Дневники

УУУУра!!!! Привет всем коллегам по счастью))))

Привет всем!!! Как я рада что я с вами!!!
Расскажу вам свою "маленькую" историю!!!
Всегда хотела поставить себе брекеты. Но всегда чего то не хватало. (Постоянно и разного. Слов. Смелости. Совести. Мозгов не хватало. И сил. Очень часто. Людей. Пиздюлей. И счастья....видать как то так)
И как же я все таки решилась)))?
Когда моему сыну исполнилось 11 лет, Я решила,что его то без брекетов я не оставлю тем более, что у него поменялись все молочные зубы и сверху растут два клыка, зубы у него крупные в ряд они никак не вмещаются. Читать далее »

06.09.2014 - 09:47

ууу

Ношу брекеты , недавно сломался альвеолярный отросток незнаю что делать )

06.09.2014 - 06:37

а время-то бежит...

Как же быстро летит время! Уже перевалило за пол-года(7 месяцев)! За последний месяц особых изменений не видно, но по ощущениям что-то постоянно движется, щелкает и потягивает. Фотки пока не делаю.
И вопрос к вам, мои дорогие эксперты! Нужно ли полоскать рот водой после ополаскивателя? А то они все (ополаскиватели) такие ядерные и язык щиплет(((

05.09.2014 - 23:09

Day 25

Стоило мне только написать о том, что нет никаких изменений, как они произошли..
Утром 24 дня при чистке зубов я обнаружила то, что испортило настроение уже на 2 дня...
Моя правая 1 выперла вперед и опустилась вниз
Просто, WTF?!
Слов нет, как я расстроилась..
С правой стороны у меня все было идеально ровненько, ничего нигде не выпирало, а тут на тебе..

Кривота на 24 день

Качество фото, как обычно, стремное, Сорри
Самое интересное то, что это еще не все.. Читать далее »

05.09.2014 - 22:07

Мне кажется моя Орт не знает что делать дальше (((((((((((

Уже скоро 2 года. А толку???????

image.jpg

Такая щель между челюстями ((((((((
А она говорит, зачем ты так проверешь ровность зубов? А как еще ?????
Орт пытается меня убедить, что с прикусом у меня все в порядке (((((
Но у меня такое чувство, что нч и вч живут разными жизнями, каждая сама по себе
Пришла последний раз на прием, она посмотрела и толком ничего не сделала, ходим дальше как есть.....
А чего ждем?..... Не понятно

Скажите свое мнение Читать далее »

05.09.2014 - 21:40

Какой зубной пастой вы пользуетесь?

Зубы приходится чистить гораздо чаще, чем обычно. Я вот оч беспокоюсь за эмаль. Поделитесь, какой зубной пастой пользуетесь вы)

05.09.2014 - 21:30

Удалили одну восьмерку!

Решалась очень долго на удаление восьмерок!Пошла сначала в местную поликлинику к хирургу.Посмотрел он мой снимок и сказал,что не возьмется и дал направление в челюстно-лицевую хирургию.Записывалась я в начале июня,чтобы попасть в сентябре.Вчера легла,с собой принесла результаты анализов,там был целый список!С утра сегодня зашел врач,пригласил на осмотр,сказал,что зубы сложные,так что удалит один только.Не знаю,когда следующий,но все же надо!в часов десять пригласили меня в операционную.надели шапочку,бахилы,привязали к операционному столу,накрыли лицо,только оставив рот.уколол мне 3 укола,быст Читать далее »

05.09.2014 - 20:31

#1:Один шаг навстречу ожиданиям

Вот и пришел мой черед влиться в ряды пользователей этого сайта.
Уже давно наблюдаю, но все никак не решусь. И вот,этот день Х настал. Приветствую ^^
Наверное, не буду пока что рассказывать слишком многого о себе, а приступлю в сути.

Итак. Читать далее »

День 7: Штиль

Ну что ж, дело к вечеру, напишу, пожалуй, про свой седьмой день. Да-да, завтра будет ровно неделька! А значит, можно будет подвести самый первый малюсенький итог =) Кажется, он будет немного неприятным, а, впрочем, картинка меняется каждые полдня, так что не факт =)
В общем, сегодня у меня во рту полный штиль. Был. До последнего времени К вечеру левая двойка вдруг решила, что ей нужно развернуться Эх, лучше бы правая двойка решила опуститься! всю картинку портит - на левой половине дуга уже почти выпрямилась... Читать далее »

05.09.2014 - 20:05

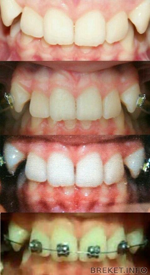
сегодня установили брекеты)

Вот и поставили мне остальные брекеты. Зубы не болят вообще) а вот когда тягами и эластичной цепочкой тянули клыки назад-вот это была бооль... Надеюсь как сейчас будет всегда
Но есть одна вещь которая меня беспокоит-ощущение, будто брекет на правой единичке наклеен выше, чем на левой. Надеюсь мне просто кажется)

imag1016_1.jpg

А вот и фото моих зубов до брекетов, и с ними(извиняюсь за качество) да и зубы не такие желтые)
img_20140905_215556.jpg

05.09.2014 - 19:02