Тянем-потянем
А вот и снова я!! Никуда не делась, просто было много дел: организация отпуска, подготовка документов для повышения категории и, конечно же, всякие мелкие беременные делишки ![]()
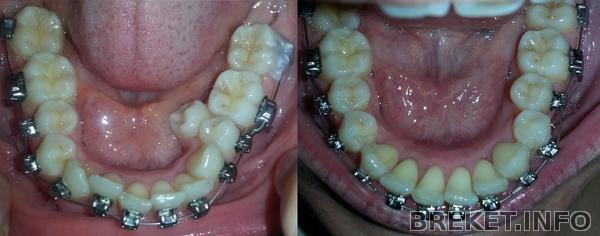
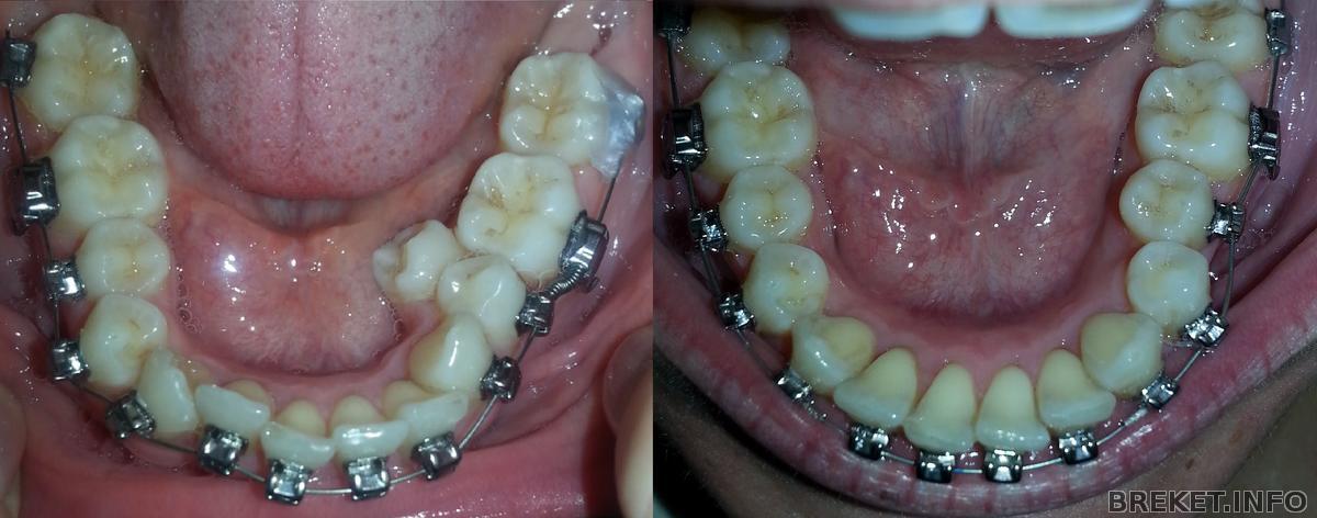
Вчера был прием у орта, с ВЧ уже давно ничего не делаем. На НЧ поменяли дугу на 16" и зубы тут же заныли. Вспомнила самое начало, когда не можешь даже попку от хлеба откусить, не говоря уж о фруктах
Пятерка движется хорошо, все по плану. Передняя группа зубов, канеш, до сих пор завалена, но эту проблему мы решим потом. Перед родами по плану постановка толстых дуг на обе челюсти и буду я гулять месяца три, а дальше продолжим.
И еще, напутствие для тех, кто сразу же бежит расставаться со здоровыми зубами: ну найдите себе грамотного врача!! В наше время большинство случаев исправляется БЕЗ удаления!! Мне предлагали удалять все четверки и кривую пятерку
Смотрите результат без удаления:
Про отпуск: гоняли в Крым на машине, здОрово! Отдохнули хорошо, загорели, довольны! Танков там нет, если чо ![]()
Как-то так! Р.С. А еще у нас девочка
Комментарии
Lyer, спасибо! Вот не зря все таки делаю короткую стрижку, напялил ободок и пошел
Это тебе! А дочке?
а то вдруг, как я, в два года заявит, что "женщину украшают длинные волосы!", и не даст их стричь?
Тогда папа научится плести мгновенные косы
Позитивный и емкий пост
а можно вопрос? Читала не раз, что мол при беременности систему снимают, кальций забирает ребенок, зубы не сильно стают на нужное место. Хотя смотрю, что многие испытывают радость материнства и продолжают заниматься полезным делом. Вам врач ничего не говорил про процесс ношения во время беременности?
я тож думала, что прически учиться мастерить надо... всякие пошаговые инструкции различных причесок себе в контакте сохраняла
а на деле оказалось, что моя дама упорно требует коротких волос, чтоб даже хвостики не заплетать ![]()
Поздравляю с девчушкой!
Эйфория, все три орта, у которых я была, сказали, что проблем с этим нет. Но. Мой орт пока отказывается делать сепарацию на фоне беременности. Кальций я пью)
Зубы классно в ряд вместились!
Кажется, как они место нашли??? А если места было достаточно, то почему они раньше не встали, как следует?
Nat, пятерка до моих 18-20-ти лет ваще была не в курсе, что должна прорезаться
заспалась пятерочка:).
Такие теплые фоточки) Поздравляю с девочкой, желаю тебе легкой беременности, хотя это очень сложно. Главное настрой)
У меня на нч тоже лежала 4 и 5, все стало в ряд, брекеты делаю чудеса с зубками)
Желаю и дальнейшего позитивного результат)
И зубы и фото - красота!
Красота. Присоединяюсь к теме сохранения зубов!
Отличные фото, море шикарно. Я не фанат Крыма, но отдельные места ничего так
очень нравятся.
Поздравляю с дочкой, надеюсь она пол не сменит к дню появления.
девочка это круто ) у нас мальчон) сначала расстроилась, потом за 2 пойду если все будет хорошо .фотки класс )
а я вышла замуж наконец то сегодня, до родов всего ниче осталась девках хожу
Антиген, какие фото теплые!!)) с девчулей вас!!!!!)
Барсучок, от души поздравляю с вступлением в брак!!!!! А мальчик это круто!!! Я тоже девочку хотела, уже и имя было))) а сейчас понимаю, что мальчики это просто ![]()
На самом деле детки любого пола -это счастье!!!!
С счастьем, вас, девочки!!)))
Антиген, как хорошо все- и зубы, и отдых, и девочка!!! Прям мимими
Всем спасибочки ![]()
Барсук, поздравляю!!!! Видишь, все таки темная полоса заканчивается и все налаживается!!
lenka-penka, ты знаешь, я родилась в Крыму и у меня до сих пор какое-то трепетное отношение к этому месту)) Хотя, как курорту, ему еще предстоит развиваться и развиваться, ибо во многом тут совок)
Крым прекрасен!!
Пусть у девочек и мальчиков всё будет хорошо!
Мои подравления!!
Барсук, поздравляю! =))))
Когда первый ребенок - мальчишка, это прекрасно! Он потом сестру будет наставлять
всегда мечтала о старшем брате...
Lyer, как младшая сестра сообщаю, что курс молодого бойца тоже что надо с братом старшим
Antigen, поздравляю с девочкой! Это здорово! Девочки такие нежные и ласковые, а как они пап обожают! Муж сначала расстроился, что у нас первая доча будет, а не сын. А сейчас обожает ее всей душой! Особенно, когда она к нему целоваться лезет!
Желаю, чтобы беременность и роды запомнились как самые прекрасные моменты в жизни!
Крым прекрасен! Вы с мужем такие счастливые на фото! Здорово!
Ты врач, какую категорию получаешь?
ZakTana, прошу 1-ю, перескакивая через 2-ю (наглость-второе счастье)
Барсук, поздравляю со свадьбой! Теперь вы настоящая семья! Как твое здоровье? Как зубы?
Antigen, ты 5 лет отработала уже? Муж говорил, что вроде сейчас нельзя перескакивать. Надеюсь, что тебе повезет и документы примут! Иногда надо быть наглыми. А то врачей итак опустили ниже плинтуса.
ZakTana да нормально вроде, ждем родов через 2-3 недели потом высокодозку будем делать , зубы норм
ZakTana, ага, 5 лет. Вторую дают через 3, но я протупила
вообще щас не разрешают перескакивать, но мало ли, проси больше-а там может и повезет
Вторую и так дадут..
Барсук, скоро свою ляльку уже увидишь
Как здорово! Какие вы милахи!)))) зубы вообще огонь как движутся! Девочка это здорово!))) лапочка дочка будет помощницей!
Antigen, правильный настрой у тебя! Главное быть уверенной в том, что ты права! Настаивай на 1ой! Муж пока только 2ую год назад получил. В следующем году ему и категиорию и аттестацию сдавать.
Барсук, у тебя кесарево будет? Держи нас в курсе! Будем за тебя и твоего сынишку кулачки держать!







Как классно! =)))) И фотки, и вы на фотках, и зубы! =)))
фантастический прогресс!
Все, Катя, теперь тебе придется изучать варианты причесок, которые можно сделать в мгновение ока, пока принцесса согласна посидеть спокойно