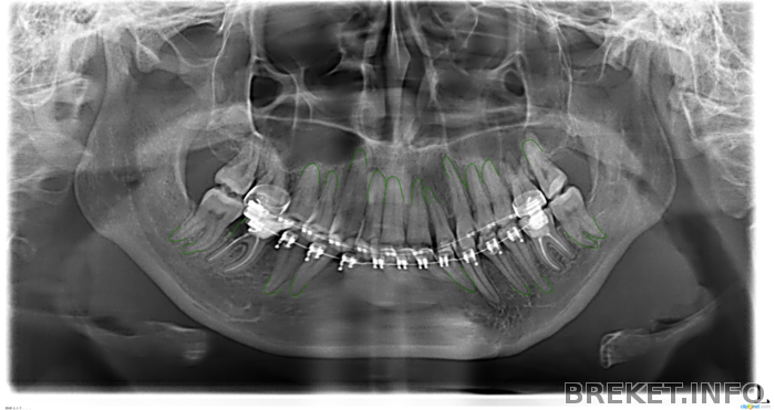
Где мои корни???
- Чтобы комментировать, войдите или зарегистрируйтесь.
Комментарии
Ой! А фото так и называется! !!
18.10.2015 - 18:26
Лена, без понятия
Заставила рентгенолога делать повторное излучение с разомкнутой челюстью - тоже самое получилось
18.10.2015 - 20:47
Может, тебе КТ надо? Надо же как-то положение корней отследить...
18.10.2015 - 20:50
Спасибо!
Так и сделаю
18.10.2015 - 20:56

Халва, а почему корешки нижних резцов не видно?