Дневники

первый шаг

Всем, привет!
Я только думаю о брекетах, ещё не знаю, где, какие, у кого и т.п. Планирую ставить в декабре. Решила выложить свои фото, т.к хочу найти тех, у кого такой же кривой передний зуб чтоб прочитать ваши дневники, узнать у кого как всё проходило и быть морально готовой к этому

Стала женой)

Спешу поделиться радостной новостью)) Вчера случилось событие, которого наши родственники и друзья ждали, наверное, больше, чем мы
НЧ у меня всё еще стоит, поэтому в какой-то мере и я теперь могу похвастаться тем, что вышла замуж в брекетах (ага, примазываюсь)
Любите и улыбайтесь любимым!

img_64541_-_kopiya.jpg

08.11.2014 - 13:44

первая поломка после снятия(((

Друзья, у меня огромная беда(( Я сломала свою каппу...прям ппц какой-то. Записалась на прием, правда пришлось к другому доктору записаться, так как у моей все забито аж до января...Я не ожидала,что она такая хрупкая, я ее просто поллскала. А она взяла и сломалась,трындец... Уже 3 дня не надеваю, все время к зеркалу бегаю и смотрю,все ли на месте...еще до среды так жить,без нее, ужас,аааа.

08.11.2014 - 12:59

Пошло поехало))

Всех с добрым утром!) ну или у кого то уже не утро, то днем!)))
настроение супер!))) каждый день смотрю в зеркало и вижу изменения!!!НАКОНЕЦ ТО))))
вчера вечером зубки стали у меня шататься..при каждом движении...чувствовался как бы хруст...и стали чувствительнее....сегодня утром я проснулась и увидела, что они сдвинулись)))) начала сразу сравнивать фото..с тем которое было сфотографировано дня 3 назад, и о чудо)))я заметила прогресс)))
надеюсь так пойдет и дальше))))))

08.11.2014 - 10:18

1 месяц!

Ухуууу!
Сегодня поставили рейтенеры на НЧ, снова выдали резинки, сказали, чтобы носила последний месяц)
Назначили снятие на 18-19 декабря (уж как получится)
Вышла из клиники нереально счастливая
Ну и после снятия, где-то неделю буду ждать свою пластинку с искусственными зубками, пока импланты ставить рано.
Такие вот радостные новости)

08.11.2014 - 01:38

Нужен совет! HELP ME!!!

Добрый вечер.
Пишу вся на слезах, меньше двух месяцев до снятия, а между двойкой и единицей образовалась щель((( Сказать, что она образовалась именно сегодня, я тоже не могу, т.к. ещё месяца 3-4 назад была масюсенькая щель, но орт сказал, что я придираюсь((( я её вижу и не знаю что теперь делать. Жду ваших советов

08.11.2014 - 00:14

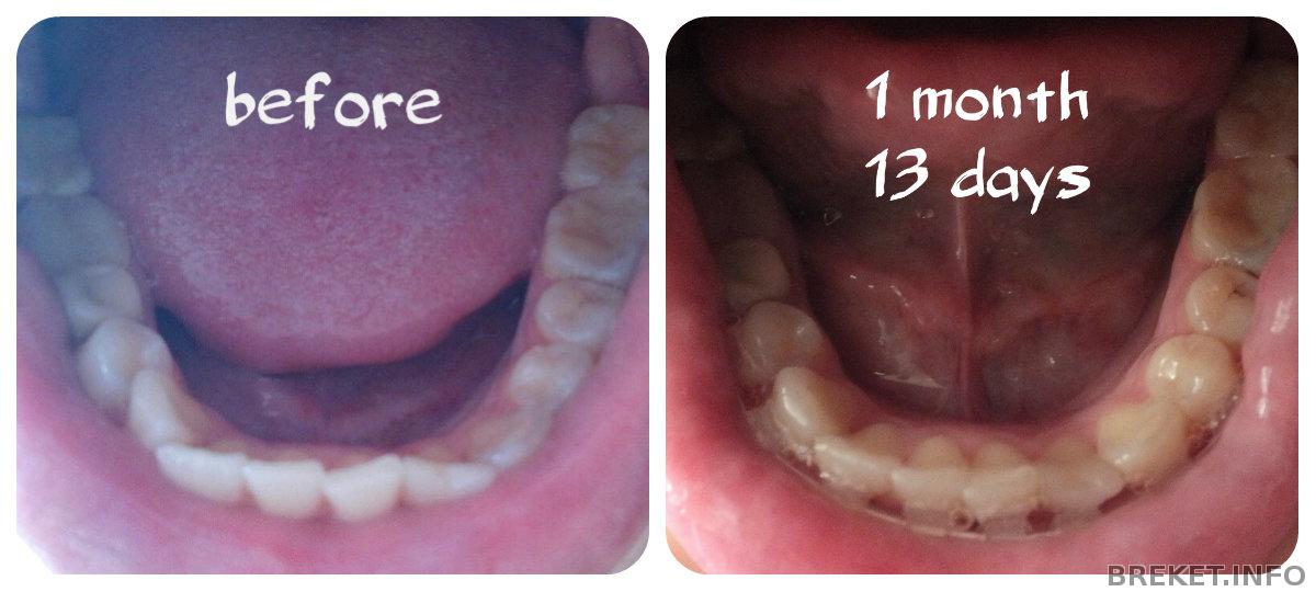
Очередной прием.

Отчет больше для себя, нежели для общения.

Несколько дней уже пинаю себя пофотографировать зУбЫщи, но.... Пропал этот азарт и восторг по поводу БС.
В зеркало смотрюсь реже, не фотографирую уже каждый день.
Прогресс есть. Я даже рада тому, что УЖЕ есть, если сравнивать с тем, какое безобразие было.

Вот НЧ:

5_22.jpg

Как же приятно гладить языком почти ровный ряд зубов!
Но еще работать и работать. Читать далее »

07.11.2014 - 20:51

маленькая дата

приветик снова всем. нам сегодня 4 мес ура маленькая датка . могу сказать что полностью почти приспособилась к брекетам могу есть почти все . зубки двигаются отлично
такая ситуация вообщем. ношу бс уже как 4 месяц .в августе начале меняли дугу в.ч с 14 на 16.октябре поставили н.ч с 14 на 16,22 уже прямоугольную .на прошлом еще приеме говарил что будем только наблюдать еще долго менять ничего не собираемчя ,но дугу носять же всего 2-3мес потом меняют ?изначально говарил при установке в.ч так.именно беспокоит в.ч потому что уже ношу 3 мес и долго еще скорее всего..

07.11.2014 - 19:40

Ищу хорошего ортодонта!)

Привет всем) Здесь есть кто-нибудь из Казани? Подскажите пожалуйста к кому мне обратиться с моим ретинированным клыком?)

07.11.2014 - 18:31

ПОЛГОДА!!! и прошу совета не по теме

Всем доброго времени суток! Сегодня первая более-менее серьезная дата - полгода ВЧ. Это всего 1/5 пути.
Сначала по теме Пробежимся по результатам. Вот что стало спереди. Заметно, что улыбка стала шире, и она вообще начала появляться все чаще в моей жизни, это не может не радовать) Но видно, там где раньше был мой клычок, теперь большой изгиб дуги, пол-челюсти ушло вверх. Надеюсь на более жестких дугах это поправится

front.jpg
Читать далее »