Дневники

Еще немного о начале

Хочу добавить, что ставить собираюсь лингвальные win. Если кто их носит или инкогнито - отзывайтесь. Как-то я не много нашла тут историй о лингвалках. В основном все убегают не продолжая рассказывать свою историю. Может просто все так хорошо и красиво, что уже не до форума?
Мне орт сказал, что ничего особенного в моем случае нет и будут они стоять 1 год - 1 и 2 месяца. Такой срок радует.) ну и в приложение фото моего нынешнего позора))) Читать далее »

Мечта

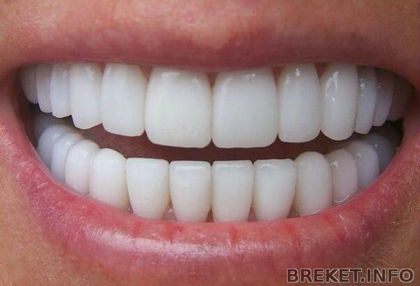
Ребята ..... Такое бывает или мне это снится ?))))) я кажется нашла идеал

P.S: сегодня сделали полную чистку, не ожидала что это так неприятно блин!))но зато зубки белые белые стали

e.jpg

12.03.2014 - 17:15

ретейнер

Была в понедельник на приеме. Залечили единички, между ними было темное пятно. Прилепили ретейнер на ВЧ. Затянули -все как обычно. Зуб зараза не двигается....Скорей-бы уж что ли....сказала-как подтянем его так снятие...но пока мм3

Вот кстати на счет ретейнера. Нижний как то быстро обвыкся, сейчас и не замечаю(правда чистить не очень удобно). А тут прям мешает, жевать как то необычно, и зубы смыкаются странно....неудобно)))) У кого как? и помоему шепелявить стала Читать далее »

12.03.2014 - 16:57

грустно(

Что-то в последнее время у всех посты невеселые... Ну и я продолжу в том же духе.
До сих пор больно кусать особенно слева зубам больно(((( брекеты поставила 4 марта, думала первое время больно будет, а они до сих пор ноют((( и еще одно: тут у всех на фото разные такие сроки зарастания дырок от удаленных зубов, интересно в моем случае долго я буду беззубой красавицей ходить?) моя орт сказала что в моем случае с БС я буду около 2 лет. когда же я спросила о сроках зрастания промежутков после удаленных четверок-она отморозилась и мол, у всех по-разному...как-то так Читать далее »

12.03.2014 - 16:32

Запаслась едой:D

Жевать все еще не особо хорошо получается, приходится лакомиться творожками:)))

Творожки)))

Штука на шестых зубах

Вопрос навеян просмотром фоток ваших))) Часто вижу какие-то железные штуки на верхних шестерках. Они по всему периметра зуба, т.е как бы надеты на зуб. ЧТО ЭТО ЗА УЖАС?))) Расскажите. И почему их не всем ставят?

12.03.2014 - 14:56

1 ГОД!...

Всем добрый день;) раньше тема с брекетами меня интересовалась очень и очень сильно по той причине, что это было доя меня нечто неизведанное и странное. Но когда мне их поставили время стало так быстро течь!! И вот, прошел уже 1 год. На верхней год и почти 2 месяца. Снимаем приблизительно в сентябре/августе и меня эта мысль очень и очень греет:) зубки уже все ровно стоят и мы с января начали исправлять прикус. Поставили мне форсус, значит. Первые две недели я с ним чуть ли не вешалась! Челюсть болела, еда начала засипев пять в 5 раз больше. Словом, ужас. Читать далее »

Всё-таки удалять...

Сегодня на приеме лечение приняло неожиданный поворот. Орт посмотрела на работу торковой пружины и решила, что она недостаточно убирает наклон Я говорю: давайте удалять зубы. Мне не хочется больше терять время. Я в брекетах уже почти полгода. Если удалить зубки сейчас, то вполне можно уложиться в обещанные 1,5 года. Орт подумала и решила, что нужно удалить одну четверку на ВЧ и двигать центр в эту сторону. Потому как он у меня сильно смещен. До следующего четверга я должна удалить зубик... А пока мне сняли дугу и откусили брекет с 4-ки. Читать далее »

12.03.2014 - 12:51

НУ ПИПЕЦ

Привет всем! Сегодня родственнички мужа достали... не ставь брекеты, не ставь, зубы угробишь, потом пожалеешь, что поставила.... Вот, ребята, ответьте мне, снявшие одну из частей БС, как дела обстоят дела с зубами!???? Сегодня у стомотолога спросила про дто, он мне сказал, что если не исправить зубы, а у меня скученность на нижней, что в будущем могут быть проблемы с чувствительностью,деснами и камнем. Проблем с зубами у меня нет на данный момент, кроме их кривизны, зубы, десна здоровые, ттт.....ответьте мне аа.... боюсь....Недавно такая храбрая была.... Читать далее »

12.03.2014 - 11:53