала за пивом (потому что уже больно!). Поэтому пишу так кратенько и быстренько, ну и вот вам фоточки.
П.С.: с момента фотографирования прошло уже 2 часа - единички на ВЧ уже выпрямляются на глазах ураааа!!!!!!! Потом возможно дополню пост подробностями.
Комментарии
Ураааа! Отличые новости!
Оооо!!! Сколько всего и сразу - это прямо-таки Рождество какое-то!
Поздравляю с обновками и датой! Ураа, товарищи!!!
Пиво... очень хочу Амстеловский Раддлер с лимоном... да где ж его взять!
Поздравляю))Вопрос:а реально ли обойтись без "долгожданных" тяг? Меня прям кошмарит от этой перспективы.
Planeta, аналогично!
Поздравляю с тягами)))) Это классно! И я хочу свои макраме обратно
А орт не сказал, ниче с тягами не будет аж до вторника? Мне кажется они растянутся и будут просто ниточками.... Мне иногда после 10-12 часов казалось, что они уже сильно растянуты.
Кристиша деваться все равно мне некуда, новыя тяги я получу только во вторник вечером
Я спросила, он мне сказал - носить до вторника - следующие ЦУ я получу вместе с тягами.
Lyer, Планета - как я помню наша прекрасная Алхимик обошлась без тяг, все зависит от прикуса, ну в моем случае (как я писала месяца эдак 4 а может и два назад - с моим прикусом мне прописано до самых ушей.
Юленька, я знала что ты будешь завидовать. Я сама удивилась, когда орт сказал про тяги. Как так рано и уже тяги. На что он мне ответил: "Ты переходишь на новый левел". П,С, иногда мне кажется что он экстрасенс, потому что его шутки бьют прямо в точку, откуда он знает, что я геймер?
Leno_op4uk, сяпки
так не честно больше тебя ношу пломбы . да и тяги уже почти пол года .так супер все
Ох у меня тяги когда полтора месяца было уже ношу какое рано
,у меня теперь чейн новый левел как месяц уже
Поздравляю с игрой в резиночку
и избавлением от вселенского надкусочного зла. А ты темное или светлое любишь?
Недавно попробовала теплый зимний радлер - еще то извращение.
Лена, Теплый зимний?
вот это, и правда, извращение!
Белые дуги- красота!
С обновками
Домашние-молодцы отлично поддерживают
Какие зубки красивые!!! А при разговоре тяги сильно в глаза бросаются. Не хочу тяги





Ааааа!!!!!! Урррра!!!! *завистьзавистьзависть белая* Поздравляю! Это очень круто, долгожданные тяги, долгожданное избавление от пломб)))