Дневники

Ирригатор. HELP

После 3х месяцев ношения брекетов, при хорошей гигиене, все равно появился налет на зубах. Полтора месяца назад решила приобрести ирригатор. Купила Waterpik WP-100 E2 Ultra. Чищу им каждый вечер стабильно, после щетки и ершика, в течении полтора месяца. Но что-то никакого эффекта и пользы я пока от него не ощущаю. Читала как все хвалят ирригаторы,что это просто необходимая вещь. Что даже после чистки зубной щеткой, ершиком, при использовании ирригатора все равно летит еда. Читать далее »

И снова внеплановый прием!..

СНова отвалился последний брекет на семерке и я пришла с повинной. Ненавижу это состояние - вроде не виновата, не специально я, а чувствуешь себя каждый раз неудобно перед доктором. Ну и он это заметил - если, говорит, я вас вижу - значит что то отвалилось в очередной раз. Он у меня мудрый, сказал: "давайте будем считать это вариантом нормы, отвалилось - пришли приклеили. Мне не сложно и вам не тяжело". И меня сразу отпустило. Читать далее »

28.06.2014 - 09:27

так клево утром просыпаться

это я к тому , что проснувшись утром у меня совершенно ничего не болело, ни зубы, ни щеки....на ночь кстати щеки намазала винилином, а на клыки налепила воск. Только вот приехала на работу и брекеты тоже проснулись и начали тянуть зубки.
мур Мур всем доброго утра

28.06.2014 - 08:05

странно

вот прошёл месяц, зубы не беспокоили, но вот последние 2 дня, что-то стало больно жевать,особенно твёрдоватое что-то, именно стали болеть 5,6 это нормально?? было у кого так же, что спустя такой срок, без смены дуги начало побаливать?

28.06.2014 - 07:27

300 дней!!

Буквально на днях у меня был юбилей: 300 дней установки ВЧ. Как ощущения? Радуюсь: клык уже перетянут, вот только единички никак не сойдутся вместе. За это время было сменено чертзнаетсколько дуг, металлических цепочек и лигатур. Хочу попробовать цветные лигатуры, к примеру сиреневые. А то всё серые да серые...Надо внести чуть-чуть красок! Читать далее »

как быть с чисткой если вы на работе...???

привет! подскажите пожалуйста как справляться с чисткой зубов если вы работаете и график плотный?времени мало на чистку остается? и вопрос дилетанта "надо ли чистить зубы после напитков... (чая, кофе, сока)?

27.06.2014 - 21:58

3 день или как же чешется!!! =)))

Наверное лучше бы они болели, выпил таблетку и все... Читать далее »

27.06.2014 - 21:51

Последние 3 денёчка...)

Ну вот и все, считай отмучились!) Через 3 дня снимают!!! Поверить не могу, что скоро я увижу свои ровные зубыыы Очень боюсь снимать, потому что решили мне до снятия стянуть зубы, чтобы скрыть все маленькие щелки, и сейчас зубы сильно ноют, даже приходилось пить обезболивающие. При любом прикосновении я чувствую боль, и мысль о том как будут отбирать мои любимые замочки от больных зубов меня приводит в шок , как вытерпеть,как??? Читать далее »

27.06.2014 - 21:31

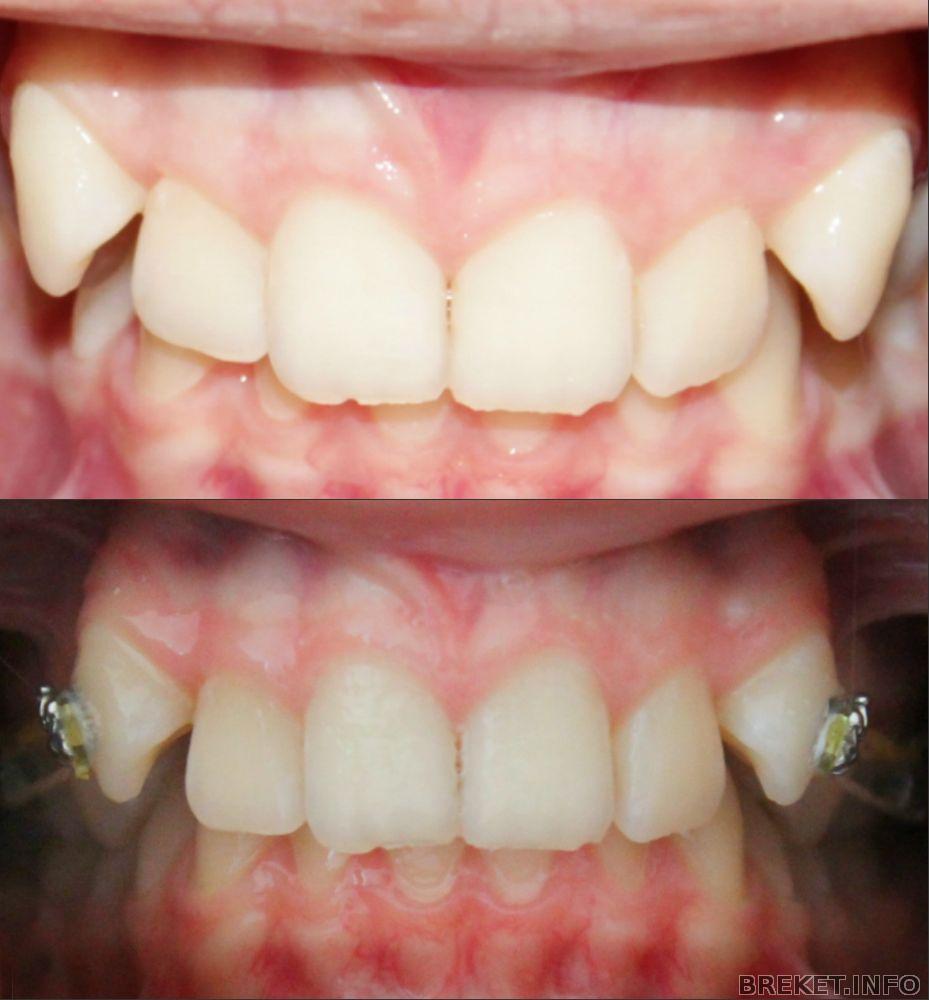
Месяц

Вот и прошел месяц с моими 4 брекетами) у меня их 4 потому что мы двигаем клыки на место удаленных четверок эластичной цепочкой и тягами) Вот, сделала коллаж. Не знаю,есть ли изменения.

oa7vg6egmgo.jpg

Знаю одно-рядом с клыком появился какой то белый прыщик, но он никакого дискомфорта не создает)) не болит совсем. Следующий прием у ортодонта 1 июля) надеюсь мне поставят остальные брекеты на ВЧ)

27.06.2014 - 20:15

Для отчетности)

Итак...Нам уже почти 8 мес. Глобальные изменения были на промежутке от 3 до 6 мес, а сейчас изменения заметны только в прикусе. Ну и фото

masterskaya_foto-kollazhey_y6evgq.png
masterskaya_foto-kollazhey_mmugg0.png
masterskaya_foto-kollazhey_33hntz.png

27.06.2014 - 19:06