Дневники

О_о снятие

Привет-привет Вот и пришла пора попрощаться с брекетулинами. Но, надеюсь, не с вами, собратья
Саму процедуру описывать не вижу смысла, лишь отмечу, что даже не заметила как мне отклеили брекеты) Я подумала что просто дугу раскусывали. Ну, остается только похвастаться) Надеюсь, теперь стану больше фотографироваться Привет, Голливуд) И баловство с камерой

novyy_kollazh.jpg

picture_191.jpg

17.12.2014 - 06:43

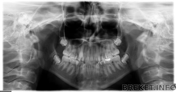
Два месяца позади, первая смена дуги.

брекеты коронки на верхние единички

Ситуация "до", спустя неделю после установки, спустя два месяца после установки (плюс смена дуги). Прикус прямой.
Первая дуга в сравнении со второй прямоугольной вела себя гораздо "скромнее". Стою в магазине и думаю, что же я хочу съесть на ужин?
Потом понимаю, что не стоит себе льстить и преувеличивать возможности. Ставим вопрос по-иному - что же я МОГУ съесть?)))) Читать далее »

17.12.2014 - 01:06

Day 128/58

Всем доброго времени суток)
Вчера ходила на прием к орту)
У орта я была 15 мин) за это время меня заменили сломанный брекет на 4, заменили 2 дуги и поставили брекеты на НЧ на 7)
Когда заменили брекет, думала, что зуб выдирают.. Ощущения не из приятных...
Зубки уже сутки офигевают... Боль адская после смены дуг.. Кушать не могу, зубки "чешутся"...
Надеюсь через пару дней все пройдет))
Узнала про чистку, орт сказала, что мне ничего не надо и все у меня с цветом зубов нормально) Читать далее »

17.12.2014 - 00:35

Ананас, а на вас и многие другие фрукты

После темы про киви я немного в расстройстве, но увидела сегодня в магазине красивые спелые ананасы. Думаю покупать или нет... Как с ними дела у брекетоносцев обстоят? Как быть с сочным и спелым гранатом?

Восьмерки

Всем привет Возникла такая проблема. Мне сняли брекеты почти уже 5 месяцев назад. При лечении удалили 4 четверки. Зубы мудрости не трогали вообще и не обсуждали. Но вдруг они стали расти!На удивление,ничего не болит,не тянет,не опухло. Случайно заметила,зубы вроде все на месте Паника В январе нужно записываться к врачу на плановый осмотр. Очень пугает такая ситуация. Может ли случиться рецидив? Капы ношу,ретейнеры стоят. Нужно или же можно их удалить?

01.jpg

Жду ваших советов

16.12.2014 - 22:10

Измышления накануне трехлетнего срока....

Завтра будет ровно три года, как я ношу систему.
Шото надо решать, док.
На той недели мне устроили просто засаду: он откусил дугу за клыками и на ВЧ и на НЧ - типа на молярах - премолярах смыкание и так отличное.

image_154.jpg

image_7_1.jpg

И занялись фасадом. Док выдал страусов и баранов
image_10.jpg

И получилось такое чудо: Читать далее »

16.12.2014 - 18:46

Барсук ищет себе на одно место приключений эх......

доброго времени суток всем . ой девочки нашла я себе проблем на одно место ... Читать далее »

16.12.2014 - 17:18

Нитки от шва расцарапали щеку??

Мне после удаления восьмерки наложили большой шов, и сам шов вроде как не болит, а вот на щеке изнутри образовалась ранка, которая противно болит и кровит:(((
Что делать? Швы снимут только через неделю, и я боюсь как бы не стало хуже!
Стоит ли идти к хирургу, может там подрежут хвостики от ниток или не знаю что

16.12.2014 - 11:18

Кровь, боль и киви

Вот честное слово, девочки, я думала меня уже ничем не удивить и не испугать. Уж я то, ветеран, что я еще не знаю о зубах, деснах, брекетах и прочем? Нифига!!! Век живи, век учись.
Начну по порядку. За почти 1,5 года в брекетах я уяснила, что есть можно ВСЕ, кроме ХУРМЫ!!! Это аццкая фигня не только вяжет рот, но и завязывает все зубы в оранжевую паутину, которая потом фигово вычищается. Хурма - наш враг!!! Читать далее »

16.12.2014 - 10:31

10 месяцев

Изменений нет никаких поэтому даже фото выкладывать не буду. Сейчас все силы направлены на вытаскивание моего зуба, ну как сейчас... так то уже 3,5 месяца тянем...
Две недели назад кнопку прикрепили на центр зуба, а сегодня на приеме сказали что скоро переклеим на внутреннюю часть, так как он уже совсем близко и как будто вот вот вылезет. Правда мне так не кажется что вот вот, потому что он перемещается так сказать в горизонтальной плоскости и наверх так и не выходит. Терпения уже не хватает, ощущение что конца и края нет всему этому
Ну и фото собственно Читать далее »

16.12.2014 - 08:00