Дневники

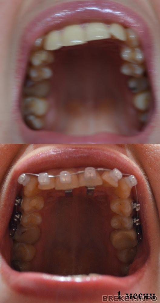
Вот и пролетел месяц!

Что было за это время?
Была установка пластиковой коронки и БС на обе челюсти на протяжении 5 часов. Был дискомфорт при чистке зубов пару дней. Был отколот брекет во время поедания шоколадной конфетки. Научилась есть не жуя. Стала чаще улыбаться.
Что изменилось в зубном ряду?
На мой взгляд особо ничего. Так хотела, чтобы за месяц все зубы выровнялись ))))))))
Прилагаю фото.

Зубам 1 месяц.jpg

ВЧ 1 месяц.jpg
Читать далее »

23.08.2014 - 05:51

22.08.14 Первый день в брекетах

Наконец-то сбылась моя мечта и я поставила свои первые (на верхнюю челюсть) брекеты!!!
Хотела сапфиры, но в последний момент попросила врача ставить все таки керамику (потому что они вроде бы ровняют зубы быстрее сапфиров)... Заморочила голову врачу своими "качелями"...
Хорошо, что не сразу на обе, а по очереди (нижнюю чуть позже). Иначе, думаю, вообще офигела бы: говорить сложно - щеки понатирала, жевать не могу-зубы болят, слюни текут, рот не закрывается... "пипец красавица"...
Первые слова сына были: "Мама, какой УЖАС!!! Зачем ты такое поставила???" Читать далее »

Капа

Здравствуйте! Носила брекеты 1,5 года, мне удаляли 2 зуба, щели ещё не до конца затянулись. Поступила учиться в другой город, орт сказала,что уже можно снять брекеты. Вчера сняла и поставила капу. Сказала ходить месяц 24 ч в сутки, потом можно реже и реже, и так до декабря. Везде читаю, всем ставят ретейнеры, капу лишь на ночь...
Дело в том,что пробелы у меня реально большие,и я паникую по поводу того, вдруг зубы разойдутся? вообще,капа - это надёжно?

22.08.2014 - 23:27

Проконсультируйте

Дорогие участники группы, а есть те у кого стоят наверху сапфировые, а внизу обычный металл?

22.08.2014 - 22:41

всем привет! почему отклеиваются брекеты??

Всем привет! вот и я в ваших рядах брекетоносцев=)безумно хочется прямые зубки и голливудскую улыбку,вот и решилась в 20 лет (точнее почти в 21 год) поставить брекеты. Итак, поставила 19 августа,было совсем не больно, но естественно после появился дискомфорт во рту, но все не так страшно.Начиталась на форумах и слышала от подруг про ужасные боли, запаслась таблетками. Но пока все проходит не так плохо, да болят зубы,точнее ноют, но все терпимо. Может быть это от того , что в детстве носила пластинку и уже знаю как все происходит. Читать далее »

22.08.2014 - 22:35

Сюрпризы второго посещения

Привет всем! Моим брекетам уже чуть больше месяца. Вот только я с ними свыклась, как орт решил сменить мою круглую (14) дугу на квадратную (18 на 22). Была немного удивлена, если честно. Кому-нибудь еще так быстро меняли? При чем мне через месяц будут пятерку разворачивать, после переклеивать на ней брекет, а потом снова ставить круглую дугу, но стальную. Подскажите пожалуйста не будет ли это шагом назад и чем отличается стальная дуга от никельтитановой?

Всем желаю теплых лучиков августовского солнышка

22.08.2014 - 18:30

Пара вопросиков

Пятый день в бреках, а боль не проходит, конечно ее особой нет, если челюсти не смыкать вообще ничего не чувствуется, но если сжать челюсти, то зубы ВЧ с брекетами болят не сильно, но все же.
А вот шестерка одна у меня болит больше других, она у меня депульпированная и при смыкании челюстей, зубы соприкасаются только в одном месте на этой шестерке как раз, ну и может на семерке рядышком, чего-то перекосило хотя и до этого не особо ровно было.
Собственно вопросы вот какие
Как долго у вас чувствовался дискомфорт от БС? Ставят ли брекеты на депульпированные зубы?

22.08.2014 - 14:13

Случилось чудо !))

Привет дорогая брекет фэмили!))Не прошло и .. Ах нет, прошло !)) Спустя полгода мне наконец-то подключили клыки Мама миа как же это *** больно !)))) Но тем не менее я счастлива , счастлива , счастлива !)))) ОРТ сказала что места освободилось даже с запасом и начинается самое интересное .. Ехууууу!)) Опускать будем по чуть чуть , чтобы не травмировать десна .

А пока я ползаю по стенам , можете увидеть сами как это все выглядит )))

До подключения :

image.jpg

Спустя один день : Читать далее »

22.08.2014 - 12:56

Будем знакомы)))

И так наверно, настало и мое время вам представиться
Зовут меня Катя, в брекетах уже 6 месяцев. Сподвигло меня на это не столько эстетика сколько опасения за свое здоровье, т.к. неправильный прикус вызвал сильную стираемость одного из суставов ВНЧС. Читать далее »

22.08.2014 - 12:56