установка на НЧ + фотки ДО всего
Установка на НЧ должна была пройти в среду, но доктор не принимал, так что всё перенеслось на сегодня.
Прошло всё очень быстро, не больно, в общем, супер. Доктор мне сам выбрал цвета лигатур =)
В следующий раз, сказал, надеется заменить дуги на обеих челюстях.
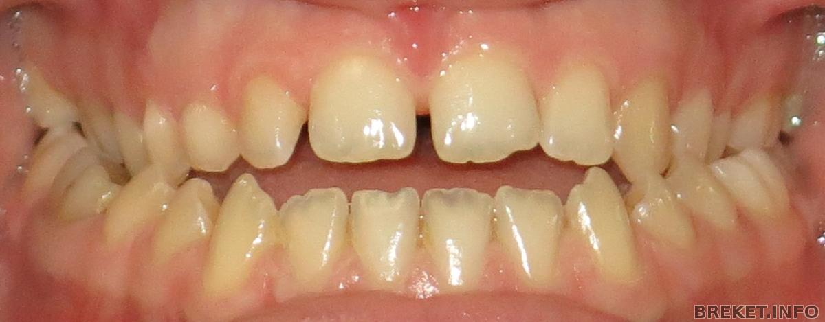
На фотках всё выглядит, конечно, супер убого, но, когда я открыла фотографии ДО (которые сегодня взяла у врача), поняла, что даже с огромной щелью лучше, чем так, как было.
Хоть убейте, не помню, чтобы мои зубы выглядели ТАК. И диастему не помню, и кривой дуги. Видимо, за 21 год так привыкла, что казалось, будто не всё так плохо. ЖЕСТЬ.
По срокам, пока что ориентироваться на 4-6 мес. выравнивания, потом подавать на квоту. Видимо, пока очередь на квоту будет идти, закроем щель (в теории, хотя я не расспросила
)
Извиняюсь за качество фото, оказывается, тяжело так открыть рот, чтобы было видно обе челюсти, и не трясти телефон при этом от напряжения ))
Комментарии
ЮлияHowes, спасибо, Юлечка!) И на нашей улице будет снятие
Очень надеюсь, что все пойдет по плану! Терпения тебе и сил)
Поздравляю!
Знаешь, а сейчас действительно лучше! Даже не смотря на все эти временные траблы!
Kristisha, я тоже очень надеюсь, что зубы на ВЧ очнутся и придут к согласию по поводу высоты) А там уже смогу думать про операцию)
MSav поздравляю
С установкой!
MSav, поздравляю с доукомплектацией!!!
Очень волнительный момент!!! Сама жду с нетерпением оковывания НЧ)))
Annachka45, волнительно, да, только болит НЧ очень и весьма неприятно. ВЧ совершенно индифферентная, приходится еду ломать о верхние зубы))


ну что, дорогая! принимай поздравления! молодец! всё движется и к лучшему! так что всё решится в твою пользу! УСПЕХОВ!!!!!!!!!!!!