1,6 года
Привет!)
Недавно внезапно осознала: мое лечение длится уже полтора года. Это тот срок, после которого многим снимают БС. Но я, конечно же, вхожу в список исключений))) Имплантаты, а вернее, их основа, прижилась, так что в апреле установят коронки и сразу снимут брекеты (я так предполагаю).
Все больше лень фотографировать. Еле заставила себя))
Такой вопрос по ходу: всем в середине лечения делают чистку? Вот мне даже не предлагают, но когда я фотографирую свои зубы, то понимаю, что надо бы
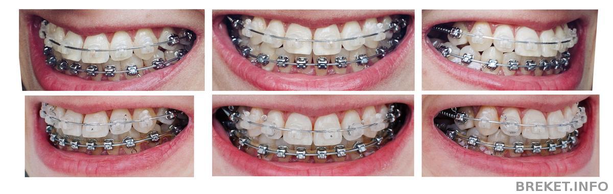
Ну а пока фото «прогресса», хотя на мой взгляд, за два месяца он совсем незначительный. Наверное, некуда уже)) Основная задача на сегодня — убрать дурацкий наклон на ВЧ слева.
Комментарии
Плюс-минус 4 месяца в брекетоношении - фигня)) особенно приятно все-таки видеть финиш, хоть и пока вдалеке, но уже такой определенный! Импланты мне тоже предстоят, так что слежу и радуюсь) правда, мне еще кость наращивать надо будет, брр..
Вообще при ношении брекетов чистку рекомендуют делать раз в 3-6 месяцев. Просто запишись сама и сходи, если хочется.
Такие беленькие зубки ![]()
Еще чуть-чуть и финиш ...
Здорово, что импланты прижились! Только что прочитала пост про установку, сначала испугалась, потом вдохновилась ))
Мне чистку делают каждые 3-4 месяца, иногда со снятием дуги, иногда без. В прошлый раз без снятия дуги делали, очень даже качественно получилось.
А как будут убирать наклон? Он был изначально такой или получился уже в процессе, когда все зубы по дуге выстроились?
Такой вопрос по ходу: всем в середине лечения делают чистку?
Сама спросила разрешение у орта и пошла сделала чистку.
Kukaracha, спасибо большое!
Alexa_Fire, в принципе, да, согласна. Но в последние месяц-два че-то напрягать стали брекеты, в связи с тем, что стало труднее прочищать между зубами пространство (всякие резинки мешают). Вот
)) А так да, время тем более летит незаметно. Месяц-два точно не критично. А насчет имплантов и наращивания кости — больше, чем уверена, что в этом нет ничего страшного
Ну вот насчет первого точно могу так сказать
Пугали только звуки))
Lesenka, думаю все же посоветоваться с ортом и потом сделать! =)
Ляся, тут еще фотошоп мой друг
) Я ретушер по профессии :DD
Mrs.XXS, не пугайся! Это только кажется серьезным испытанием. Вспоминаю этот период с улыбкой, особенно когда щеки были большими
)) Все друзья говорили, что мне они очень идут, а я думала, что после того, как они сдуются, надо бы удалить зубы мудрости, чтобы все повторилось
Наклон появился сам по себе, когда зубы встали в ряд, и он есть только с одной стороны, на фото это видно. Также сам по себе и уходит, только очень медленно.. Врач говорит, чтобы полностью ушел, нужно, чтобы прошло года три лечения.. А вообще изначально это от того, что когда-то мне удалили сначала один зуб, потом второй, ВЧ деформировалась и стала меньше НЧ, хотя должно быть наоборот. Теперь вот расширяется постепенно обратно)
А сейчас я помогаю сама себе убрать его. Мне выдали какие-то здоровенные тяги, я цепляю их к семеркам и они протянуты через все зубы. Это просто как вариант лечения у нас.. Может он и не прокатит)
Rozaria, думаю, поступлю точно также)
Постараюсь не пугаться и настроить себя на позитив )) С брекетами я себя оооочень долго настраивала, а вот с имплантами у меня такого времени нет, там хочешь не хочешь, а когда время придет, нужно будет ставить.
По поводу наклона, у орта ведь должен быть план, поэтому раз есть схема, то сработает! А если не сработает эта, то сработает другая )) 3 года лечения - это, конечно, жесть... хотя время быстро летит, мои год с небольшим пролетели почти незаметно.

Я не по теме, просто розвольте сделать комплимент - очень красивая улыбка и форма зубов