Дневники

2 месяца ВЧ (как обычно: отчет + фотки)

Привет, товарищи!

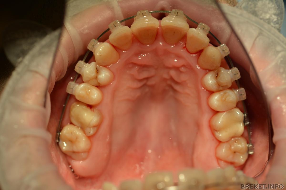
Ну вот, я в брекетах уже 2 месяца (если быть точной, 2 месяца было в четверг, но да ладно). Если честно, ничего особенного за это время не случилось - новая дуга начала выстраивать зубы веером, но пока не особо успешно: правая единица все еще "подсматривает" внутрь, хоть и солидно развернулась, а клыки... ну, они вообще уехали назад и наклонились

2 месяца: анфас

2 месяца: справа и слева
Читать далее »

Через парк часов мне ставят брекетв

Привет,сегодня через пару часов мне ставят брекеты,я жутко волнуюсь!Хотела бы у вас спросить: кого стоят керамические брекеты и как вам они?Брекеты сильно увеличивают губы?Больно при установке брекетов и после?Спасибо заранее за ответы,почему то безумно волнуюсь)

01.11.2014 - 15:29

вопрос про удаление восьмерок!

Всем привет! В понедельник предстоит удаление нижней восьмерки. Верхние удаляли обе сразу, 3 дня на супчике, неделя антибиотиков и все. Вот думаю, если хирург предложит удалить сразу две нижние восьмерки, соглашаться или нет? На сколько мне известно, нижние тяжелее удалять, чем верхние...

01.11.2014 - 14:36

Мои брекеты

Ну что же,пора знакомить Вас с моими брекетами,стоят у меня брекеты Damon Q,я полный брекетоносец(ну понятно о чем я),верхнюю установили пол года назад,дуги на верхнюю закончились, НЧ поставили чуть попозже. Результат отличный,сейчас вот ношу эластики мишки, 5 числа идем к орту(незапланированный визит)крючок для эластика развязался( и да,давайте знакомится)

01.11.2014 - 14:16

вчерашний прием у орта!

Вчера мне поменяли цепочку которая тянет клык, на более жесткую. Зубы по немногу движутся, ну оооочень медленно! До сих пор мне не меняли дугу. Хотя через 2 дня уже месяц как я ношу БС. Врач на мой вопрос: "когда же мне будут менять дугу?" Ответил: "Когда нужно будет". Вообщем все неизвестно.
Еще я замечаю что зубы желтеют, и именно те, которые болят, и я видимо их не дочищаю!((( Ну не могу я на них нажимать сильнее, больно(!
Вот мои результаты почти за месяц:

dsc_0221pr.jpg
Читать далее »

01.11.2014 - 14:13

ВНЕЗАПНО

А что, если наши орты тоже тут тусят...и ржут над нами?

01.11.2014 - 13:52

Ну вот(

Сегодня умудрилась сгрызть брекет на шестерке. Он у меня там железный, крепежный видимо (на семерке такой же). Болтается на дуге, мешается( Я сейчас в Китае, вернусь в Москву только через 5 дней.. А прием у орта через 10 дней..
Как думаете, страшно? Чем-то чревато? С дуги брекет не свалится? Боюсь проглотить...
Расстроилась, жуть(( и месяц без приключений не поносила, хотя и трясусь над ними

01.11.2014 - 13:47

Полное падение Римской империи

Выдрали зубы. Ем Кетанов, пью йогурты, слушаю Сабатон.

13 числа приклеят железо.

01.11.2014 - 12:48

Я счастливая ,позитиффф

image.jpg
Еще раз всем привет !!ну была вчера Я у ортодонта !!!!ну как продвижения идут хорошо врач говорит даже у подростков не движется как у меня !на счет крови спросила он говарил у меня слишком чувствительные десна и еда попадает туда вот и восполяютсЯ десна !нужно обязательно пользоваться ирригатором благо я его купила еще августе но редко пользовалась ,ну чтож буду чаще !!!а еще у меня новая смена тяг !ура ждала оч !вообше раньше не верила что тяги помогают но за 2 мес ношения увидела хороший результат !смутило меня одно Читать далее »

31.10.2014 - 23:02

брекеты

Здраствуйте!как же я давно не была здесь,к моему сожалению ,я как то резко забыла этот сайт!за все это время мои зубы стали идеально ровными,уже идет работа над прикусом(до выпускного должны снять),я с таким ужасом вспоминаю свои старые зубы!я учусь уже в 11 классе,и Господи как же я не хочу заканчивать школу,там так весело и любые друзья и класс.учиться сложновато,только потому,что я в физ мат направлении,будучи не понимая ни математику,ни физику,зато обожаю английский и французский!ну и к этому сообщению приложу пару фоток,какая я сейчас[iif|hid=65dK-vUPF-dy_xk_p69gz36w99TSXycVvU-akt3TA7Q|f Читать далее »

31.10.2014 - 22:14