Брекетам три дня!
Привет, друзья!
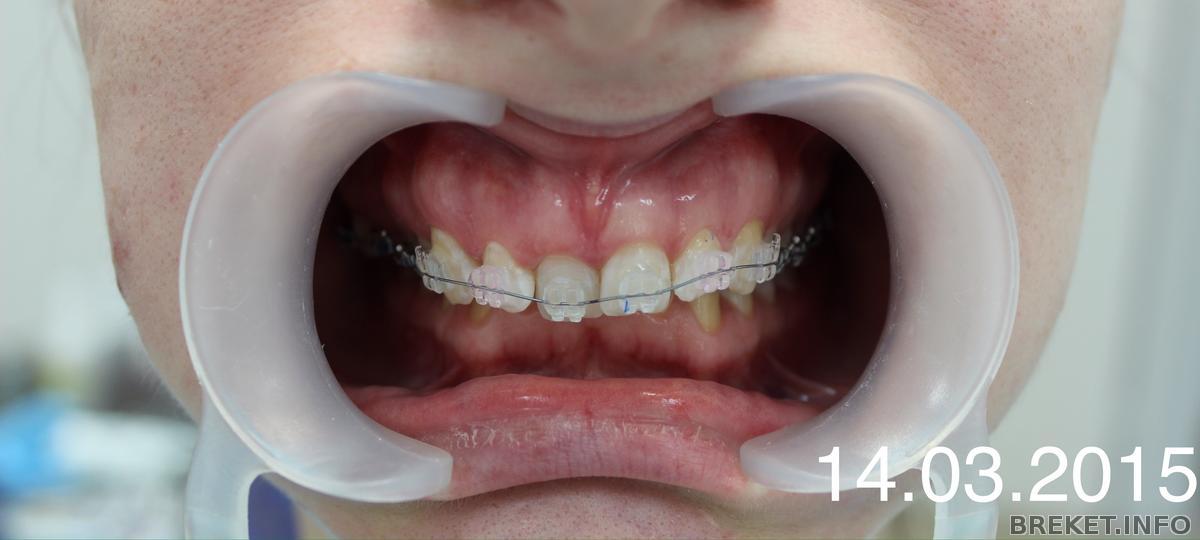
С небольшим опозданием пишу про установку на ВЧ и вкладываю пару фоточек. 14.03 случился день ИКС, установили БС. С клыка по клык - сапфировые, на задних зубках - металлические.
По предварительным прогнозам носить полтора года, а там видно будет, может и больше. Ортофея говорит случай не из легких. Но ради красивой улыбки я уже готова на все!
Вкладываю фото до установки и сразу после. К сожалению, не спросила фирму брекетов, да оно и не важно, лишь бы работали!
На первую неделю поставили самую тонюсенькую дугу, но не стоит ее недооценивать, тянет она как надо! Видимо с непривычки еще.
Через неделю опять идти, смотреть прогресс и менять дугу. Но я уже чувствую, что челюсть пришла в движение.
Дали кучу щеточек и воск, тоже выложу их) и сказали купить ирриготор, но об этом чуть позже...
Комментарии
Согласна с Катей, зубки хорошие, вот будут ровные и будет красота. А как прикус исправлять планируете?
Спасибо!
пока хожу с вч, далее ставят разобщающую пластинку, чтобы нч выдвинулась вперед. Затем установка на нч и резиночки (вроде тяги называются?), тк еще к тому же у меня оклюзия (то есть чтобы боковые зубы на вч поехали вниз, а боковые на нч - вверх).
Ирригатор это вещь суперская, а вот щетку я тоже вначале купила а сейчас не пользуюсь у меня электрическая с кучей насадок мега вещь)
Valide Щеточки мне все дали, пока пользуюсь только монопучковой и щеткой с вырезом под брекеты, ершики еще не пригодились) у меня тоже есть электрическая, но ортодонт не советовала ею пользоваться, чтобы случайно не повредить БС. Ирригатор да, обязательно куплю его!
Красивая улыбка будет)
Я бы тоже себе ирригатор взяла, но больно уж они дорогие. Пока что справляюсь щетками и ершиком)
Я нашла в аптеке около дома (что уже странно
) за 2700... Но думаю он того стоит
С установкой ! ![]()
А мне моя орт, говорит что электр.щеткой мне можно пользоваться...Я уже не представляю себя без электр.щетки...мне кажется, мои обычные щетки, не прочищают полость рта, также хорошо как элетктрическая...



Прикус, конечно, глубокий, но сами зубки очень даже ничего) с установкой