Дневники

Поделитесь своими результатами и временем!!!

Здравствуйте , сегодня моим брекетам на ВЧ -ровно 5 месяцев , а на НЧ -27 дней .Хотя времени до снятия еще много , но всё же не терпится узнать )) Я знаю , что у каждого длительность лечения индивидуальная , как и случаи , но всё же расскжите, пожалуйста , сколько вы носили брекеты и поделитесь результатами, если не сложно. У меня такая проблема надо опустить клыки , один уже почти на месте , а на втором даже не приклеин брекет . еще собождаем место для него , с противоположной стороны стороны вырвали чтвёрку еще до установки . Читать далее »

22.01.2013 - 18:42

Смена дуг

cats.jpg

009.jpg

Всем привет, давно не находила времени выложить фотки, и написать о своих продвижениях.
Вчера сходила к ортше, она посмотрела мои зубки, сказала что всё хорошо продвигается и что мы перескочим через дугу на ВЧ, поставила мне 16, а стояла вроде 12 или как-то так..., ну а на НЧ поставила 14 или 12 вобщем не перескакивали)хах
У меня к моему орту появилось много вопросов, но она мне сказала что всё что меня беспокоит это временно. Читать далее »

22.01.2013 - 18:41

Люди как по вашему можно ли обойтись без удаления?

Врач решил ничего не удалять(все восьмерки на месте) и начать лечение в таком состоянии...........

Неделя после установки...

22.01.2013 - 18:39

2г. 5м. 7д

думала не буду делать запись так рано, как вдруг меня посетила мысль сделать коллаж.... честно сказать одно расстройство! хоть плачь! на фото это еще более-менее выглядит! а вот в жизни........вобщем у меня вечер печали! почему у меня не ладится все? завтра-послезавтра идти на сепарацию..а тут клык разболелся на вч...чувствительный стал..уж не спилили ли с него чего лишнего....нч выглядит убого..все зубы наклонились.. Читать далее »

Подсоединение двоек

Вчера (21.01.13) была у стоматолога, поменяли цепочки-резинки от клыков до 6-к которые, на новые, тянуть стало сильнее и подсоединили 2-ки. Брррр, больно Болит от клыка до клыка, единички болят, кусать не могу, приходится опять резать на кусочки... да и когда жуешь - зубом об зуб дотронешься (верхняя о нижнюю челюсть) - тоже больно. зато чистить удобнее стало - щетка стала меньше цепляться за брекеты. Читать далее »

22.01.2013 - 17:48

такой вопрос!!)))

Скажите а зачем и вообще для чего меняют дугу?и в зависимости отчего ее меняют и какую она вообще играет роль?))))))

22.01.2013 - 16:14

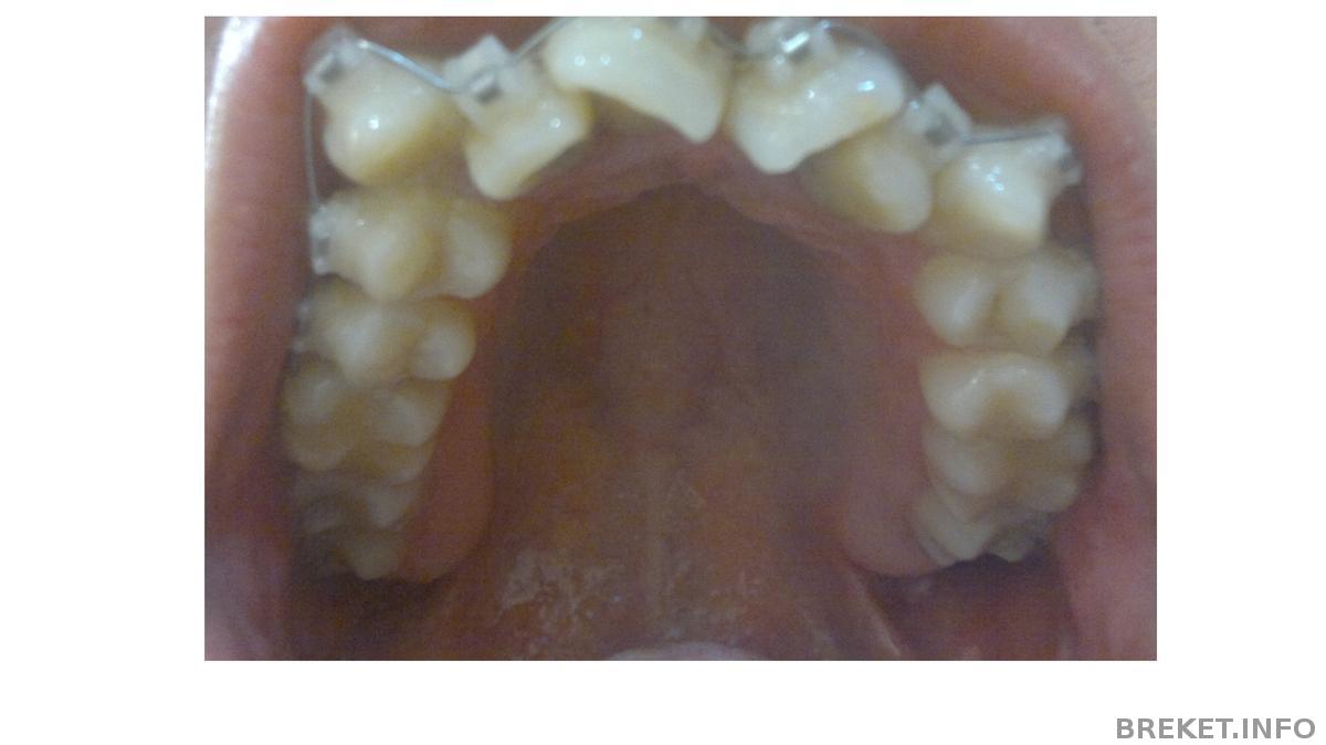
7 месяцев. Радуюсь результатам!!!

Итак, прошло 7 месяцев!!!
Вот так выглядят теперь мои зубки

7 месяцев.jpg

Я так рада, что у меня наконец-то зуб не посередине неба, а почти в ряду))) Надеюсь, что скоро всё будет ровно-ровно! Хотя еще столько всего надо исправлять: прикус, центр... Но мечты ведь сбываются!!! Пусть и не сразу, а за несколько лет))) Читать далее »

22.01.2013 - 15:37

коллега- брекетоносец!

Сегодня к нам в класс приходит логопед, чтобы забрать детей на свое занятие, я подхожу к ней, и в шутку спрашиваю :" А можно со мной тоже позаниматься?", намекая на брекеты. На что она мне отвечает шепеляво : "Сначала сама научусь говорить." И смеется.
Оказалось, она пару недель назад поставила лингвальные брекеты и так не привыкла с ними говорить. В общем, нашла подругу "по цеху", так сказать! Смеялись мы еще долго!

Почти готово

На 14 февраля назначен прием, на котором, надеюсь, мой ортофей меня обрадует и освободит от оков)

Все только начинается)
спустя год и два месяца
o5fbv2olr10.jpg

22.01.2013 - 15:01

волнение

хоть и обещала не писать но напишу перед 24 числом появилось волнение-из за того что:1)больно установят..2)будут удалять зубы и будут больно снимать так ли это???

22.01.2013 - 14:05