Дневники

вопрос на засыпку

привет, колеги.

как вы думаете: сколько, как часто и чем нужно чистить зубы, чтоб "убить" эмаль? правда ли , что ее таки можно испортить чистками? сталкивались ли вы с такими случаями?
ваше мнение : насколько вредно чистить зубы електрической щеткой?

а что с рентейнером?

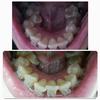
Уважаемые брекетчане, скажите пожалуйста:

как закрепляются рентейнеры и видно ли их "спереди"?

врач вроде бы говорила, что их не видно, но я тут погуглила фото, и там выпадают только фото с пластинками, или так и выглядят эти рентейнеры?

10.08.2014 - 15:48

Плохие новости после снятия

У меня новости не гуд.
В конце второй недели после снятия ВЧ заметила, что единичка и двойка с одной стороны еле заметно подвинулись к первоначальному своему положению, кусала ими твердое на радостях после снятия, наверное, не надо было..... Читать далее »

10.08.2014 - 14:45

сдвиг зубов

идет 7мой месяц... а места от удаленных зубов так и не закрылись... когда и как у вас закрылись эти места?

10.08.2014 - 11:31

Клиника. Нужна помощь!!!

Я из С-Пб, брекеты еще не поставили. Я боюсь снимать слепки, т.к боюсь тошноты ( тупой страх ), есть ли кто нибудь из С-Пб? Кому нибудь ставили брекеты без слепков? В какой клинике?

09.08.2014 - 21:20

о том, как я решилась..

Всем привет!
Несмотря на то, что зарегистрировалась на сайте только сегодня, захожу на него уже около 2х месяцев.
Задумалась о том, чтоб поставить себе брекеты аж 2 года назад, но до конца не решилась по многим причинам, начиная с денежных вопросов, заканчивая стеснением перед близкими, знакомыми и не знакомыми людьми..Сейчас сильно пожалела о том, что не поставила их тогда, 2 года назад, сейчас бы уже снимали.. Читать далее »

Про все и ни о чем...

Всем привет и отличного августа! Накопилось много ерунды, которой хочется поделиться и зафиксировать для истории, терпите)))

Про сны
Сегодня мне приснилось, что я жую жвачку... Вообще я не люблю жвачку... Точнее люблю, но не фанатично, она для меня не предмет первой необходимости... А тут я ее... Огромная, фруктовая, жевать, кусь-кусь, ням-ням, чав-чав...)))) Проснулась в печали, что не все так просто, но уверена, что через пару месяцев осмелею и все будет как во сне))) А еще снилось что-то про брекеты... Что-то хорошее, типо установки НЧ и тяг))) Читать далее »

09.08.2014 - 14:23

Хочу взгляд со стороны!

Всем привет!
Скоро 8 месяцев))))) если честно, совсем не верится, время летит незаметно и как-то неожиданно замечать, что прошел уже такой длительный срок!)
Я многим довольна, я вижу прогресс, надо сказать, я улыбаюсь и в жизни и на фото, чего раньше от меня невозможно было добиться!) Но.. Читать далее »

09.08.2014 - 14:07

Первый плановый прием

Вчера я наконец-то добралась до своего орта) Вообщем нечего особенного не было. Поменяла мне дугу (поставила 16). Сказала что движутся хорошо)))))) . Узнавала за брекеты на ВЧ сказала что еще рано и пока нижняя челюсть не станет ровной на верх нельзя будет ставить. Хоть и поменяли дугу но у меня вообще нечего не болит. Скажите это нормально??? вчера часика пол еле еле поболело и все. Вот мои первые результаты))))

первый месяц

09.08.2014 - 11:22

Финал затянулся...

31 июля был прием у ортофеи, она мне снова поставила стальную дугу на НЧ. "Обрадовала" меня тем, что уходит в отпуск и следующий прием аж 3 сентября. В общем-то этого и следовало ожидать, все-таки лето, человек тоже хочет отдохнуть, но я уж очень надеялась, что ее отпуск как и в прошлом году придется на начало осени Наказала мне очень постараться за этот месяц ничего не сломать, чтобы зубы опять никуда не уехали. Я сразу поняла что это миссия довольно сложная, так как брекеты уже дышат на ладан, стерлись по краям так, что лигатуры совершенно не хотят на них держаться. Читать далее »

08.08.2014 - 17:50