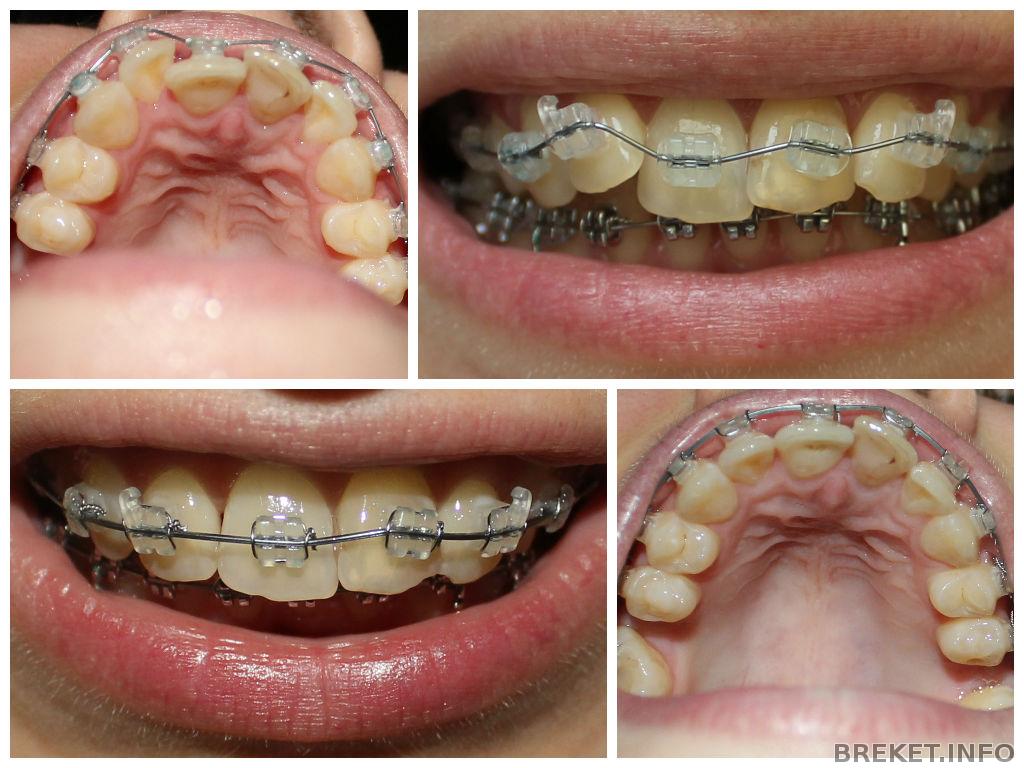
Всем привет)) Вчера НЧ исполнилось 2 месяца и 2дня))) По-тихоньку выравниваемся... В крайний прием поменяли только дугу на НЧ, ВЧ не трогали. Ортофея сказала,что на след.приеме будет сепарация на НЧ и, возможно переклейка одного брекета.
Больше новостей никаких,кроме того, что вчера отметили сыну 15 лет

Всем удачи, добра и солнышка ( ибо хочется уже погреться
)
Собственно, фотки. НЧ- 1день:
И сейчас: