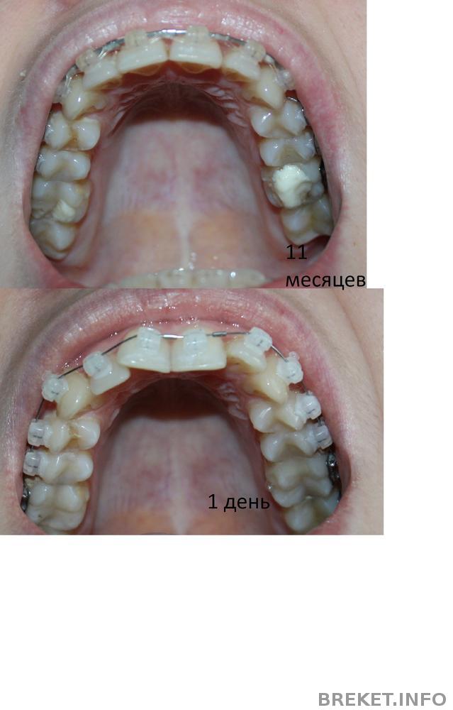
Результаты за 11 месяцев
Всем привет!, Спешу поделиться своими результатами за 11 месяцев..., Ряд прям радует!!)), Но вот с прикусом никак не справимся... Точнее орт как то не спешит...., Резинки носила всего 1,5 мес., обещал в следующий прием начать сепарацию, сказал будем не сразу все зубы сепарировать, а по 3-4 штуки..., что бы поймать расстояние..., но мне кажется оно у меня настолько большое, что можно и все сразу пильнуть и собрать в кучу... хоть обрадовал, что без удаления справимся... наверное....., он у меня такой загадочный....,
Ну вот как то так..., безумно хочу закончить лечение до НГ...
Комментарии
как здорово передние зубки выпрямились! круть)
И правда - очень красиво!
Отличные результаты!
И я присоединюсь)) Отлиичные результаты
Спасибо всем))) Похвала , лучшая мотивация!!!)))
Единички отлично развернулись! Результат на лицо!
А как вам на НЧ поставили керамику? На последней фотке видно что было большое перекрытие нижних резцов верхними. У меня примерно так же, очень хочется керамику, но получится только с "прибамбасами" - надкусочные пломбы, защитные лигатуры на нижние брекеты...
Почему так много многоточий...? Что этим хотели сказать...?
я всегда нервничаю, когда такие тексты читаю... ![]()
Но с прогрессом поздравляю, конечно...
Dogeva , у меня изначально был дистальный прикус, да и пломбы надкусочные стоят, поэтому соприкосновения нет. С пломбами проблем особых нет, за исключением неудобного принятия пищи)))
aussie_girl , Аха))) Многоточия, это значит непонятные ожидания))) Т.к срок лечения уже не маленький, а результатов хочется чуточку больше)))
ооо какая красота
Желаю ощущение постоянства и стабильность




Как красиво уже! Разделяю желание снять к НГ, но особо не рассчитываю.