Дневники

Всем здраствуйте)

Ну что,начну с того,что я наконец то нашла время зарегистрироваться)Ношу брекеты ВЧ-16.10 будет уже ГОД( сама не верю),НЧ 27.10. будет 2 мес.Изменения конечно есть,но что то мне так тревожно... Читать далее »

11.10.2014 - 18:07

День 12

20141011_174241-1.jpg
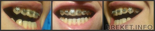
Улыбаемся и машем) Нам почти две недели) Отличное настроение не покидает весь день,да и погода определенно радует)))
Всем хорошего субботнего вечера!)

11.10.2014 - 16:58

Скоро год и три вч!

Давно не делала фотоотчеты,изменений особо и не видно.Дырка от удаленной пятерки до конца не затянулась.Надоели уже брекеты,так хочется улыбаться уже без брекетов!Вот мои самые минимальные изменения за почти 4 месяца.

fotor01011163838.png

11.10.2014 - 16:44

Уря! Я 0,5 брекетоносца

Доброго всем времени суток!
Ура!! Теперь (наконец!!!!) и я в брекетах!!!!
Установка мне ничем примечательным не запомнилась кроме общего волнения и желания поскорей себя увидеть в зеркале. А вот потом..... Как трудно оказывается держать рот закрытым, прикрывая зубы губой!! В жизни бы не подумала что с этим будут трудности)))
На челюсти появилось приятное ощущение сжатости. Зубы теперь конечно привлекают больше внимания и кажутся еще кривее((( Но ничего, все равно я счастлива

dsc02538.jpg

11.10.2014 - 15:28

Девочка в брекетах

Всем привет)
10.10.2014 я стала обладательницей (уж не знаю, насколько счастливой) кучки инородных предметов в своем рту. Одновременно поставила брекет-систему на обе челюсти, гулять так гулять Читать далее »

Голивудская улыбка под вопросом

Давно хочу идеальную улыбку... Еще в школе носила пластину на верхней челюсти, выплюнула, т.к был дефект речи, болело очень, переходный возраст. Потом как то не получалось поставить. Сейчас мне 28. У меня смешен центр верхней челюсти на пол зуба, плюс ко всему она уже нижней, места зубам не хватает... как врач сказал "много патологий". Первый раз на консультации сказала что без аппарата Дерихсвайлера не обойтись, на второй консультации сняла слепки и сказала что подумает как лучше сделать, ну а на третьей консультации сказала что верхнюю челюсть мы расширять не будем, сразу поставим брекеты. Читать далее »

11.10.2014 - 11:36

Сняли ВЧ

Так давно не заходила на сайт, что даже пароль еле вспомнила.. Итак, сняли мне месяц назад брекеты с ВЧ, что сказать.. день ревела.. ибо ВЧ выпирает вперед, расстояние между ВЧ и НЧ колоссальное.. Был вариант более хорошего прикуса, но тогда центр на ВЧ уехал бы на 3-4мм.. этого уж очень не хотелось и решила оставить все как есть, в любом случае лучше чем было изначально.. Читать далее »

11.10.2014 - 09:02

Месяц

Вот и прошли первые 30 дней) Изменения есть - судите сами

первый день

Утановили

месяц
месяц

в сравнении
месяц

Вылезли 2 - смыкать зубы неудобно - мешают, несмотря даже на надкусочные. На приём в четверг, 16 числа - буду просить нарастить пломбы) А 17 числа на свадьбу)) УУх, этот октябрь!

А в понедельник мой первый (26-летний) день рождения в БС!

11.10.2014 - 08:17

Начало

Всем привет, меня зовут Саша. Второй день. 9го числа мне поставили на ВЧ. Натирают ужасно. Не могу уснуть, рот полон ваты. Днём (10.10.14) невозможно было притронутся к зубам, еще и челюсть не закрывается, ибо зуб нижней челюсти "подбивает" замок на ВЧ, и орт. поставила на 6терку что-то (не знаю как назвать), что бы челюсть не до конца смыкалась. Кушал, ну как сказать кушал, еду прогнанную через блендер. Гуглил что с этим делать, и случайно набрел на этот сайт.

11.10.2014 - 04:53

2 месяца или пост с одними фотками))

Всем привееет)
Давно я тут не была)
Собственно, прошло уже 2 месяца после установки БС на ВЧ
Изменения есть, но не в лучшую сторону
Двоечка вроде бы встает в ряд.. Но вот остальные начинают плясать..
Это вроде как норма, я уже смерилась..
Вот, собственно, что сейчас творится с моей улыбкой

2 месяца

2 месяца

2 месяца
Читать далее »

11.10.2014 - 01:08