Это снова я
Если кто помнит вообще, кто я 
У меня, вроде, повод отметиться появился
Актуальность темы исследования заключается в том, что
мой объект изучения (мучения) обладает особой притягательной
силой (буквально клеем по зубам).
Обладающей, в той или иной мере, огромным влиянием на
восприятие и мироощущение каждой, в отдельности, личности
(то бишь всяких холопов, не вникающих в мир зубного искусства).
Однако, цели и задачи исследуемой области, напрямую
зависят от взглядов орта.
Следует отдельно подчеркнуть тот факт, что...
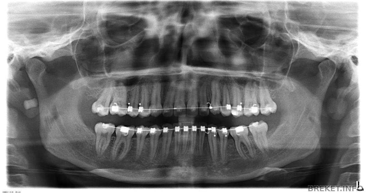
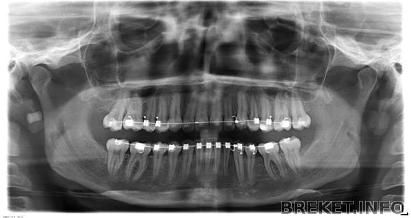
прошло 2 года 6 месяцев, фух, неужели дожила?! 
Соответственно, двадцать четыре месяца - НЧ 
Должна ли я радоваться?! А вот и нет
Большинство везунчиков, избавились от посторонних предметов на ротовых косточках
(в такой-то срок!)
Но не я, я не такая, я другая - я вообще несчастная женщина
Целью № 1 является теоретический анализ существующих зубных форм (кривота)
Цель № 2 - наиболее важная часть - делить существование с БС не больше шести месяцев 
Ибо это мой предел
Задачи, сформированные в соответствии с целью работы, являются следующими:
- проанализировать плюсы и минусы сложившейся ситуации
- провести анализ основных проблем и противоречий
– рассмотреть варианты улучшения положения
- выявить возможные преимущества
Док привет

Поздравляю aussie_girl с шестьюмесячьем! 
Всё самое интересное ещё впереди!
Люблю почти всех 
Вареничек 
Обнимашки мои зубоняшки!
Пошла дальше продолжать страдать 
"Пост создан по мотивам моей курсовой работы"
Люблю её 
При поддержке моего вдохновения
DIXI