Ну что, тебе все нравится?
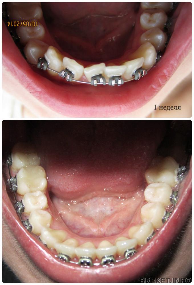
Нравится ли мне результат лечения? Однозначно! Это земля и небо, это несравнимые две разницы.Эти два месяца я ношу жесткую финальную дугу и металлический чейн, зубки с ними прям так подсобираются) На последнем приеме орт поинтересовался, все ли мне нравится, какие замечания, может что подправить?
А так он уже готов снимать хоть сейчас.
Я конечно же найду к чему придраться, попросила его сделать что-нибудь еще с клыком и щелью между челюстями.. она небольшая и заметна только мне,но есть. Сказал, что попробовать можно и опять назначил тяги по схеме 6/3|3\6. Результат чуточный, но вроде есть. Но он предупредил, что лечение без удаления-на чудо не надеяться лучше. В общем мы на финишной прямой и все наши основные задачи выполнены.
А именно, за 1 год и 3 месяца:
-Удалили все мудрости
- Выровняли зубные ряды
- Поставили прикус ( как выражается орт "Очуменно классный"
)
- Вернули клык на свое законное место
- Избавились от щелканья челюстей и судрог в ВНЧС
- Поставили центр (это вообще не входило в основные планы, орт на это даже не расссчитывал)
-ИЗБАВИЛИ МЕНЯ ОТ ЧУДОВИЩНЫХ КОМПЛЕКСОВ
результат:
Прикус:
Лево-
Право-
тут надо сделать ремарку.. Именно эта щель меня смущает, но орт утверждает, что все необходиме контакты у клыка и четверки с нижними зебами есть)
![]()
В общем, милая моя песочница зубастиков, скоро, а точнее в начале мая, я покину вашу веселую и такую теплую компанию ![]()
Привет, старички!
Комментарии
А единицы подправлять не будете?
У меня в точности так же одна единица в параболу недовписывается, и начинает потихоньку расстраивать...
Отличный результат,особенно за такой временной отрезок!
хороший результат, поздравляю
но у меня тоже вопрос насчет единиц.
Отличный результат! И срок небольшой!
омг)))) Марго))) вот это новости)) ураааа
я, конечно, ожидала твоего скорого снятия и все ждала от тебя хоть каких-то новостей... но все-равно так неожиданно))) очень рада за тебя, что ты быстренько отделаешься)) мне тут еще сидеть и сидеть, о снятии речь даже не заходит)) да я мне самой все не нравится, что не готова с таким результатом снять)) терплю и жду чуда))
зубы твои щас не узнать практически)) как-то они повзрослели)) стали такими серьезными и красивыми))) мне очень нравиться, несколько раз пересматривала фотографии))
кстати, показалось мне или нет: ты левый клык подпилила немного?)) он теперь не такой острый, как был))
п.с. про единицы мне тоже интересно, а то мои до сих пор не стали как надо и ниче им не помогает((
Спасибо всем) Срок и правда небольшой, как и бещал орт ![]()
По поводу единицы
Дело в том, что этот зуб депульпирован и отрестарврирован уже лет 10 назад, отреставрирован не очень правильно, его слишком сильно нарастили на фасаде, он был толстый и режущий край смещен, ну то есть это его не анатомические форма и положение. Орт спиливал прилично его с внешней стороны, чтобы правильно наклеить брекет. Если присмотреться, то можно увидеть, что брекеты на одном уровне сейчас находятся. В общем зуб находится в идеально правильном положении относительно зубной дуги и ряда, но сам по себе не правильной формы. Это все учел орт. И мне в последствии объяснил. Я буду реставрировать этот зуб после снятия и все станет красиво и ровно) как-то так
Марта
Привет,дорогая)
Да я сама тоже оттягиваю момент снятия, все сомневаюсь и присматриваюсь к недочетам
Сама понимаешь.. Орт не настаивает на снятии и учитывает пожелания, что очень радует, так что сейчас подождем действия тяг и будем закругляться. А они походу, все же работают, дуга вылезла на 7ках пару дней назад и ацки разодрала щеку, надо еать подрезать, а то есть не могу..
В нашем деле главное- терпение. У тебя тоже не так уж много работы осталось, а в основном то - красота уже
Спасибо, я тоже вчера пересматривала всю историю и коллажи, еще мечтаю красиво отреставрировать верхние единицы и двойки, тогда прям ляпота будет)
надо съездить прицениться уже ![]()
Клык не трогала, он видимо, подвинулся так) или ракурс фото немного другой - скорее из-за этого ![]()
Твои единички встанут как надо с металлическим чейном, и наклон и ротация, все будет ок
Марго! Какие новости хорошие! Улыбка красивая и широкая стала. Как же я рада, что ты услышала от орта такие слова!
Меня они не скоро ждут...
Mairead, результат потрясный!!! Но один момент, у тебя будет каппа после снятия, если да, то не лучше ли сейчас каким-либо образом отреставрировать зубики, а иначе потом каппы менять???
о, у меня практически такая же расстановка зубов была до, и положение очень похожее, мне тоже скоро предстоит снятие (думаю через месяц точно), у меня вопрос как и у всех. Что будешь делать с единичками?я у себя подпиливать хочу, но боюсь
Leno_op4uk
Привет! Спасибо большое!
НИчего,наберись терпения, все-все-все затраченные усилия и все время стоит того, чтобы зубки были ровные и здоровые
Annachka45
На счет этого будем с ортом разрабатывать план) скорее всего сначала снимем, в тот же день сделаю реставрацию и бегом за каппой.. ну это я себе так представляю эту ситуацию
чего придумает врач-без понятия
Спасибо!
SvetlankaS
Ну тут не много вариантов, реставрация и никакого подпиливания, мне зубы жалко
Mairead, привет! Какие положительные новости)
Я так за тебя рада! Скоро финиш, это будет лучший день) Можно будет улыбаться с голыми зубами и дарить себе и миру радость своей улыбкой)
Результат отличный ты, зубки и ортодонты умнички!
Улыбашка
Привееет ![]()
Лучший - это точно) жду не дождусь уже, хотя не представляю себя без брекетов ужоо ![]()
Что думаешь по поводу смыкания справа? биться над ним или все таки согласиться на этот вариант?
Классный результат






ух ты, поздравляю! действительно, хороший результат!))) ееехоооууу скоро снятие!