Дневники

Завтра день Хххх

Ну вот подходит к концу моя сладкая жизнь)) на завтра назначена установка на ВЧ и я буду с Вами
Стали ныть зубы...гов "хозяйка не мучай нас -мы сами в рядочек встанем"))
А если честно ,то уже жду не дождусь когда мне поставят эти железКи..... Хочу уже улыбаться во весь рот ...

30.09.2014 - 08:05

сон

Сегодня приснилось, что выпало 3 зуба аж. Такие маленькие, беленькие. Я еще во сне подумала, вот зачем мне зубы удаляли, если они сами потом выпадают)) А что снится вам?))

30.09.2014 - 07:20

Аватарка :З

Уря! В конце концов мне всё таки удалось поставить аватарку)) Теперь могу учится спокойно

30.09.2014 - 07:07

Зигзаг удачи

Вчера был странный-странный день!
Начну с зубной темы. Был у меня вчера первый плановый прием после установки БС. Я подготовилась к смене дуг, чистке зубов. Но фея меня осадила. Говорит, что гулять мне с этими дугами еще около 1,5 месяцев, так как они еще до конца не отработали. И проф.гигиена пока не нужна, так как по ее мнению за зубками я тщательно ухаживаю. В целом прием длился ровно 5 минут. Читать далее »

30.09.2014 - 00:47

7-8 месяцев. Прощанье с восьмёрками и прочие радости жизни

Если кто читал твиттер камня в лесу, то он поймёт следующую фразу: "Сегодня ничего не произошло". Примерно так можно описать последние пару месяцев. Новостей нет — постов нет. Заставил-таки себя написать отчёт.

Из нового: оставшиеся восьмёрки сверху удалили. После нижних просто сказка — ни отёка, ни боли, ни сильного наркоза, ни антибиотиков после удаления. В итоге 32 норма стала нормой 28. Всё бы ничего, но от верхних зубов остались кратеры, в которые забивается еда. Сейчас я перестал обращать на это внимание, но в начале сильно раздражало.

Мой прощальный подарок восьмёркам:

ezim6rsyq0i.jpg
Читать далее »

Прощай железный рот!)

Ну вот и закончилась моя короткая история брекетоношения
Сначала зубы казались огромными и чужими, но вроде начинаю привыкать

dooa2p0lyf4.jpg

А вообще беспокоит исключительно то, что у меня стоят только ретейнеры, о каппе ортодонт даже не говорил
улыбаюсь, кстати, неохотно, видимо комплекс плотно засел в голове и выходить сразу не хочет

29.09.2014 - 19:45

7 месяцев

Такие дела, ребята )

image.jpg

А еще мне сняли пломбы накусочные , не знаю смешно это или грустно , но рот то все равно не закрывается так сказать )))) прикус - кошмар !!!!! Что делать как жить

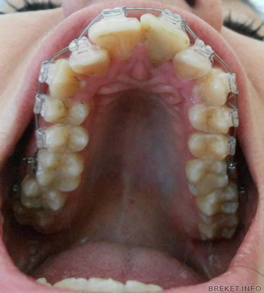
29.09.2014 - 19:24

Забрекетована :)

20140929_195301-1.jpg
Давно не писала,как то нечего было)) БС на НЧ 5,5 месяцев. Движется все медленно,но верно)) "Блудный зуб почти на месте)
И вот сегодня наконец-то поставили ВЧ,с нормальным закрыванием рта возникли проблемки....
20140929_194655-1.jpg

29.09.2014 - 19:03

Второй прием у ортодонта

Приветик сегодня была на втором приеме у врача своего, мне поменяли оезиночку дугу пока еще не менял!! Сказал пойти сделать понорамный снимок а там уде поссотрим надо ли будет что то удалять или нет! Я стала замечать щелки между зубами. Чере сколько кому меняли дуги?? Кстате у меня один зуб болит на нем делали депульпированте сейчас под корнями восполение появилось:(

29.09.2014 - 18:47

Вопросики

Привет Всем У меня возникла мысль о том,чтобы подпилить передние зубы,чтобы они не были как у кролика,ну и в конце-таки концов"нет предела совершенству" :smile57:читала комментарии на сайтах,особо много мнений по поводу"подпиливания" не нашла...но раз они есть,то значит такую процедуру,все-таки проводят...
и вот собственно вопросы: Делал-ли кто-нибудь такую процедуру и Как Вы вообще относитесь к "подпиливанию"?

29.09.2014 - 18:40