попа пост и фотки
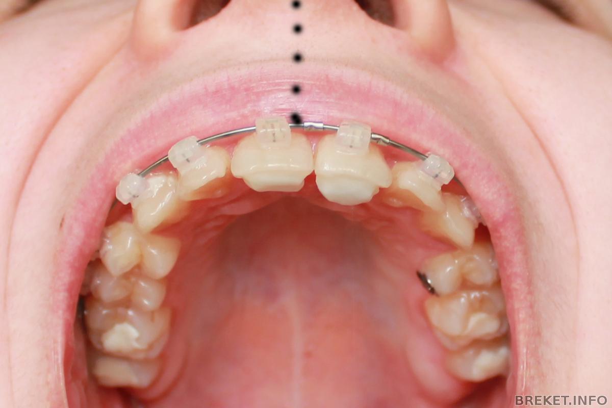
Название говорит за себя, а у меня с зубами именно это. Год и я месяц я ношу брекеты, когда сниму -не знаю, но ощущение что носить ещё столько же а может и больше., рано радовалась когда в начале лечения говорили 1,5 года стандартный срок лечения и вы в него входите., ой как рано я радовалась.На данный момент состояние такое: каждый прием переклееваем брекеты, зубы не хотят вставать в нормальную лини, на нижней челюсти перекос волна толи из-за тяг которыми мы стягивали верх и них после образование дырени, толи из-за чего то ещё., и дыра не закрылась, и зубы теперь торчат выше всего ряда и это никуда не девается, дуги не тянут их так как перекос достаточно большой., и вся челюсть стала уходить вниз, но мы опять же тягами пытались вытащиь отдельные зубы сняв дуги! 2 недели я была без дуг, зуб вытянули но как мне кажется сейчас он опять ушел вниз, хотя дуги и одели после тяг. На последнем сеансе(так можно назвать посещение орта)
мне налепили надкусочные пломбы внимание !!!!на верхние передние 1-ки. это было 7 марта) орт ещё спросила может после 8 марта прийдешь? типо шашлыки башлыки есть не сможешь челюсть в воздухе висеть будет))) я наотрез отказалась затягивать с этим и она мне их поставила фотки ниже)) и вот прийдя домой и поев орешки(не спрашивайте как) напало на меня унынье вот и год пролетел , а толку ноль., и кажется что с моими зубами идеал совсем не идеал., форма у них странная какая то не как у всех, квадраты какие то, фу. ну пусть хоть ровными будут .. может хоть это будет плюсом.когда были вкривь формы их не замечала как не странно. Ещё мне переклеили брекет внизу, на клыке, к он очень низко стоит.. тут я не особо поняла как она его переклеила, разницы не заметила особой.перед этим мне ещё на прошлом приеме переклеили на верху на 2-ке, разницы тоже особо не заметила, но видимо моя неразговорчивая орт идет к своей цели ) На следующий прием по её словам ОПЯТЬ ЖЕ мы переклеиваем брекеты . вообщем кружок лепки и переклейки.))) но мне уже всё равно, пусть только сделает их ровными!сейчас чувствую давление из-за надкусочных пломб..и как мне кажется они опустили немного пои нижние зубки.. которые так торчат.
О насущном- работы нормальное нет, я почти дипломированный юрист а мне предлагают 10 тыс за полный день.. как жить на такие деньги? у нас уборщицы больше зарабатывают простите уж..
кризис в творчестве поломка техники и всё за последние пару месяцев, нужны деньги а их нет, и ото всех давление ,критическое давление. Хочется свободы, душит серость , обыденность и непонимание как выйти из сложившейся ситуации. всё будет хорошо, но не сегодня.
Больше писать не хочется смотрите фотки , ужасайтесь, пишите комменты)
Комментарии
Не люблю такие посты, сразу очковать начинаю
кто-то говорил, что волной зубы идут, когда им места нет..
Антиген я тоже переживаю
Попробую чуть-чуть преободрить. Накусочные пломбы на резцах - это вещь! У меня такие же, только металличские, посмотри в альбоме, моя "волна" на НЧ сгладилась с ними на ура, теперь дуга почти ровная! Правда процесс этот не быстрый - в моем случае он занят год - но главное, что есть результат.
Мне тоже орт раньше часто переклеивала брекеты (меня это ужасно бесило!), это давало эффект с переменной успешностью, сейчас я уже на последних дугах, на них, вроде как, переклеилавать нельзя (не нарадуюсь), а, если возникнет необходимость, придется после переклейки ставить снова предыдущие. В общем, с новыми толстыми дугами этот кружок лепки должен закончится.
elly да из нижнего)
StacyJohn посмотрела фотки.. результат конечно впечатляет!!
aussie_girlа я спокоен как танк, уже не переживаю, смысла тратить нервы просто нет, я уверена в своем орте и почему то не волнуюь, меня просто расстраивает ход дел, и время которое летит а зубы не правятся
Вам удалили четверку только с одной стороны или я обсчиталась?!
Центр знатно уехал, надеюсь, что исправят.
У меня низ волной пошел, когда место не хватало, надеюсь, не ваш случай. Т.к. у меня все нормально встало только после удаления двух четверок. :с
я как только вижу такие волны на НЧ- сразу Улыбашку вспоминаю) и все ее переживания по этому поводу)) но посмотрите и на ее результат- все практически исправилось)) тяги помогли)) но да, это занимает время.
Терпения и еще раз терпения. К сожалению, не все так быстро, как нам хотелось бы)
aussie, ты-то что переживаешь, у тебя и так классные зубки! Это нам, знатным кривонам стоит опасаться
Вот не пойму, все врачи говорят, что когда нет места, зубы вперед ложатся, а почему ж тогда они волной идут
у меня такая же с одной стороны с низу волна идет, исправляем тягами
Девочки, тут действительно удалена одна 4ка. Хотелось бы, чтобы на такой результат одностороннего удаления посмотрели все наши брекетоносцы, чьи врачи предложили такое. Мне кажется, в вашеи случае все обошлось бы без удаления, тк промежутки между зубами говорят об излишке места.
Кать, у Ирины орт считается одной из лучших у нас в городе. Думаю она все просчитала
elly
, ей 4ку удалил криворукий врач в детстве. Блин, обычно либо предлагают симметрично вторую удалить, либо наоборот, освободить место под имплант..как-то так..
мне лень всё читать,но я посмотрела фотки ,ужаснулась,написала коммент.
Antigen, зачем такая категоричность? поищите на форуме, есть отличные случаи лечения с одностороннем удалением, в том числе и когда зуб не вырос/был удален раньше. а у Irin Irin, как вы понимаете, ещё не финал, я надеюсь, всё получится! а так можно про многие промежуточные результаты говорить "Хотелось бы, чтобы на такой результат ... посмотрели все наши брекетоносцы, чьи врачи предложили такое", и лучше вообще БС не ставить, мало ли что.
у меня зубы пошли волной не только от скученности, но и из-за того, что резцы и клыки на НЧ были существенно выше коренных зубов, а дуга это "сгладила" - так что случаи самые разные могут быть.
по поводу работы.. а ты вообще работала по спечиальности? или сразу хочешь,чтоб тебя взяли за оклад в 100 тыс?)) просто щас юристов как собак.
Stacy, в данном случае центр уехал именно от одностороннего удаления 4ки, и автор поста сама об этом написала (поищите самый первый пост), а так же она написала, что главврач поликлиники в тот момент сам ей сказал, что так нельзя было делать и он не сможет ей помочь. Это не моя категоричность, а мнение всех адекватных врачей касательно одностороннего удаления.
Amino, ну 10тр - это вообще смешно... Только ЖКХ заплатить и за дорогу до этой самой работы - все, кушать только очень экономно
Antigen, есть еще Бурундучек, у которой односторонее удаление и все ок. И я тоже, удалили в детстве) у меня все ок и центр поставили. Удалить зуб для симметрии- будет слишком много места, а для импланта его слишком мало. Так что не в одностороннем удалении дело, а во враче. Но если он, как говорят, один из лучших, то сможет все легко исправить, только на это надо время.
Почти дипломированным больше найти зп сложно. Я с дипломом первые полгода получала 15, и это Москва. Как нам говорили наши преподы: сначала надо пояса затянуть, чтобы тебя проверили, и если ты спец.стоящий - тогда и зп будет соответствующая, так что для начала опыт, потом и все остальное требовать можно
Lyer не,я согласна,что это не деньги. НО юрист - это ответственная специальность. И платить много будут тому,кто не побоялся 10т.р и пошел, пробился и добился. А если думать "ой,это копейки,лучше дома посижу",то и не добьешься ничего. Как я уже говорила, юристов полно, + уйма купленных дипломов.Вот и не спешат им огромные деньги платить.
Juls128 согласна
Надеюсь, что орт все исправит. Раскритиковывала свои зубы, они ж и обидеться могут))) Нормальная у них форма, орт наведет красоту и будет все, как говорит мой знакомый, чики-пуки)))))
Может и правда стоит пойти поработать на небольшую ЗП. У нас вообще бытует мнение, что юрист должен года 3 поработать так сказать в подмастерьях, что б набраться опыта и претендовать на более высокую ЗП. Все-таки знания, которые получены в универе и рядом не стояли с реальными обстоятельствами. Одно дело то, что вы учили, совсем другое то, с чем столкнетесь в работе. Главное с чего-то начать и не сидеть сложа руки)
Раз доктор один из лучших, то рано огорчаться! Насчет 10 тыс. для юриста-желторотика, могу сказать как бухгалтер, что моя первая зарплата была 6000 руб. с дипломом хорошего вуза в кармане в СПб, на севере со всеми плюшками моя зарплата была 12000 руб. и так было полгода, потом подтянули до 16, а потом я набралась опыта и свалила почти через год на зарплату и условия поприличней. Дело не в деньгах, а в опыте. Многие работают юристами на полставке в 3-х фирмах и уже приличные деньги выходят. Так что денежные амбиции надо задвинуть подальше, сосредоточиться на опыте и дерзать. Брать неопытного на зарплату в 30-ку с лишним - это извращение.
Надеюсь, что волна уйдет!
Привет! Не унывай посмотри на мою волну, которая была, если будут вопросы пиши в личку, постараюсь ответить на все вопросы. Главное конролировать процесс и не впадать в панику. Я свою волну переборола и ты это сделаешь, верь в свои зубки!
Я впадала в панику, это убивало внутри все желание идти дальше. Зубы у тебя хорошие, наговариваешь на себя, радуйся тому, что они есть
жуешь орехи, что еще нужно)))
Все будет хорошо, мне обещал дед мороз
Блин, у меня низ просто идентичный и ещё заборчиком идёт...вот же ж блин(((
у меня верх также сильно уехал, но у меня орт настаивает на удалении на противоположной стороне зуба № 4.
А зубки то, что волной не переживай все наладится, всему свое время...







Даже не знаю что написать
Irin Irin если я ничего не путаю, Вы тоже из Нижнего?