Дневники

Куча новых ощущений-приятных и не очень

Начну с ответов на вопросы. Да, WIN-лингвальные. Конечно, мешают и в разговоре и во сне-язык цепляется за крючочки и прочее. Но не критично, разговариваю, как обычно, слегка мешает каша во рту))). Возможно, все поменяется, когда установлю на ВЧ. Пока только на низ поставили. Вот с чем беда-так это с питанием. Кушаю, как младенец-пюрешки и кашки))). Чувствую себя значительно младше своих 36 лет))). Читать далее »

17.02.2015 - 09:59

Вопрос про диастему и передние зубы

В общем, сдвинулись мои единички и я столкнулась с новой проблемой... Любая пища моментально застревает именно между единичек И достать ее оттуда вообще проблематично... Мне то это совершенно не знакомо, раньше между моих единичек только кость мамонта могла застрять)) Сейчас же они очень плотно друг к другу прижаты, нить с трудом то пролазиет...но это никак не мешает попадать туда еде... Неужели теперь всегда так будет? У кого нибудь есть подобная проблема?

17.02.2015 - 09:48

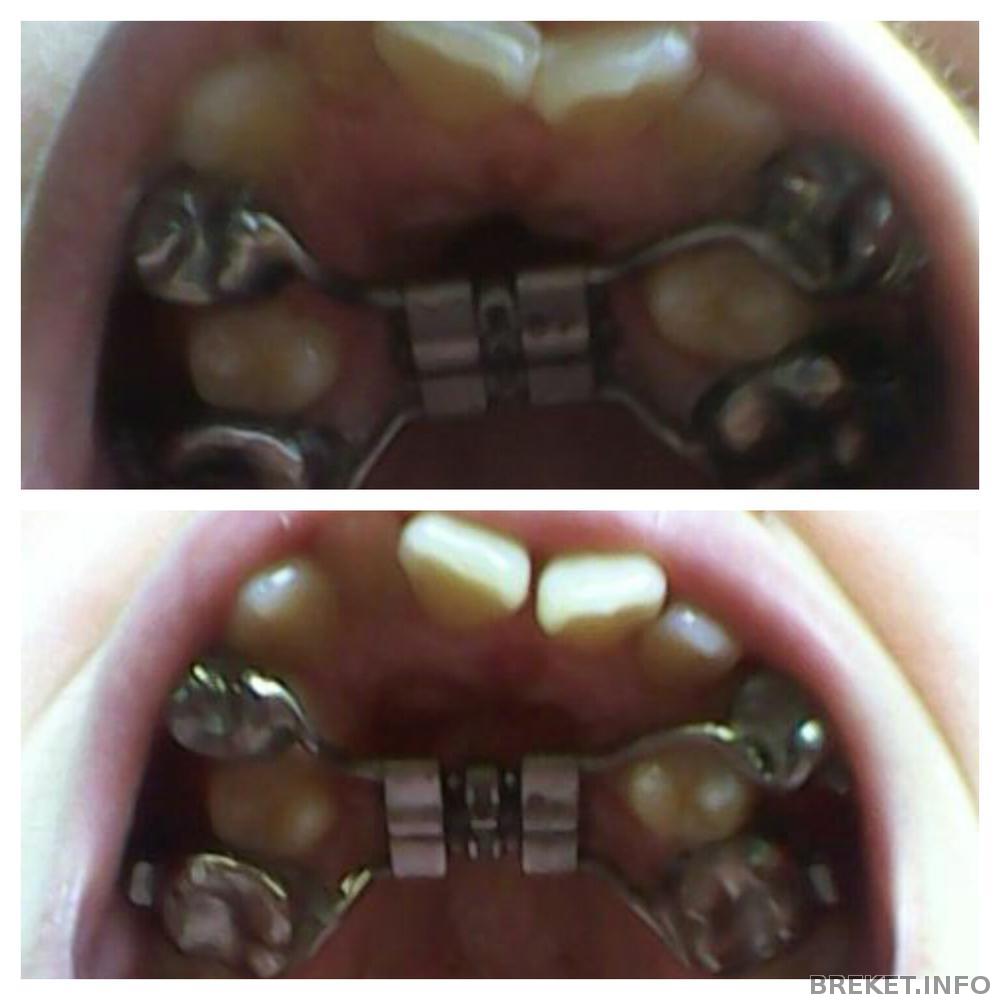
мой 3х недельный результат)

наконец то появилась щель между единичками, чего мы и хотели добиться. А это значит как сказала орт через пару недель этот чудо аппарат снимут.

1424154751455.jpg

17.02.2015 - 08:36

Сам себе слесарь.

Хвасто-пост. Как любой новичок, я крайне чувствительно отношусь к любой мелочи, которая происходит с набором цветмета во рту. И сегодня, в очередной раз разглядывая зубы в зеркале, обнаружила, что из замка на семерке выскочила дуга. И, главное, я даже не заметила, когда это произошло, ну никакущих симптомов подставы. Особенно учитывая, что как раз там вся мяса натерта, распилена и надавлена и кусок дуги должен был, воткнувшись, вызвать локальный апокалипсис. Карочи, я её вставила назад пинцетом для дранья бровей. Хорошо, что дуга первая, тонкая и легко гнется. Читать далее »

16.02.2015 - 23:34

БС на НЧ

Поставили БС на НЧ, все ок, надоели тереть губу, ну ниче, привыкаемо)
на Вч поставили 16 дугу и закрутили проволкой, а не резиночками( не удобно щеткой чистить между зубов.
может кто знает почему ее, а не резиночки ? не спросила у врача, потому что торопилась на пересдачу, мысли не о том, а об антикоррупционной политике были
вот мои мини изменения за 28 дней, двойки заметно опустились

28 дней

16.02.2015 - 21:20

принимайте новеньких!

Привет всем! Ну вот и случилось! Сегодня третий день, как я поставила брекеты win. Полет нормальный, честно говоря, ожидала худшего. Правда, возникает куча вопросов, надеюсь с вашей помощью получить на них ответы!!!

16.02.2015 - 21:02

в 29 еще не поздно???!!!!

вот все думаю. почему я раньше не поставила брекеты?!! даже не знаю, наверно просто посчитала, что уже ничего не изменишь. но стоило мне встретить, свою одноклассницу у нее были брекеты, и я подумала а почему нет?! . и мне ужасно захотелось, захотелось улыбаться и не стеснятся, смеяться, выражать свои чувства и эмоции. только муж меня в этом не поддерживает, друзья говорят, зачем??? "ты и так симпатичная", "мы на это внимания не обращаем", "мы уже привыкли к тебе". "тебе что денег не жалко?"но я хочу это огромная моя мечта. только нужно собрать все в кулак и сделать это! Читать далее »

16.02.2015 - 20:23

история продолжается...

И так. Продолжается моя история с восьмеркой. Завтра иду на удаление семерки. Потом, как заживет, примерно через недельку, опять к орте. В среду она поговорит с имплантологом про два микроимпланта для передвижения восьмерки. Все потому, что шестерка имплант и к нему нельзя брекет приклеить и дугу протянуть. Расстояние очень большое. По-этому идем на риск и ставим микроимпланты и тянем за них чейнами. Вот такой план. Орта ворчит, конечно, что эта затея ей не нравится. Если бы не шестерка-имплант вопросов бы не было. Читать далее »

16.02.2015 - 20:13

Брекеты + металл = стоматит

Решила сэкономить на нижних брекетах и поставила металлические...
Теперь расплачиваюсь за свою скупость...
Сверху ношу керамику уже 6 месяцев - никаких проблем не было и нет, все супер.
Нижние металлические - ношу месяц - раздирают кожу.
Если молчу, не разговариваю - еще нормально, но только начинаю болтать - все, натирают, раздирают в раны - от сюда стоматит.
Для меня стоматит - это то, о чем я знала только по слухам, никогда не было раньше у меня такой проблемы.
Зато теперь, Благодаря Металлическим Брекетам, я лечу его каждую неделю... Читать далее »

Почему я решилась на брекеты во второй раз

Всем привет! Мне 20 лет и вот уже 2,5 недели я ношу брекеты. Опять. До этого мне сняли брекеты с ВЧ почти 4 года назад, с НЧ - почти 3. Читать далее »

16.02.2015 - 16:25