ретинированные зубы(
всем привет! мне назначили удаление двух ретинированнованных зубов на нижней челюсти. предложили удалить сразу два в один день...задалась вопросом на сколько это будет правильно. был ли у кого-то подобный опыт? больше всего волнует не боль, отёки и остальные последствия удаления, а как потом кушать, если обе стороны будут болеть, а передними зубами кусать нельзя из-за БС
Комментарии
elly, в этом вся и проблема, хотела по-нормальному сделать, сначала с одной стороны верх и низ, потом с другой...но не вышло, удалил сразу два верхних (они не сложные и вылезли), поскольку время у него было только на них, да и с записью к нему беда, и предложил в другой раз сразу два снизу, мотивировал тем, что зачем растягивать "удовольствие" на месяц, можно сразу отмучиться...а т.к., меня время поджимает, надо уже на нижнюю ставить бс, я согласилась...вот думаю не зря ли...наверное буду супчики, пюрешки и т.д. кушать...стремно как-то
я не представляю, как можно сразу 2 снизу удалить. и так-то рот не открывается, еле ложка влезает, а тут еще с двух сторон такая шняжка будет
(простите за мой французский)
Reflection, дак вот и я думаю, может еще дальше перенести установку БС на НЧ...в обще, мне должны были в апреле установить...из-за удаления перенесла аж на 16 мая...если по очереди удалять, то установку еще перенести надо будет....ужс какой-то...это при том, что я в поиске работы и думаю сложно будет искать что-то будучи хомой не разговорчивой и страдающей от боли...((((((((((
надо будет подастовать врачей с вопросом как лучше...
ну если что, буду через трубочку суп-пюре глотать - диета, чтоб ее))))))как-то пугают его предложения по удалению сразу двух...
Поддержу, Катю, у меня после верхнего-то ретенированного зверский отек был и рот не открывался неделю, а если сразу два ретенированных нижних, лучше наверное сразу убиться, чтоб не мучиться.
elly, эххх...печаль печальная...спасибо))буду думать
Надия понимаю что хочется быстрее поставить брекеты, но это правда очень тяжело наверное, сразу 2 нижних выдрать. Удачи!
Ой ой просто посочувствую...
elly, вот я и думала - надо посоветоваться, может кто все же делал так и выжил
...теперь буду договариваться с врачами, что как...спасибо большое!))
aussie_girl где моя не пропадала, если ж все таки решусь на два - напишу как это было
А вот мне ретинированную 8-ку час удалили + ждали когда наркоз подействует. итого 1,5 на зуб. Это что же 3 часа в кресле сидеть??
Вот поверь мне, если тебе удалят сразу 2 ретенированных, то забота о том, как поесть станет неважной)) мне удаляли восьмерку справа нижнюю минут 40, если б еще одну за раз, я бы точно не выдержала.
Боль и отек следующие 3 дня были пипец какимими достаточно сильными, особенно по утрам, обезболивающее помогало не сразу, утро начиналось со слез ( честно слово)
В четверг будет неделя, отек еще полностью не сошел, а если бы он был с двух сторон...
В общем, я бы категорически не советовала удалять нижние восьмерки сразу, не торопись
Reflection, сказали на два зуба 1,5 - 2 часа(( так что не знаю даже...почему так...может у меня не такие сложные, хотя по снимку, все типично...
Linden, может когда такая боль там уже не чувствуешь с двух сторон или с одной...для меня до сих пор загадка почему он мне так посоветовал...клиника хорошая...даже странно...завтра позвоню своему ортодонту спрошу, что за проверка на прочность...я конечно привыкла к боли (я гастритик), но я не мазохист...
Надия Мне удаляла ассистент кафедры хирургической стоматологии, она сказала, что так не делается -2 сразу, делается по сторонам)
Ну у меня хуже случай был, чем у тебя. У меня она полностью лежала и корни далеко в кости уже были. Может, поэтому так долго.
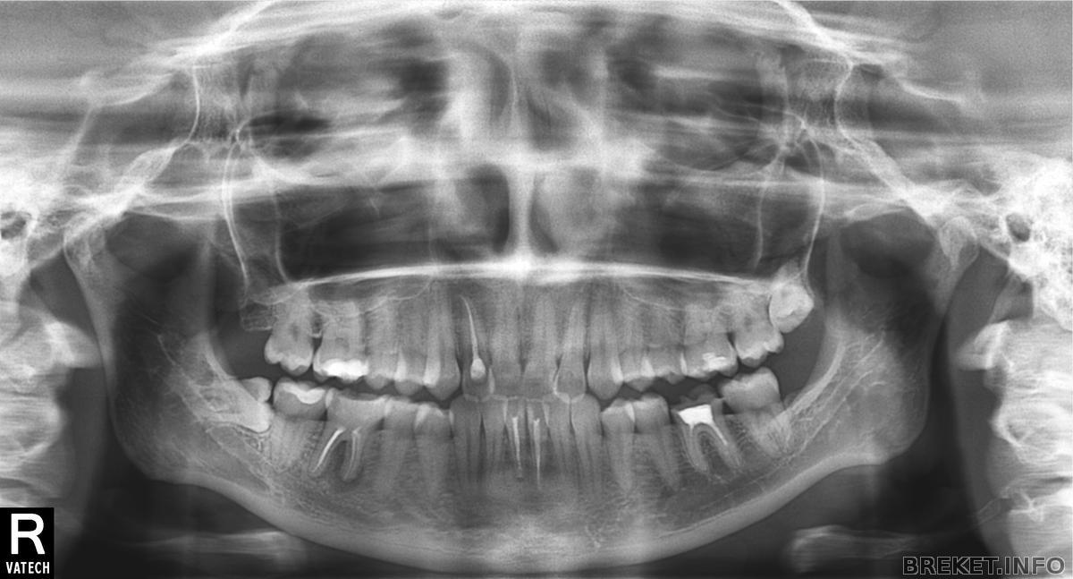
Reflections А можно кстати твою Оптг посмотреть?
Опять же, тут вполне себе нормальная практика: 4 ретированных зуба удалять под общим наркозом. Я активно это не одобряю. Но факт же. И люди идут.
aussie_girl, позвонила орту, она была в шоке, сказала давай один, потом уже после установки второй...урааааа))))она мне определенно нравится))
Reflection, у меня у подруги так было))ей очень хороший врач попался...но его трудно выловить, он с Германии приезжает...вот ждет когда же снова приедет, второй вытащить..сделал все за час, последствия операции почти нулевые, все быстро зажило, обезболивающее один раз приняла за все время..за неделю все прошло..
Вот абсолютно нормальный подход
aussie_girl, дак вот, она причем оооочень сильно удивилась что так посоветовал...может думал я буду передними потихоньку грызть (наивный)!)))
хотя мысль о том, что дважды этот ужас пережить придется - не греет сердце)но все так лучше)
спасибо всем за советы) убедилась, что таких шальных нет, кто сразу два нижних удалял - значит это не есть норма
всем красивых улыбок
Reflection, о, было бы хорошо)хорошие хирурги это всегда хорошо)
я 8 не ретинированные, уже выросшие, по одной удаляю. Вы что)
Наталья91, это не я, а врач))))я,кстати, 8ки не ретинированные, тоже выросшие, сразу две удалила (сверху) и хорошо все было. там то ничего страшного...а вот с нижними я не поняла его прикола
видимо, все зависит от врачей. мне сказали, что нельзя) точнее нежелательно. Если время терпит, удалять с перерывом пару дней
Наталья91, ну да, к тому же все индивидуально...может другой удалил бы и было бы хуже...или я так нормально переношу)))хотя не знаю, учитывая то как он мне с нижними посоветовал...то ли он мега крутой врач и делает так все классно, что отвечает даже за такую операцию, то ли наоборот не оч хороший и пренебрег элементарным....не знаю не знаю что думать))))
Мне удаляли 4 ретинированных мудрых зуба. Удаляла по 2 зуба за прием. Сначала справа (верх и низ),а в следующий раз 2 слева. Все нормально пережила.


Никак не будете кушать, вот поэтому стараются и не удалять на разных сторонах в один день.