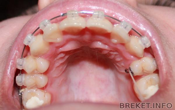
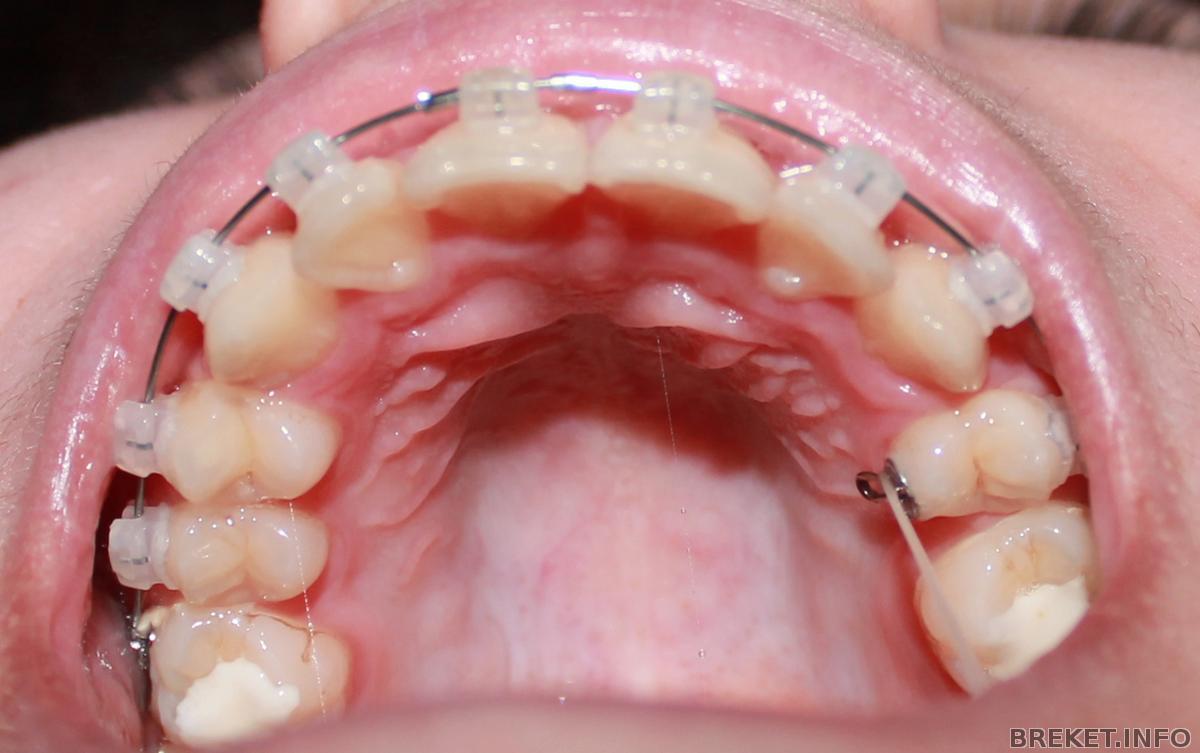
Привет, дорогие) Сегодня, можно так сказать, очередной отчетный пост. Я в последнее время что-то приуныла, остановка изменения на ВЧ как-то не радовала, а также перекос, который объявился пару месяцев назад.. Да и еще клык, который месяца 2 стоит как вкопанный.
Так что сегодняшние фотки я делала без особого интузиазму, но как обычно это бывает - нежданно- негаданно: зубы решили меня порадовать немного 
Начну в ВЧ (она, собственно, и порадовала)
На этом снимке не особо заметны изменения, ну разве что двойки, которые меня стали раздражать.. Читать далее »