Дневники

Мой отсчет времени начался 04 сентября 2014 года

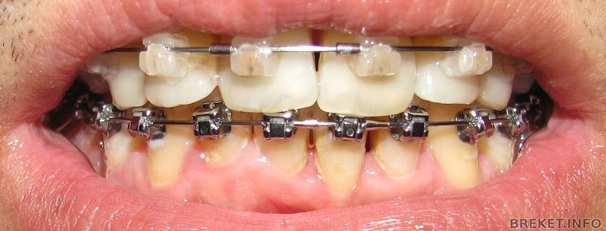
Много лет я не могла решиться на изменения ужаса в моем ротике...и вот...решилась

dsc05819.jpg

Удалили 4-ки на ВЧ и установили БС
collage_photocat.jpg

Плюсы:
- сегодня третий день и я могу жевать и ем практически все,
- боль была на второй день, сегодня уже нет.
Минусы:
- с ортодонического кольца выскочила леска (не проволока), вот теперь думаю что это и на что может повлиять. Читать далее »

07.09.2014 - 16:04

1 Месяц

Всем привет!!! Сегодня 1 месяц и 2 дня моей БС.) За это время я полностью привыкла к ним. Никакого дискомфорта нет, даже иногда забываю о том, что у меня брекеты) Во вторник пойду к орту на первый прием после установки. Читать далее »

07.09.2014 - 15:12

как убрать щели??

Всем привет. срок ношения брекетов приближается к году (год будет в конце декабря).
Зубы постепенно выравниваются. сейчас уже очень медленно двигаются. образуются бюольшущие щели между зубами. Хочу задать вопрос как затянуть щели между верхними единичками? переклеить брекеты/поносить резинки? или просто подождать когда зубы выровнятся полностью? Извините, что спрашиваю у вас) визит к орту только через месяц.

img_0513.jpg
Читать далее »

07.09.2014 - 14:33

Наиважнейший вопрос!

Ребятушки! Я, конечно, понимаю, у каждого случай индивидуальный, и зубки у всех разные, и движение происходит у кого-то быстрее, а у кого-то медленнее... Но поделитесь своим опытом обладатели дистального прикуса и скрученности зубок - как долго носили брекеты? А те, кто ещё носит - какие сроки вам пророчит ортодонт? Моя молчит как партизан, сколько не допытывалась!

Вытягивание НЧ без операции

Ну вот собственно и вопрос))Есть такие кому без операции НЧ вытянули? Сильно внешне лицо изменилось? зубы на ВЧ вырывали или что вообще делали? Ну и конечно же не откажусь от фоточек . Всем спасибо....спасете меня от дипрясняка просто своими коментами.
Соррри за ошибочки, нервничаю жутко и сына помогает писать

О болях и завтра 2 месяца !!!!!!!

Поверить не могу уже 2 месяц как установили бс !таким темпам и все 2 года пройдет незаметно ! У меня вопрос уже опытным брекетосцем!бывает ли у вас без причины даже не болят ,а ноют зубы ?без причины смысле когда и дуга старая и потяжки не было ?последнее время такое чувствую ( немного приноровилпсь есть твердую пищу раньше не ела ,может поэтому связанно ?

06.09.2014 - 21:18

{Процесс пошел?}

Ну что сказать
процесс подготовки к установке брекетов пошел,
спустя пять лет,уже во второй раз,собираюсь ставить их.
Сейчас настроена серьезно,тогда же была мелкой совсем и устроила скандал родителям.
Ой,глупаяяяя.
Ну не об этом сейчас.
Сходила сегодня на прием к орту
Эту ортодонтшу очень советовала знакомый стоматолог.
Я ей доверяю,
поэтому лечение буду продолжать именно в этой клинике.
Так
а теперь о моей проблеме
это было внезапно х____х
мне сказали,что у меня дистальный прикус,
да и еще десневая улыбка Оо
Читать далее »

День второй после удаления восьмеркиг

Ну что сказать?Глотать по прежнему больно.Щека распухла,хоть и лед держала постоянно.Губы и полщеки не чувствую,из-за того,что там нерв проходил.Рот уже открывается лучше,ложка влазит!заметила гематому за губой.это жесть!обрабатывали сегодня зеленкой и антисептиком.в палате лежу одна,скукота!поскорей бы все зажило!

image.jpg

06.09.2014 - 20:04

Год и семь

Ну вот мое лечение уже и подходит к концу. В следующем месяце снимаем низ, в еще через месяц - верх. Помню, как ожидала установки и как сутки напролет читала этот сайт и считала тех, кто носит пол года - экспертами. Мое ношение закончится через 1 год 9 месяцев после установки, хотя подразумевалось, что буду носить полтора. Ну да ладно. Сейчас ношу свои третьи тяги (страусы), форсус уже давно позади (слава богу)
Следующее мое сообщение уже будет через месяц с маленьким результатом
Удачи вам ❤️

Прошу совета)

Девушки,хочу к вам обратиться!вот уже как полгода я ношу брекеты и стесняюсь улыбаться(хотя уже не так как раньше,но все же)я никак не могу ни с кем познакомиться,потому что,мне кажется,все видят,что у меня брекеты,а если и знакомятся,то я сразу чувствую,что нахожусь в каком-то ступоре и начинаю бояться и сковываться))такого раньше никогда не было,подскажите,пожалуйста,как мне побороть это,ведь носить еще так долго,а время идет((

06.09.2014 - 18:53