Вместе 2 (два) года!!!
Нет ничего более радостного, трогательного и волнующего
Причем, дни рождения и всякого рода праздничные даты, месяцевщины, не отмечаю
С Вами, дорогие мои, зубастики, я 24 месяца знакома 
Следующий год потребует от меня еще больше терпения, выдержки и спокойствия, но результаты окупают все, надеюсь
И коли я - совершенно не совершенство и естественно не идеал
Пляшем!
Самый грустный и скучный пост
Я сегодня без вдохновения...
Из цикла моей самой ненавистной и раздражающей тв-программы:
Про жизнь
1. За последний год НИКАКИХ изменений. Абсолютно. 
2. Я будущий обладатель бипрогнастического прикуса. 
3. В планах менять наклон верхних резцов. 
4. Самое страшное ждет меня... Это она... Лицевая дуга
Поставили сепарационные колечки. Ожидаю кольца с крючками для будущей "красоты"
На пол года... Расчитываю. 
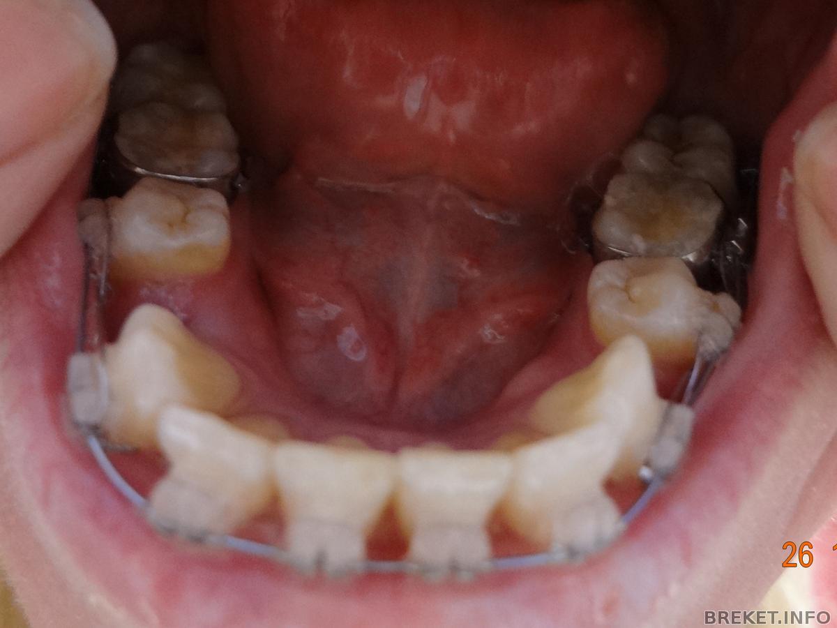
5. Остается переклеить два брекета 
6. Дошлифовать единичку.
Кому шлифовали? Подпиливали часть эмали.. Во второй "сеанс" языком чувствую шершавость
Это очень плохо?
Про медицину
1. Прошла через два удаления зубов мудрости 
2. На следующей недели ожидается сложное удаление нижнего-мудрого 
3. В раздумьях о новом ортодонте...
Док, привет, если ты читаешь 
4. Совет: ребятки, красотули, удаляйте восьмерки сразу, по возможности! Мне орт не разрешал, говорил, после снятия удалишь, я намучилась ужасно с перикоронитами
Тремя!
5. Беспокоят воспаленные сосочки около нижних клычков
Как быть???
6. ВНЧС - пережила боли с обоих сторон
Иногда напоминают о себе, хрустят
Про еду
1. Голодаю!!!
Про дом
1. Хочу новый дом! 
2. Хочу новую жизнь! 
3. Пора уже взрослеть... 
4. "Жить здорово!"
DIXI