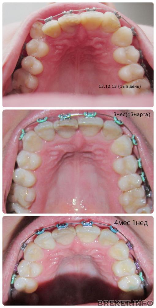
Был период в лечении, когда мне казалось, что экватор я уже прошла, и теперь всё будет становиться только лучше и лучше. Щазззз... Я конечно рада, что щель от удаления закрывается, но в упор не понимаю, почему нижние резцы при этом приобретают жуткий наклон!!! Из-за этого и ВЧ снова наклон усилила, в итоге у меня почти прямой прикус уже, НЧ вся в щелях, и процесс прогрессирует! Орт на 2 недели ушла на больничный (подозреваю, что выйдет она с него с бронзовым загаром), выходит 24 числа но самое раннее, когда меня смогли записать - 6 мая! Это при том, что мне сейчас каждую неделю к ней ходить хорошо бы, как она сказала. Вот думаю, может вломиться к ней без записи, всё равно у меня прием длится не больше 5 минут, и выпросить чейн? Я боюсь представить что такими темпами будет к 6 мая, НЧ выйдет впереди ВЧ? И вообще, почему зубы-то наклоняться стали? Под катом куча фото со всех сторон. Как-то не очень приятно на втором году лечения иметь такой наклон и щели, как будто 3 месяца брекетам...
Пожалейте меня... 
Это мои максимально "сомкнутые" челюсти...

Читать далее »