Дневники

Начало

Привет!
Вот и я скоро стану брекетоносцем. Причина: не вовремя удаленные молочные клыки, за которыми вылезли коренные. Молочные потом удалили, коренные не встали на место и стоят во втором ряду
Ну и плюс двойки верхние немного вывернуты как бы.
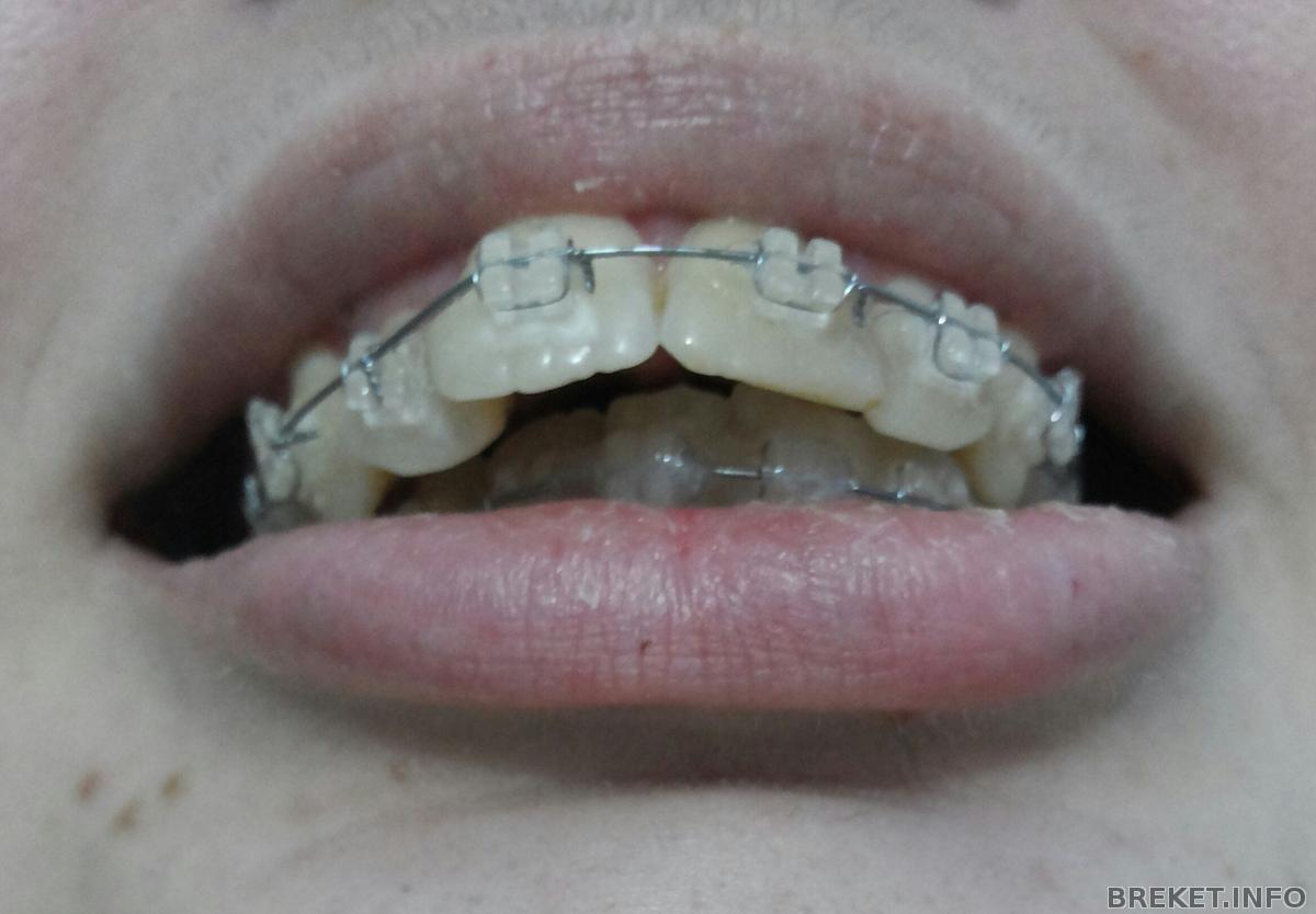
Слепки сняли, 29 ноября на приклейку. врач уже дала какую-то накладку на нижнюю челюсть, типа каппы. Сказала привыкать. Нужна она чтобы челюсти смыкнуть не смогла, чтобы клычкам вперед выйти. Привыкаю... Сыпилявлю. А мне 25 лет

Месяц с копейками

20141109_185034-1.jpg
20141109_190159-1.jpg

Как то так И все таки пока не верю что без удаления все красивенько получится) Наклон передние "лопатки" пока менять не планируют совсем))

09.11.2014 - 18:55

Новый год во всем....

Внизу после 5 мес лечения. Вверху - сейчас
ВСЕМ ОГРОМНЫЙ ПРИВЕТ!
Долго я боролась, чтобы вспомнить пароль!!!! Очень рада, что снова могу радоваться просмотрами ваших дневников! В особенности результатами!

И, не могу не похвастаться, что почти под новый год, а точнее 26-го декабря у моих брекетов будет день рождения! Ровно год!
Основная зубная проблема была клык. Он находился вверху, очень высоко. Пришлось удалить, к счастью, всего один зуб, чтобы освободить место в зубном ряду. И вот наконец, чудо произошло! Благодаря любимому ортодонту конечно... Читать далее »

Мини-юбилей

Вчера моим брекетам исполнилось 10 дней. Так сказать первый юбилей, мааааленький такой)) Правда результаты меня абсолютно не радуют. За это время зубы не сдвинулись ни на миллиметр( Печаль-огорчение оним словом. Я знаю, то это очень короткий срок, но так хочется увидеть хоть что-то... А в добавок, мой левый клык почему-то пожелтел. Я чищу зубы каждый раз после еды, утром и вечером с особой тщательностью, но зуб продолжает желтеть. Может ли это быть из-за того, что почти все эти дни я наклеивала на него воск, а на ночь подкладывала ватку, чтоб так сильно не натирал? Читать далее »

5ый месяц ВЧ и установка НЧ...

Пост будет не очень позитивым=))

Наконец-то, не прошло и три года, установили на НЧ брекеты.
Орт отказался ставить керамику, поэтому ставили Damon Q.
Видела здесь посты про выбор между керамикой и металлом, пришла к выводу, что рада, что у меня стоит керамика хотя бы на ВЧ. Выглядит конечно сочетание металл-керамика забавно

В прошлой записи в моем дневнике был вопрос про эл.зубную щетку, так вот, орт сказал, что мне можно спокойно пользоваться. Читать далее »

25 дней

И снова здравствуйте!
Мы с брекетами вместе уже 25 дней Время летит так незаметно... За эти дни я полностью привыкла к брекетам и даже перестала их замечать Не думала, что так будет: ничего нигде не болит, не давит, не трёт... Красота!
Белая дуга почти облезла, а зубы постепенно перемещаются Между некоторыми появились непонятные щели Что ж, ждем еще сюрпризов:) Читать далее »

Перекрестный прикус?

Всем привет! Кто разбирается в прикусах? ) Фото в альбоме. Я у доктора не спросила, у меня перекрестный прикус? И еще посмотрите пожалуйста серединная линия у меня смещена. Как я не пыталась посмотреть получается что верхняя серединка соответствует носу, а нижняя соответствует на мой взгляд подбородку. а друг другу они не соответствуют. Я тут с ужасом вспомнила когда я ходила давно по ортам консультировалась так один из них мне тогда сказал что нижняя челюсть у меня при закрытии смещается влево (со стороны сердца). Сказал что операцию в таком случае делают. Читать далее »

09.11.2014 - 00:44

СОЦ.ОПРОС!

Пользуетесь ли Вы зубной нитью?

08.11.2014 - 22:26

Шаг первый...

Привет всем!
Меня зовут Елена. Вот решила вступить в ваши ряды брекетоносцев.
Мне 28 лет, и проблема моя - мезиальный прикус. Читать далее »

Орт налепил все, что только можно. Теперь прием пищи- мучение

Здравствуйте!!! Сегодня был прием у орта. За два месяца мы сдвинули передние зубы, теперь минус одна щель, и все еще тянем ( пытаемся) тройку, которая упорно сидит и не показывается. Мне сменили лигатуры на железные, и начали ставить на место второй клык( который, в отличии от первого давно уже вылез). Поставили тяги(вроде их) и главное!! Момент!! на нижние 7-ки налепили что-то белое типа цемента, чтоб нижняя челюсть не соприкасалась с верхней. Итог, ужасно неудобно жевать, я уже молчу про то что завтра я охринею от боли( у меня на второй день начинает все болеть, и так дней пять). Читать далее »