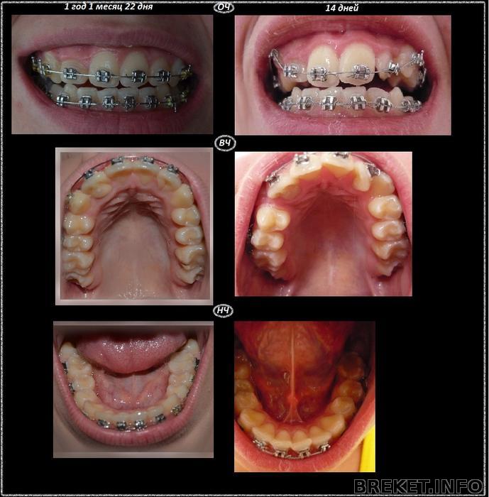
14 дней - 1 год 1 месяц 22 дня (коллаж)
Сравнение) Такие коллажи греют душу =D
- Чтобы комментировать, войдите или зарегистрируйтесь.
Комментарии
Не то слово "греют", они еще очень хорошо "мотивируют!"
07.12.2011 - 16:04
супер!!!
10.12.2011 - 12:45
классный коллаж! отличный результат!
20.12.2011 - 23:22

ну надо же что брекеты делают
какой хороший результат