#20 О приобретенном(?)
В продолжение прошлого поста.
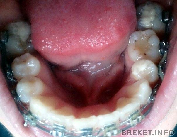
С трудом подавляя приступы самокритичности (и исключительно в целях фотоархивации) добавлю сюда несколько фото текущего состояния.
Пусть все уже куда лучше чем могло быть, но для меня ситуация оставляет желать лучшего. Пунктов на этот счет несколько:
- неурядица с центром, который, вместо выравнивания, загоняем еще дальше. Ведь ничего страшного, если центр будет соотноситься как 1-1 для ВЧ и 1-2 для НЧ? Хотя, думаю что на центр ВЧ так и будет приходиться правая единица с НЧ.
- ну и собственно, сами единички. Если на НЧ они просто уехали, то на ВЧ (их кстати тоже планируют двигать в сторону, не ясно зачем) они такие непохожие между собой, хотя бы по форме. Кажется, это ужасно выглядит со стороны.
- тут наверное стоит упомянуть образовавшиеся щели, как же их стало много. Вся эта "движуха" ради уменьшения количества имплантантов - вместо одной большой щели на месте удаленного зуба, просто сделаем несколько равномерно маленьких по всей челюсти :с Хорошая шутка.
Ну в остальном целом - это только прогресс, и я очень надеюсь что случится еще достаточное количество махинаций, иначе снятие к весне выльется в протест. Так что если делать,до до последнего.) Но и привиредничать уж не стоит, нужно просто почаще просматривать фото с грустной пометкой "до" и радоваться достижениям.
В общем, качество тут начало падать, и ВЧ уже просто не удалось адекватно заснять.
В очередной раз извиняюсь за качество и содержание фото. xD
Комментарии
Leta , зато единички какие замечательные, что сразу неточности центра и не заметишь с:
ssxse, они умело делают вид) на самом деле они как раз таки и создают перекос по отношению к серединной линии лица)
Leta , ну,тут уж мне не судить. Просто на фото нравятся)
Центр - зло! Я пытаюсь забить, иногда даже получается, но потом я опять смотрю в зеркало и бесит!






Центр?) что такое центр? У меня его никогда не было и не будет