Дневники

Очередной прием у орта или месяц пролетел незаметно

Сгодня была на очередном приеме (честно скажу: расчитывала на визиты не чаще, чем раз в месяц, а хожу каждую неделю).
Похвалили мои зубки, сказали, что с поправкой на возраст и крепкую кость все отлично. Поставили еще несколько сепарационных колец.
А в конце сказали, что на следующей неделе поставят новые дуги (мне стандартные дуги не подходят, а только индивидуальный заказ), подключат семерки и натыкают много пружин и еще много всякой ерунды. Читать далее »

ОТГ

делали ортопантомограмму. это до лечения)
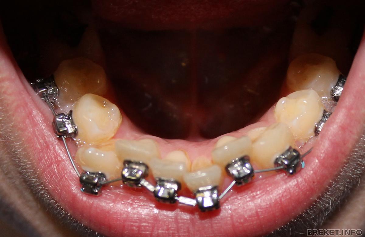
сейчас расколотый зуб сделали новенький:з
ничего не выдирали!))

dscn0637.jpg

11.06.2014 - 22:00

как не сделать запланированого , попасть на лавэ и остаться довольной

привет,друзья.

если кто читал мой позапрошлый пост, то знает, что у меня была целая куча вопросов к врачу и очень плохой настрой.( http://breket.info/blogs/1073905766) итак, сегодня прием состоялся. но поскандалить и поныть не удалось, потому что - настроение было хорошее у меня ))) Читать далее »

День как день

Ощущение, что стало все равно есть брекеты или нет. Результат, да какой результат. После злополучной реставрации мне тупо не нравятся мои зубы не прямые, не кривые. Спокойно спит девушка подарившая мне боль. Неужели можно быть таким врачом. Если дотрагиваться до реставрированной двойки, чувствую боль и вспоминаю ее. Никому не желаю зла, но человек плюет на просьбы пациентов и их пожелания желая продать вениры или коронки просто тупо портит зубы. Варила бы борщи, мела бы улицы, но нет врач. Лицо стало худее и кривое, но думаю это просто возраст. Просто надо выговорится. Читать далее »

11.06.2014 - 20:02

Итак, очередной приём

Первые минут 10 орт наблюдала, как я жую, и радовалась, что результаты хорошие. Сказала, что я молодец, будто я сама силой воли зубы двигаю Потом они с ассистенткой что-то там крутили, подкручивали, натягивали, и в итоге получилось вот что

img_20140611_084850.jpg

img_20140611_084934.jpg
Читать далее »

11.06.2014 - 20:02

Брекеты и овал лица

Всем привет! Я опять о наболевшем - про изменение овала лица от ношения брекетов. В прошлый раз, когда я просила вас сравнить лицо до и после, ракурсы были разные, действительно было трудно сравнивать. Вот пару дней назад фоткалась на документы и решила сопоставить фотографии. Что скажете?

oval lica.png

11.06.2014 - 19:26

Фото низа для истории + вопрос

И тааак руки сфотать дошли на 4 день только))))))

15.jpg

и фото сверху:

nch_4d.jpg
Читать далее »

11.06.2014 - 19:15

Каааак же давно я здесь не появлялась)) есть те, кто меня помнит? ахах))

Ребяятаа, я таак соскучилась по брекет-маньякам:smile19: сама я как только отошла от эйфории по бс забросила здесь сидеть а сейчас выдали эластики (да-да! яхууу ) и я решила написааать))
привет все-всем кто меня помнит, если такие вообще есть

Итак, по делу) вот эластики:

dsc_0249.jpg

у кого были такой фирмы?) Читать далее »

11.06.2014 - 19:13

Кто ставил брекеты при гипертонусе жевательных мышц или заболеваниях ВНЧС отзовитесь!

Всем привет!) Первая моя запись в дневнике на этом форуме была посвящена сплинт-терапии и о долгом пути к брекетам.. Увы, это не просто тема моего дневника, это "моя головная боль", с которой я просто не знаю что делать.. Ребята, кто ставил брекеты при наличии заболеваний височно-нижечелюстного сустава?? Отзовитесь, пожалуйста, нужны ваши советы..

Чейн

Сегодня орта одела первый раз чейн... может теперь что-нибудь изменится? 2,5 месяца только дуги меняем, а изменений не видно

11.06.2014 - 18:24