Ну вот,забыла я об аккуратности...и на тебе
В гостях решила попробовать фруктовые ириски(чес слово,никогда их не пробовала),
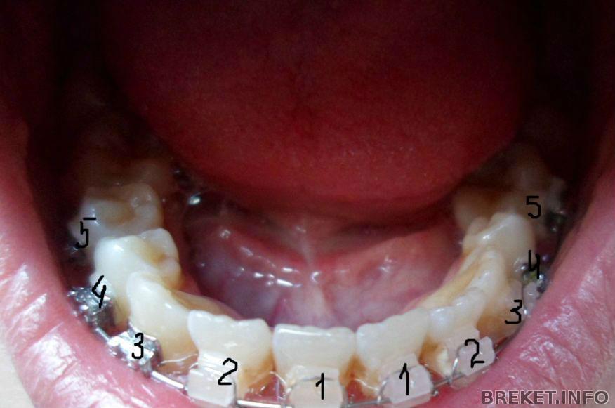
съела только 1 штучку...вечером замечаю,что языком не чувствую вылезшей на ВЧ дуги...
бегу к зеркалу
...и тут я испытала ужас... вижу,что мой 5й брекет,буквально висит на кусочке клея,и наверное,не дает ему слететь дуга

.Смотрю на другой стороне-...и там брекет шатается,но пока еще держится...
Читать далее »