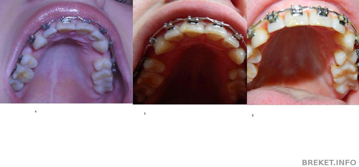
Вот и 8 месяцев позади!
Такой вот результат!Надеюсь понятный!Фото до нет, потому что и в мыслях не было фоткать свои зубы,пока 4 мясяца назад не забрела на этот сайт и понеслось..........

Теперь жду конец июня буду ставить низ,хоть он и ровный,прикус то надо как-то исправлять
А что делать!Орт обещала что на полгода, полгода это фигня,т ч как-то так!И еще за 8 месяцев ничего не болело ни разу!Мне повезло!