Дневники

"Селфи в красной помаде!"

Ну вот, выполняю задание! Дабы не читерствовать лукаво, накрасилась самой наикраснющей помадой, какая только была!

2015-02-01_11.48.09_1.jpg

И еще маленький бонус: #явкраснойпомадепятьлетназад (не-селфи)

fb_img_1422781005033.jpg

Так! Juls128, готовь красный фломастер красную помаду - ты следующая!

И еще у нас где-то Marseline запропастилась - передаю эстафету и ей тоже!

любимые покупки

пример заразителен... можно считать очередным флудопостом...
хочется поговорить о том, что, мы, носители брекет-систем ( ), любим покупать.
Как и любая девочка, я люблю покупать ВСЁ, исключений, пожалуй, нет (кроме магазинов, где продают инструменты всякие, гвозди-шурупы )
Но особая моя страсть - это игрушки (может, в детстве не доиграла?), канцтовары (беру много всего и это всё копится )
А ещё люблю покупать фигнюшки (это какие-нибудь красивые штучки, часто бесполезные). и сумки. и одежду.

01.02.2015 - 07:19

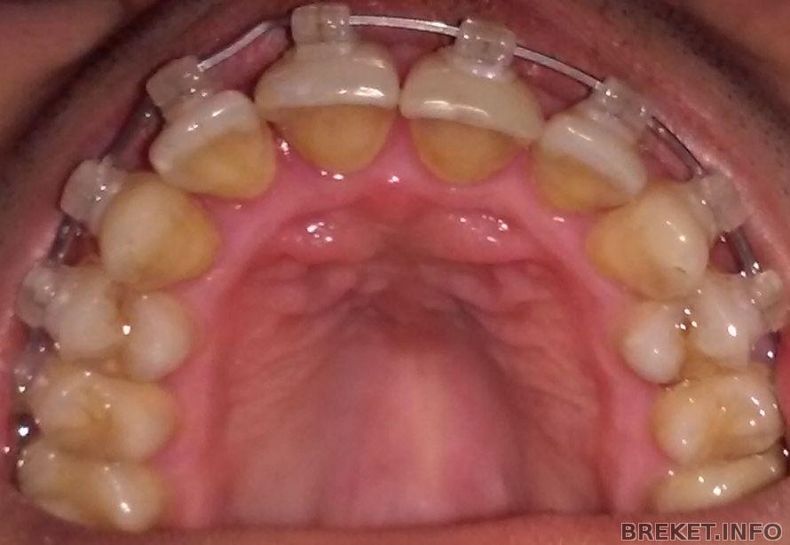
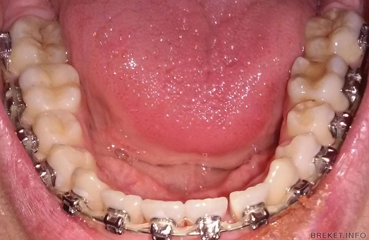
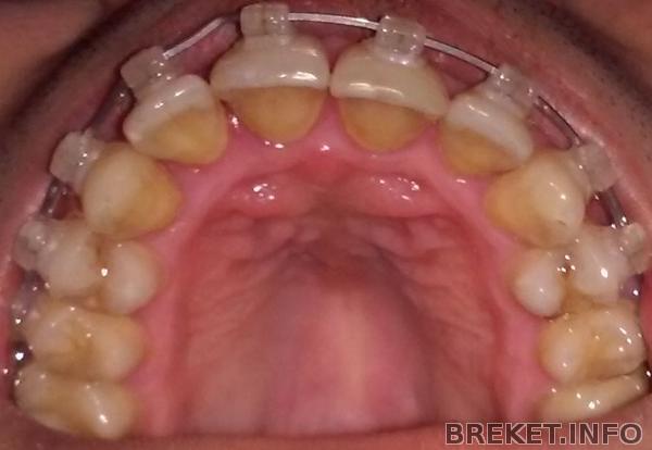
Прошу оценить степень готовности

Время летит незаметно, и моим брекетам уже больше года.
Сразу делюсь результатами на сегодняшний день.

20150131_222441.jpg

20150131_222547.jpg

20150131_222449.jpg
Читать далее »

31.01.2015 - 23:18

Установка брекета на НЧ, день первый

Ну вот и настал этот день....
Установка заняла примерно 1 час. Поставили на НЧ брекеты 3M Clarity SL
Пока острой боли никакой не чувствую, но все челюсти крутит и ломает. Нервы как струны, хочется просто взять и сорвать эти железки, караул.
Надеюсь дальше будет полегче...

ЗЫ Следующий визит через месяц на установку ВЧ.

Флудопост #2

Сюда прошу скидывать названия песен, которые повышают у вас настроение! Делимся господа!
Либо можно ссылки на ютуб!

В этой теме только позитивное общение! Никакой украины, никакого негатива!

bg.jpg

Точка невозврата

Сразу после новогодних каникул залечила зубик и сделала чистку.
И наконец-то сегодня попала к своему мегазагруженному орту!!!
Сделали мне слепок моих челюстей, заплатила уже за брекеты. Эх, из-за тяжести своего случая не успела в прошлом году, теперь цены подросли, решила не тратиться на пластиковые, придется ставить металлические (металл на обе челюсти мне обошелся в 55 тыс. руб. с моей 15% скидкой, на пластик пришлось бы потратить около 75 тыс. руб. с той же скидкой). Читать далее »

С Днем Рождения, Джастин !

Сегодня день рождения у исполнителя, композитора, актера и просто замечательного человека - Джастина Тимберлейка.

Помню, как первый клип, который я с ним увидела Cry Me A River. И он сразу стал моим любымым исполнителем.

timberlake2.jpg

31.01.2015 - 19:52

Про чистку ирригаторов.

Шопилась сегодня в интернете, покупала всякие растворы от накипи в технике бытовой. И тут мне подвернулась такая вот жидкость.

средство для чистки

Недавно чистила ирригатор и немного злилась, что известняк еле отмывается в колбе. И думала чем же очистить. Оно существует... оно стоит всего 11-12 евро за бутылку 250 мл. Друзья, вдруг кто приобретет на просторах евросоюза - я жду отзывов. Сама просто раньше лета точно не поеду в ту сторону, а значит не смогу и рассказать оперативно.
ПС в медиамаркте русском тоже было замечено

аппарат для расширения вч.

кто его носит или носил...скажите вы ходили к орту для подкручивания или делали это сами? Что то мне не хочется ходить каждые три дня на прием ради 2 минут .

31.01.2015 - 18:37