Прием 29.02.2016 и УРА я рада всех вас читать!
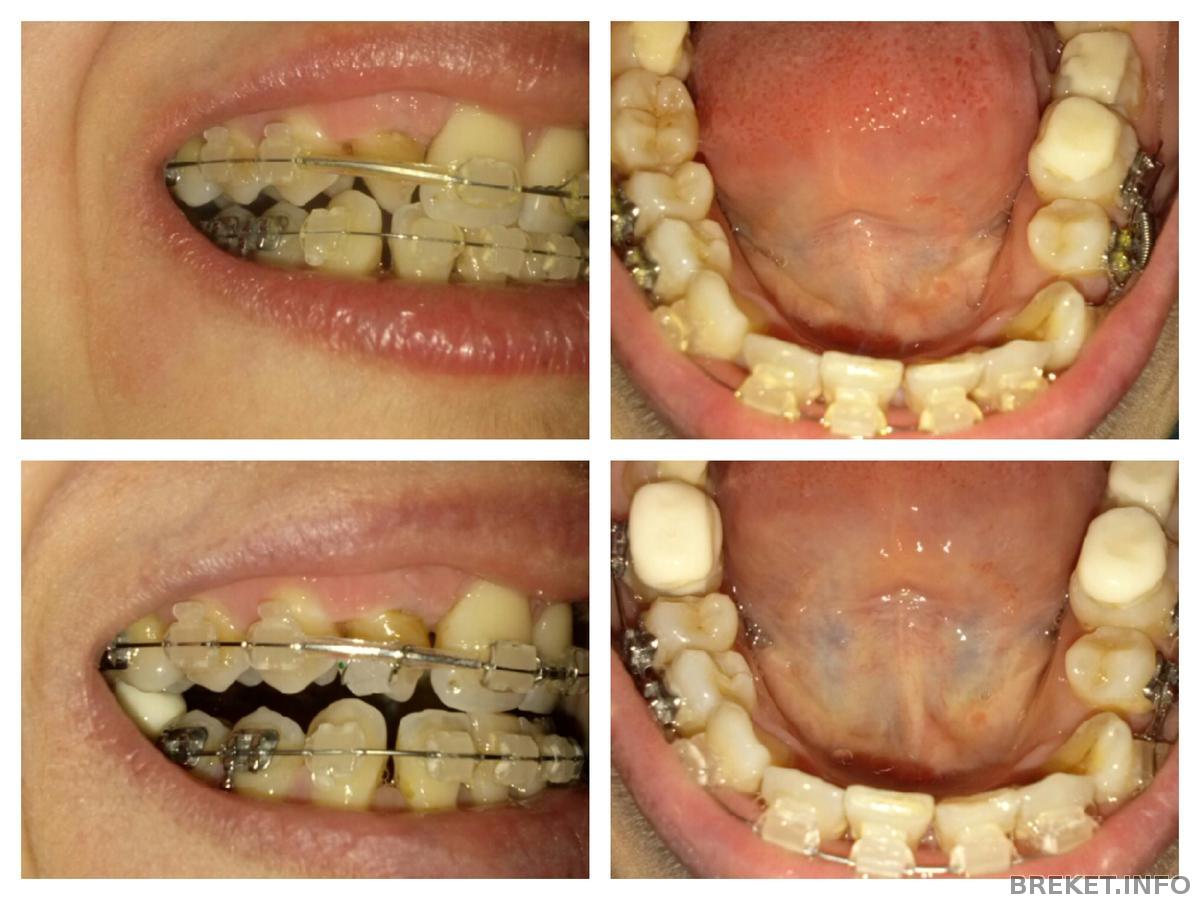
Привет всем, всех рада видеть и читать! Полторы недели была паника, куда вы все попрятались и где вас искать! Ну да ладно все восстановилось! В общем 29 февраля был у меня очередной прием, и та-дам - подключили очередной клык, начали тянуть вперед, поменяли дуги на обеих челюстях, дополнительно нарастили надкусочные. Теперь все ноет и больно кушать, такие ощущения я давно не испытывала. Добавился промежуточный прием на 20.03.2016, так как подключенные клыки необходимо активировать через три недели. Вроде бы все, можно спокойно выдохнуть, что наконец выговорилась, так как кроме вас не с кем и поделится, родные вы мои брекетофорумчане. ![]()
Прилагаю фотоколлаж:
Комментарии
А мы то как рады!
Процесс идет!
Размеры надкусочных потрясают. Смотрю всем такие огромные ставят, а мне какие-то совсем маленькие, с края шестерок. Они и не мешают особенно
Ура!Ура! Рассказывайте, а мы с интересом послушаем, кто как не мы
Kukaracha , да виден и я это чувствую, как во рту все шевелится и двигается в разные стороны ![]()
Leta а я вчера думаю где Leta , ага вот она тут как тут, вся команда в сборе ![]()
Pink_rabbit , надкусочные просто огромные, не рот а шахта на сваях ![]()
Эйфория , и ты колись что нового за 1,5 недели
Меня Халвуля призвала
а то я уже забила каждый день сайт обновлять))


Шпион, поздравляю! На фтографиях виден прогресс!