Дневники

4 месяца

Быстро время пролетает. Уже 4 месяца моим брекетам!
В понедельник мне наконец-то заменили дуги. На ВЧ поставили круглые, а на нижней прямоугольные. Первые 2 дня зубы болели. Сейчас все в порядке!
За 2-3 часа ношения новых дуг у меня появилась огромная щель между 1 и 2 на НЧ.
Зубки медленно, но верно двигаются к голливуду!

img-20141123-wa0005.jpg

img-20141123-wa0004.jpg

img-20141123-wa0003.jpg
Читать далее »

23.11.2014 - 14:34

Те, кто носят брекеты-герои !

Да,да, я действительно так считаю. У меня сегодня четвертый день. а я до сих пор к ним не привыкла.
вчера болели зубки задние, и передние. где больше всего искривлены.

чищу я их так же с опаской ) страшно мне, что могут отклеиться )

И кушаю только пюре, йогурты и творог ) иногда бульончик от супа ))

сейчас вот села завтракать )
да. и кстати что то спать я с стала до 12 ) для меня яркого представителя жаворонка, это очень странно ) не брекеты ли тут замешаны ? ) хмм

завтра пойду на работу, интересно как детки отреагируют ? ))

ухх, об этом напишу завтра )) Читать далее »

23.11.2014 - 12:23

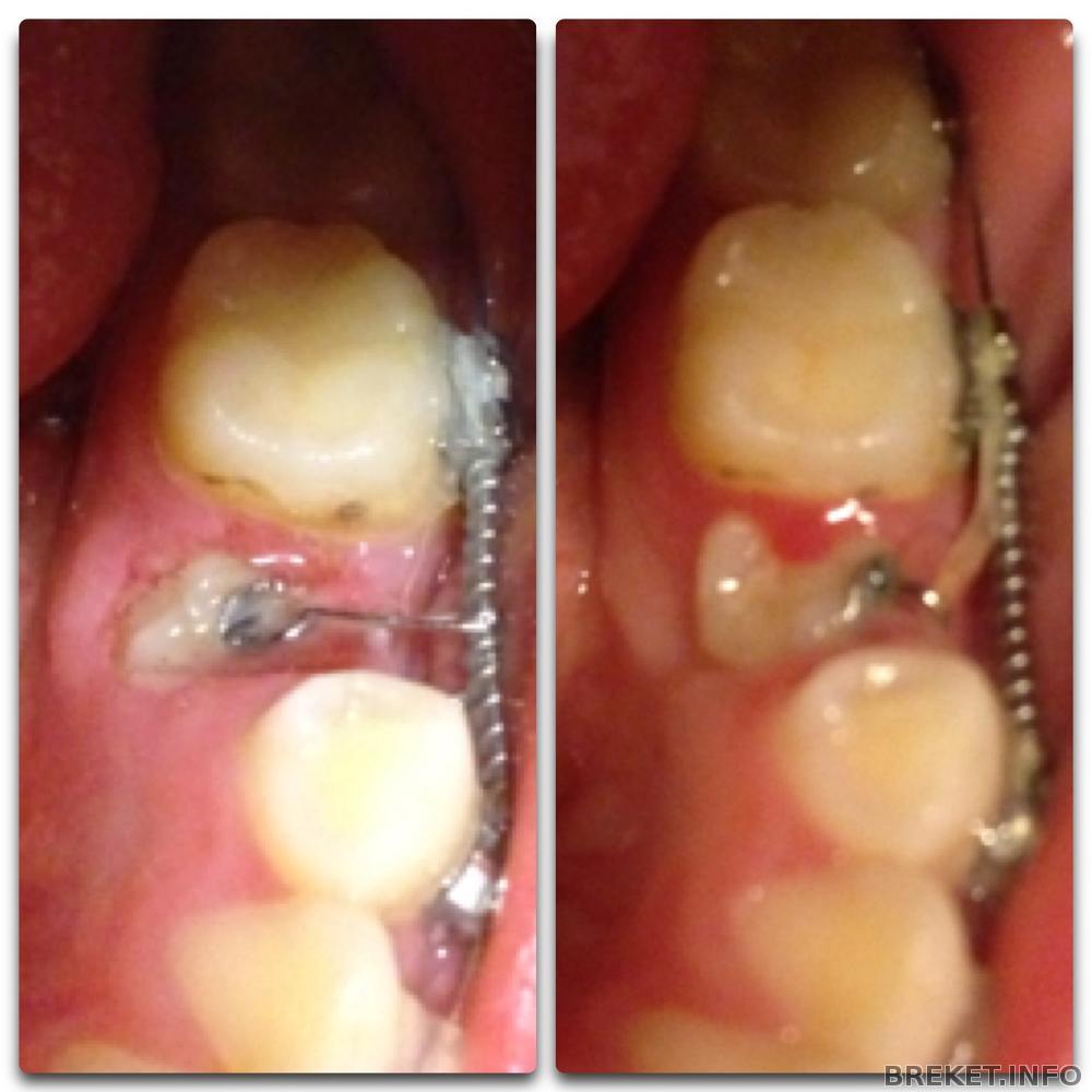
Тянем потянем - вытянуть не можем

Я в печали...
Тянем зуб уже 2,5 месяца, а результаты вообще минимальны!!! Такое ощущение что таким образом его можно всю жизнь вытягивать! Как же дооооооооооооолгооооооооооооооо
Я хожу к орту каждую, КАЖДУЮ неделю и толка никакого

img_0208.jpg

слева день установки кнопки, справа результат на сегодняшний день

23.11.2014 - 11:17

Первый визит к ортодонту

Наконец-то я попала со второго раза к ортодонту. Мне ее порекомендовала знакомая, которая работает на ресепшене в зубных клиниках. В первый раз я записалась еще летом, мне дали визит на сентябрь, про который я благополучно забыла. Второй раз мне дали время на этот месяц. Чтобы не забыть о важной дате, я поставила кучу напоминалок, + мне еще позвонили с клиники чтобы напомнить и ура-ура наконец я попала к ортодонту. Читать далее »

23.11.2014 - 01:33

здесь интересно

мне здесь у вас очень понравилось! я страдала в одиночестве, теперь знаю, что таких, как я много... вот что значит сила коллектива)))) у меня улучшилось настроение! особенно, когда вижу результаты ПОСЛЕ

23.11.2014 - 01:21

И черное, и белое

И снова здравствуйте!

Пока в сфере зубной новостей особенных нет, в остальном жизнь не стоит на месте.
На днях ездила в Москву подавать документы на визу и, впервые в жизни, там заблудилась! Спросив направления у импозантного пожилого человека, была отправлена в прямо противоположную сторону, в итоге за 15 минут ноги вынесли меня с Никитского бульвара на Большую Садовую, и когда я это осознала, со мной чуть ли не истерика была Пожилой человек оказался итальянцем, и это был уже второй раз, когда, благодаря итальянцу, я отправляюсь к "нехорошей квартире" Читать далее »

Год миновал, а я и не заметила( Привет старичкаам!))

Чуть больше года прошло с момента установки) поначалу думала, что отмечу эту дату с шампанским потому что казалось тааак доолго а вроде..ничего и не долго...даже как-то быстро
Помню, когда прошло месяца два с установки, читала посты людей относивших год эту участь и думала "какие опытные, как у них все ровненько уже" дурочка была))
У меня все потихоньку и ничего интересного) вроде и ровненько, а вроде и нет) я уже так не рассматриваю) больше над низом корпим) Читать далее »

22.11.2014 - 23:12

моя история

Привет вам, такие же бедолаги, как и я! хочу поделиться своей историей. Всю жизнь мои зубы были моим комплексом. Это результат того, что родители не следили за сменой молочных зубов. Мне 34 года, я ношу брекеты. Сразу хочу сказать, моей дочке 9 лет, зубы у неё уже поменялись, и они ровные, тк только у неё начинал шататься зуб, я вела тут же её на удаление. Результат - у неё идеальные зубки, не в пример моим! Учтите это на будущее! Всю жизнь я стеснялась своей улыбки, поэтому улыбаться научилась, не разжимая губы. теперь я ношу брекеты, третий месяц. Читать далее »

22.11.2014 - 22:48

Лечим или калечим?

Добрый вечер. Для отчетности пишу, что 12.11.14г. Мне сняли брекет с 4 и переклеили на 2 ровненько. За неделю появились изменения:

zuby.jpg

было недели две назад:
3.jpg

Пока волнительное ожидание, что будет дальше.

22.11.2014 - 21:12