Дневники

...

Работы еще много. Но я уже давольна как слон. Еще несколько месяцев назад, фото с "демонстрацией зубов" хотелось "обнять и ГОРЬКО заплакать"... А сейчас смотрю и понимаю: все не так уж и страшно))). Всем весны и удачи!

picsart_1395594321513.jpg

24.03.2014 - 14:47

ААА ... ПОМОГИТЕ!

У МЕНЯ ПРОБЛЕМА!!! Заметила, когда чистила зубы ,что десны отходят от некоторых зубов на НЧ, а на ВЧ одна десна над 3 зубом начала кровоточить , а над другим 3 зубом вообще кусочек десны отделился, как неживой Мне 15 лет и не пойму откуда такие проблемы с деснами , никогда такого не было . К врачу попаду нескоро , что же делать подскажите???Может какие-то ополаскиватели , пасты для лечения дёсен ? Скоро наше ортодонтическое лечение подходит к концу, брекеты снимут, а что же делать с деснами???

24.03.2014 - 13:55

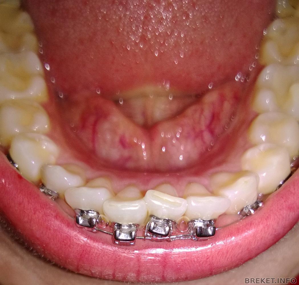
Еще один месяц миновал

Месяц прошел для НЧ, для ВЧ прошло 2 мес. Смотрю результаты.

nch_2_dnya.jpg

nch_1_mes.jpg

и еще.
nch_2_den_2.jpg

nch_1_mes_2.jpg

В этом ракурсе нижнюю челюсть видно лучше. Читать далее »

24.03.2014 - 13:35

Есть ли жизнь после снятия?

image.jpg

Каждый день улыбаюсь всему и вся. Стальной имплантант уже не смущает. К тому же меня последнее время "окружает" стоматолог и ему этот стальной формирователь даже нравится.
А теперь по делу:
1. Привычка чистить зубы не денется никуда. Так и хочется вычищать все и вся. Перед сном каждый раз иду к ящичку с тягами: никак не отвыкну.
2. Купила пасту для эмали. Брусничную. Ощущение словно это детская паста. А купила, потому что все эти процедуры: пришлифовка, снятие, реально "постучали" по эмали. Читать далее »

24.03.2014 - 13:28

На сайте вирус?

Проблема вот в чём.Брекет .инфо с недавнего времени стал мне выдавать предупреждающее сообщение при открывании фоток,что мне нужно обновить флешь плеер типа мой,якобы устарел. Повелась,перешла по ссылке Адоб Флеш Плеер ПРО. Оказалось,что ссылка фальшивая и даже Доктор Вэб не разглядел это.Как итог,не работает теперь ни гугл хром,ни Плеймаркет. Откатила планшет до заводских установок,проблема не ушла. Читать далее »

24.03.2014 - 11:50

Посоветуйте ополаскиватель не противный ))))))

Приветик всем!!!!!!! Подскажите какой ополаскиватель приобрести. А то из-за расширителя не могу почистить все во рту. Да и небо в одном месте возле аппарата вроде как чувствительное стало...(( Какой ополаскиватель не противный??? Ну и чтоб не делал зубки темнее.

24.03.2014 - 11:23

ГОД! Без слез не взглянешь(((

Вот и год уже прошел, надо же, большой срок! А результат не радует совсем!

1 год брекетам

Не такого я ожидала, когда решила ставить БС! Руки опускаются просто... Я думала в начале пути, что через год мучений уже хоть как-то будет лучше, но ничего не происходит, чуда нет... Читать далее »

аватар: seu
seu
Сапфир в платине

завтра 3 месяца - результаты

Решила отчитаться по результатам за 3 месяца - для многих эта дата считается значимой. Итак, что мы имеем: все еще первая дуга (менять уже точно 8 апреля), все еще неподключенный клык (на прошлом приеме его отвязали от дуги) и затягивающуюся дырку от четверки с одной стороны. Клык на этой стороне тянем эластичной цепочкой, но она чисто символическая, она болтается и почти не натянута. Ортша говорит, что так и надо, потому что если тянуть клык сильнее на тонкой дуге, зубы могут двигаться не так как надо. Читать далее »

24.03.2014 - 06:14

Сняли!!!!!

Как приятно было радоваться за людей, которым сняли брекеты. И вот на моей улице праздник!!!
Сняли еще 10.03, но из-за малыша совсем не было времени написать.
Кому керамику тоже снимали??она же крошется!!! в итоге брекеты спиливали какой-то штукой!!!точнее их остатки и крошки. ощущение ломания зубов и вправду есть, но врач все повторял, это не твои зубы, не волнуйся, это брекеты))
муж меня отважно ждал с маленьким ребенком на руках и слышал, как я вскрикивала, но был уверен, если я пережила роды, то это тоже переживу. Читать далее »

когда уже снимут...

Практически 2 года в металле... уже депрессия... когда уже снимут эти железки.... кто сколько носит брекеты?
орт практически не говорит на приемах, работаем... делаем... все что он говорит...
на последнем приеме сказали еще до лета как минимум, а там как результат будет.

без 7 дней 2 года.

23.03.2014 - 22:09